Psathyrella clivensis?

Es gibt 6 Antworten in diesem Thema, welches 1.792 mal aufgerufen wurde. Der letzte Beitrag () ist von Nosozia.

  • Hallo Zusammen,


    dieser Pilz wuchs auf einer Streuobstwiese als Einzelfruchtkörper.






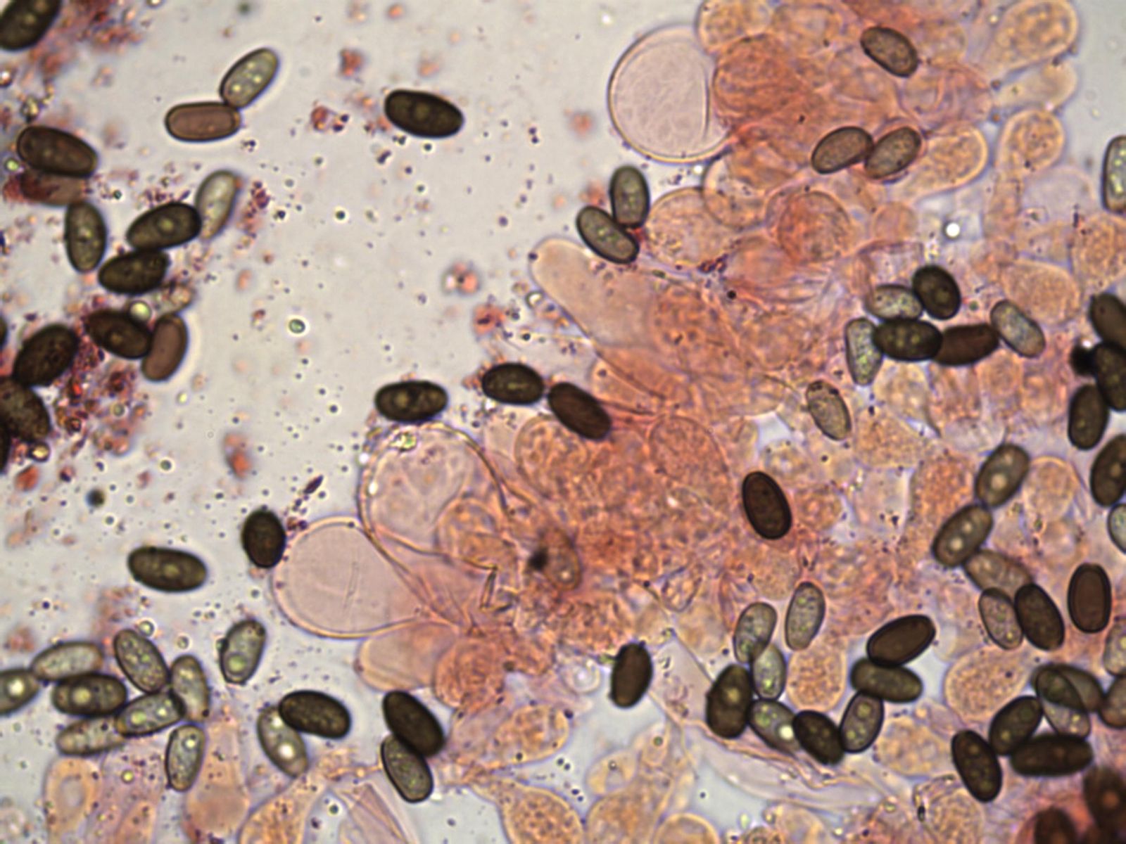
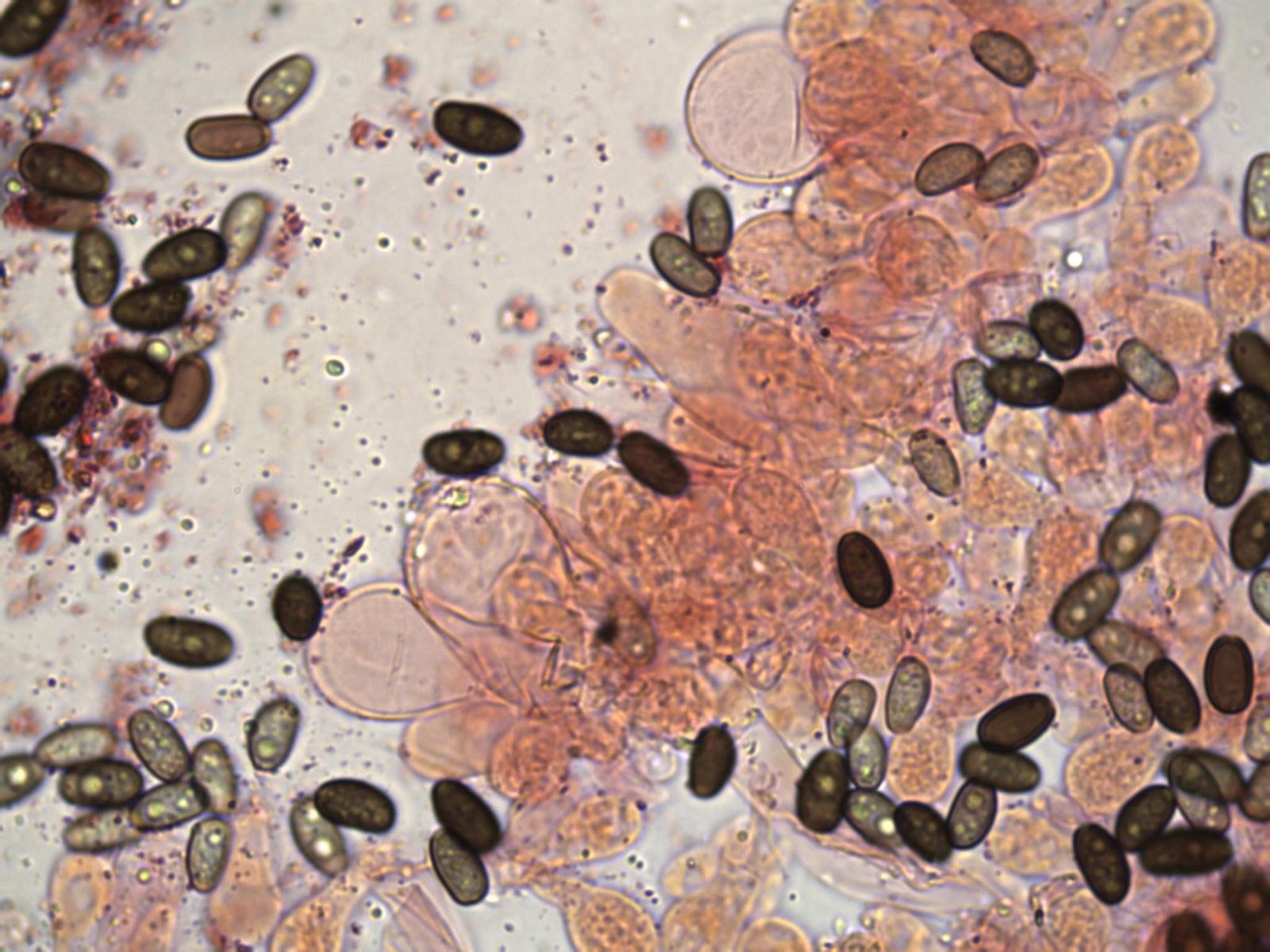
    Sporen in Wasser: mit Keimporus; 9 × 5.2 µm ; Qe = 1.7; N = 30

