Witte Berge und Deutener Moore 7.9.2024

Es gibt 4 Antworten in diesem Thema, welches 1.269 mal aufgerufen wurde. Der letzte Beitrag () ist von Wutzi.

  • Hallo zusammen,


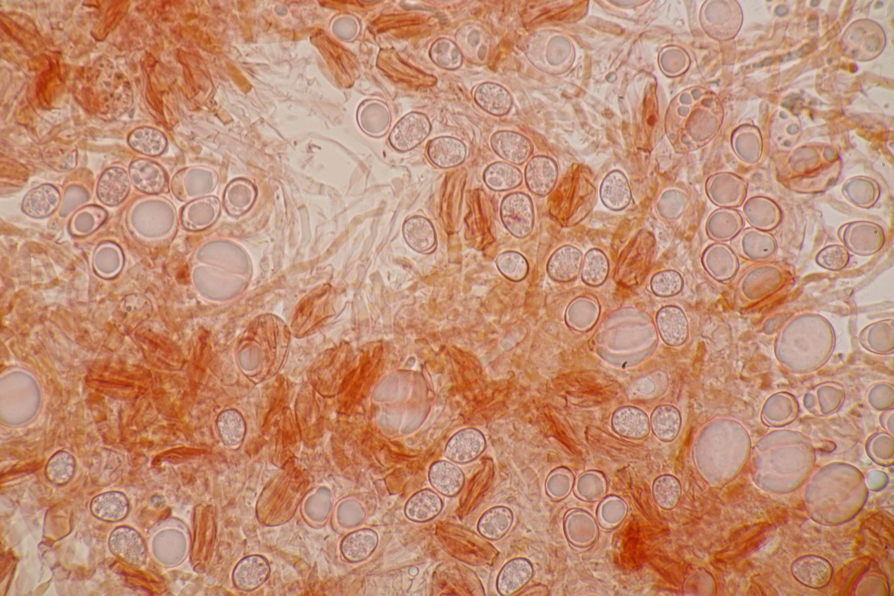
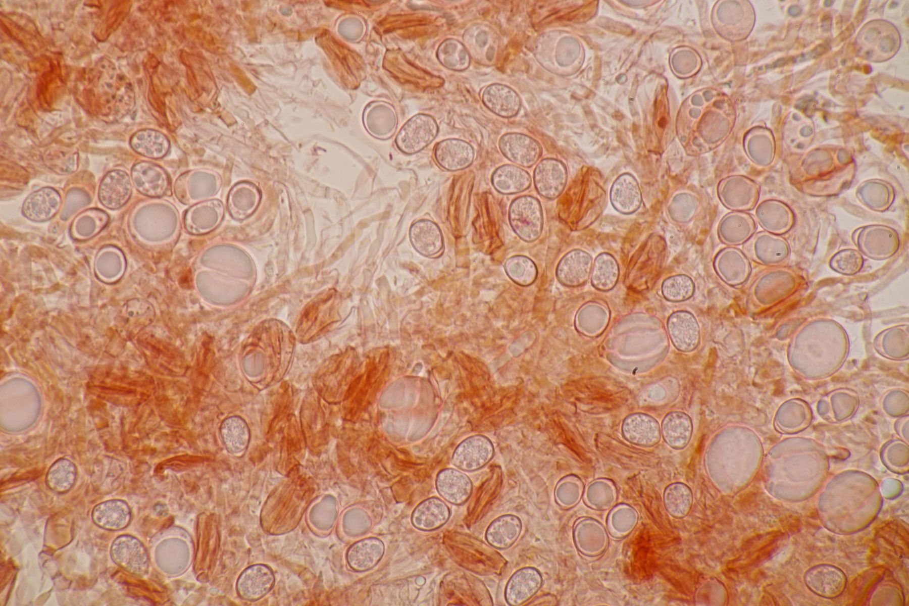
    am letzten Samstag war ich mal wieder nördlich des Ruhrgebiets in Deuten unterwegs. Dort gibt es das NSG Witte Berge und Deutener Moore, das aus Flugsanddünen, einem winzigen Hochmoorrest und einem Kalkflachmoor besteht. Letzteres habe ich nicht in Augenschein genommen, aber auch der Rest und die umgebenden Felder haben einiges an Pilzen geliefert.


    1. Ustilago maydis ex Zea mays


    2. Peronospora lotorum ex Lotus uliginosus


    3. Peronospora rubi ex Rubus fruticosus agg.


    4. Coleosporium solidaginis ex Solidago gigantea mit Ramularia coleosporii als Hyperparasiten


    5. Exobasidium vaccinii ex Vaccinium vitis-idaea


    6. Uromyces silphii ex Juncus tenuis


    7. Septoria hydrocotyles ex Hydrocotyle vulgaris


    8. Puccinia picridis ex Picris hieracioides


    9. Sebacina incrustans


    10. Sclerospora graminicola ex Setaria viridis. Hier hat der falsche Mehltau die Blütenstände komplett befallen, so daß sie in der Blattscheide steckengeblieben sind und jetzt zum Ende der Vegetationsperiode voll mit Oosporen sind.


    11. Hygrocybe coccineocrenata


    12. Puccinia magnusiana ex Phragmites australis


    Björn

  • Hallo Björn,

    wie immer zeigst Du wieder großartige Funde. Hygrocybe coccineocrenata habe ich noch nie frisch gesehen und auf den ersten Blick an H. cantharellus gedacht. Die Schüppchen auf der Hutoberfläche sind aber doch irgendwie auffallend um im Feld aufmerksam zu werden und aufgrund der Ökologie hätte ich die Art wohl nicht übersehen.

    LG Karl

  • Hallo Karl,


    ich hatte im Feld auch sofort an H. cantharellus gedacht, weil ich H. coccineocrenata gar nicht auf dem Schirm hatte. Als ich meine Funde dann aber bei obsidentify hochgeladen habe, schlug die KI direkt H. coccineocrenata vor. Das paßt natürlich perfekt zum Standort und zu den Schüppchen, die dann bei den Fruchtkörpern, die ich einen Tag später mikroskopiert habe, deutlich nachgedunkelt waren.


    Björn

  • Als ich meine Funde dann aber bei obsidentify hochgeladen habe, schlug die KI direkt H. coccineocrenata vor.

    Hallo Björn

    Spannend, das funktioniert auch mit Fruchtkörper? Muss mal versuchen....

    Wie immer sehr schöne Mikrobilder. BG Andy

  • Als ich meine Funde dann aber bei obsidentify hochgeladen habe, schlug die KI direkt H. coccineocrenata vor.

    Hallo Björn

    Spannend, das funktioniert auch mit Fruchtkörper? Muss mal versuchen....

    Wie immer sehr schöne Mikrobilder. BG Andy

    Hallo Andy, das funktioniert nach meiner Erfahrung ab und zu. Aber wenn’s denn nicht funktioniert, ist es manchmal richtig witzig. Der Versuch lohnt also immer🥴.

    Lieben Gruß


    Claudia


    ...leben und leben lassen... ;)


    Hier im Forum gibt es grundsätzlich keine Verzehrfreigaben.

    Pilzsachverständige findest du hier.