Ascomyceten beim APV-Treffen

Es gibt 2 Antworten in diesem Thema, welches 2.576 mal aufgerufen wurde. Der letzte Beitrag () ist von Aretah.

  • Hallo zusammen,


    gestern fand wieder die Exkursion zu unserem monatlichen APV-Treffen in der Eifel in einem Gebiet südlich von Gerolstein statt. Es gab reichlich zu finden. Überrascht haben mich die zahlreichen Ascomyceten. Da gab es einiges an Hausaufgaben, was mich ganz schön gefordert hat. Anbei mal ein paar ausgewählte Eindrücke bzw. Funde, teils auch mit kräftigem Fragezeichen versehen. Daher dürft ihr gerne auch weiterführende Hinweise und Tipps geben.


    Leider sind die Bilder etwas verrauscht. Nachdem ich neulich unter der Woche im Haldunkel unterwegs war, habe ich gestern leider versäumt die ISO-Zahl wieder runter bzw. auf automatisch zu stellen. Das hat den Bildern leider nicht gut getan. Dennoch einigermaßen vorzeigbar (bzw. durch Studioaufnahmen ergänzt):


    01 Humaria hemisphaerica



    Ein Teil davon mit einem auffälligen weißen Belag befallen (hier nur ein Studiobild):


    hatten wir aber auch beim letzten APV-Treffen bereits, allerdings NUR befallene Fruchtkörper


    Im Mikroskop zeigen sich dann jedenfalls nun die Sporen von

    02 Stephanoma strigosum (in BWB)







    Hier gemeinsam mit den ellipsoiden Sporen der Humaria


    Dann kleine Rote Ascos am Wegesrand, die auf den ersten Blick an Schildborstlinge erinnerten, auf den zweiten dann nicht mehr, da keine Haare:


    03 Pulvinulla convexella - der leuchtendrote Kissenbecherling, klein zahlreich und gesellig wachsend







    Studioaufnahmen:




    Typisch globose Sporen


    Dann, leider mit noch unreifen Sporen mit hoher Wahrscheinlichkeit

    04 Paragalactinia michelii - der gelbfleischige Lila-Braunparaphysenbecherling (was für ein Name):


    Fruchtkörper milchend, wässrig wirkend, auf Papier trocknend gelb:


    Asci operculat, apikal amyloid, Sporen nicht frei, unreif (Ornament nur schwer zu erkennen), mit zwei Öltropfen:



    Dann wiederrum ein Becherling, der mich etwas in den Wahnsinn getrieben hat.

    Leider kein Foto vom Standort, dort nahzu "sparassoid" wachsend und in der Form dann aber wiederrum auch gesellig. Muss Klaus mal fragen, er hat ihn sicher am Sto fotografiert. (Ich war etwas abgelenkt von meinem Erstfund Suillus tridentinus - siehe unten).


    Komme am Ende auch irgendwie zu

    05 Paragalactinia michelii cf. - der gelbfleischige Lila-Braunparaphysenbecherling - mit großem Fragezeichen


    Die Fruchtkörper kommen insbesondere vom Wuchs ganz anders daher als 04), Fruchtkörper aber insgesamt älter, reifer als bei 04. Standort ähnlich aber nicht in der Nähe von 04.


    Im Schnitt milchend:


    außen eher minimal rauh:


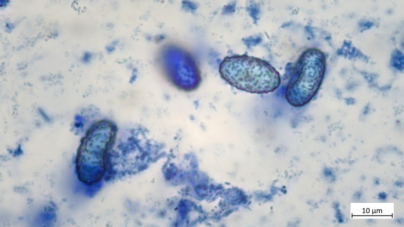
    Sporen ca. 16x8,3µm (meistens mit zwei Öltropfen)


    Ausgeprägtes Sporenornament:


    Asci operculat und amyloid apikal


    Paraphysen mehrfach septiert, eine besondere Granulation konnte ich nicht feststellen auch keine grünverfärbende in KOH3% oder ähnliches:


    Excipulum:


    Außen


    Tja, blauviolett milchend sehe ich da nichts (wie bei saniosa), zu P. berthetiana und limnea passen meiner Meinung nach die Sporen nicht (zu groß, Ornament eher nicht passend). Ansosnten wüsste ich nicht was noch passen könnte (succosa und sucossela mit anderen Farben). Viele der möglichen Verwechslungspartner auch nur mit einem Öltropfen.


    Naja, vielleicht habt ihr noch eine Idee oder könnt mit eurer Erfahrung noch etwas beitragen.


    Ansonsten zahlreiche Helvellas, hier mal stellvertretend etwas, dass ich bei

    06 Helvella elastica - die elastische Lorchel einsortieren würde:


    Gerne zeige ich auch noch abschließend meinen Erstfund

    07 Suillus tridentinus - der rostrote Lärchenröhrling - da er mich so schön vom gescheiten fotografieren der Ascos abgelenkt hat

    (leider Gottes auch mit dieser hohen ISO fotografiert, daher schwer verrauscht)


    So, dass soll es erstmal gewesen sein, auch wenn es durchaus noch mehr zu zeigen gäbe.


    Eure Einschätzungen zu den Ascos würden mich sehr interessieren, da ich da absolut kein Experte bin.


    LG Sebastian

  • Hallo,


    Danke fürs Zeigen.


    Das mit der ISO kann passieren, ärgerlich, aber halt nicht mehr zu ändern.


    Grüße,

    Steffen