    (8.1) 8.5 - 9.3 (11.1) × (4.2) 4.8 - 5.7 (5.8) µm; Q = (1.5) 1.6 - 1.9 (2.1)


    SPP: sehr dunkelbraun


    Cheilos meist keulig oder blasig aber auch bauchig/flaschenförmig


    Pleuros eher bauchig/flaschenförmig.




    Hyphen waren mit Schnallen.


    Nach langem hin und her schlüsseln komme ich bei Psathyrella clivensis raus.

    Kann das passen?


    Gruß Nosozia

  • Hallo.

    Nach langem hin und her schlüsseln komme ich bei Psathyrella clivensis raus.

    Rein aus Neugierde: Mit welchen Schlüssel/n bist Du dort zugange gewesen?


    Gruß

    Marcel

  • Hallo Marcel,


    ich habe letztendlich The genus Psathyrella s.l. (ÖRSTADIUS, L.) benutzt.



    Gruß

    Nosozia

    Frei nach dem Stenkelfeld Motto: Pilze braten - Symptome raten!

  • Hallo Nosozia,


    danke sehr für diese Information.


    Man trifft ja auf diese "Biester" ständig und allenorten, daher überlege ich aktuell genau dieses Werk mir noch zuzulegen. Kannst Du schon eine kurze Anwendungseinschätzung zu dem Örstadius machen?


    Sorry für das "Nebenthema" hier, aber diese Gelegenheit wollte ich mir jetzt nicht entgehen lassen.... ;)


    Gruß

    Marcel

  • Hallo Marcel,


    ich habe von dieser Serie auch das Mycena Buch, welches mich wirklich begeistert.

    Das Psathyrella Buch habe ich neu und es war der erste Einsatz. Es ist genau so aufgebaut und hat sogar einen extra Schlüssel für spezielle Habitate oder Eigenschaften.

    Die Unterscheidungsmerkmale finde ich etwas schwieriger/schwammiger, aber das liegt wohl eher an der Gattung als an dem Buch/Schlüssel.

    Genaueres kann ich erst sagen, wenn ich es häufiger genutzt habe. Aber der Aufbau mit jeweils einem Bild, den Mikrozeichnungen und auch den Verweisen zu ähnlichen Arten ist super.


    Habe jetzt auch nochmal Funga Nordica bemüht und komme hier zum selben Ergebnis.


    Gruß Nosozia

  • Hi,


    bei dem einen ollen Ding wird nix gehen, weil dir wichtige Merkmale fehlen (Velum, Guttationstropfen) in der Artbeschreibung steht, daß er auf kalkreichen Böden vorkommt, das passt wahrscheinlich nicht bei einem Taunus Fund, also würde ich den Namen erst mal anzweifeln.


    LG, Chris

    ...........................:snail:

    Meine Bilder dürfen außerhalb des Pilzforums.eu nicht veröffentlicht werden, die private Nutzung ist okay!

    Mehr Bilder auf

    Instagram: #FeierabendPilz

  • Hallo Chris,


    ja - war leider nur ein Fund.

    Kalk sollte hier allerdings passen. Es ist ausserhalb vom Taunus. Und wir haben in unmittelbarer Nähe auch Speisemorcheln gefunden. Diese wachen ja wohl auf Kalk.


    Gruß Nosozia

    Frei nach dem Stenkelfeld Motto: Pilze braten - Symptome raten!