Ein bis gerade mir noch ganz unbekannten Gesellen fand ich gestern im Mischwald auf Pflanzenstengeln. Eine schleimfüßige "Mycena"? Leider schon im Halbdunkel, so dass ich von dem schönen Pilz Studioaufnahmen bei Kunstlicht anfertigen musste.
Zur Bestimmung musste das Mikroskop her, denn ich hatte keinen blassen Schimmer. Und der Winzling bot einige Überraschungen.
Er zeigte ein Hymeniderm in der HDS mit clavaten Zellen. (Von Mycena kenne ich wohl eher divertikulate HDS-Strukturen).
Das SPP war weiß und deutlich amyloid. Die Sporen: 10,4-12,1 µm (av. 11,5 µm, SD 0,5 µm) x 5,1-5,9 µm (av. 5,5 µm, SD 0,3 µm); Q = 1,9-2,3 (av. 2,1, SD 0,1)(n = 10) und langgezogen ellipsoid, subzylindrisch mit deutlichem Apikulus. Reichlich Cheilozystiden, langgezogen, spitz und eingeschnürt ("somewhat Pin-bowl-shaped") wie dann später nachlesen konnte.
Spannend war auch die Mikroskopie des Sporenabwurfes. Die Sporen keimten bereits nach einem Tag kräftig und bildeten ein kräftiges Hyphennetzwerk über dem gesamten Abwurf. Wirklich faszinierend. Amyloid zeigten sich dabei insbesondere die abgeworfenen Sporenhüllen, die man im Bild unten gut erkennen kann.
FN führte mich dann zuverlässig und flott zu Roridomyces. Und da gibts mit einer Species in Europa nicht soviel Auswahl:
Roridomyces roridus:
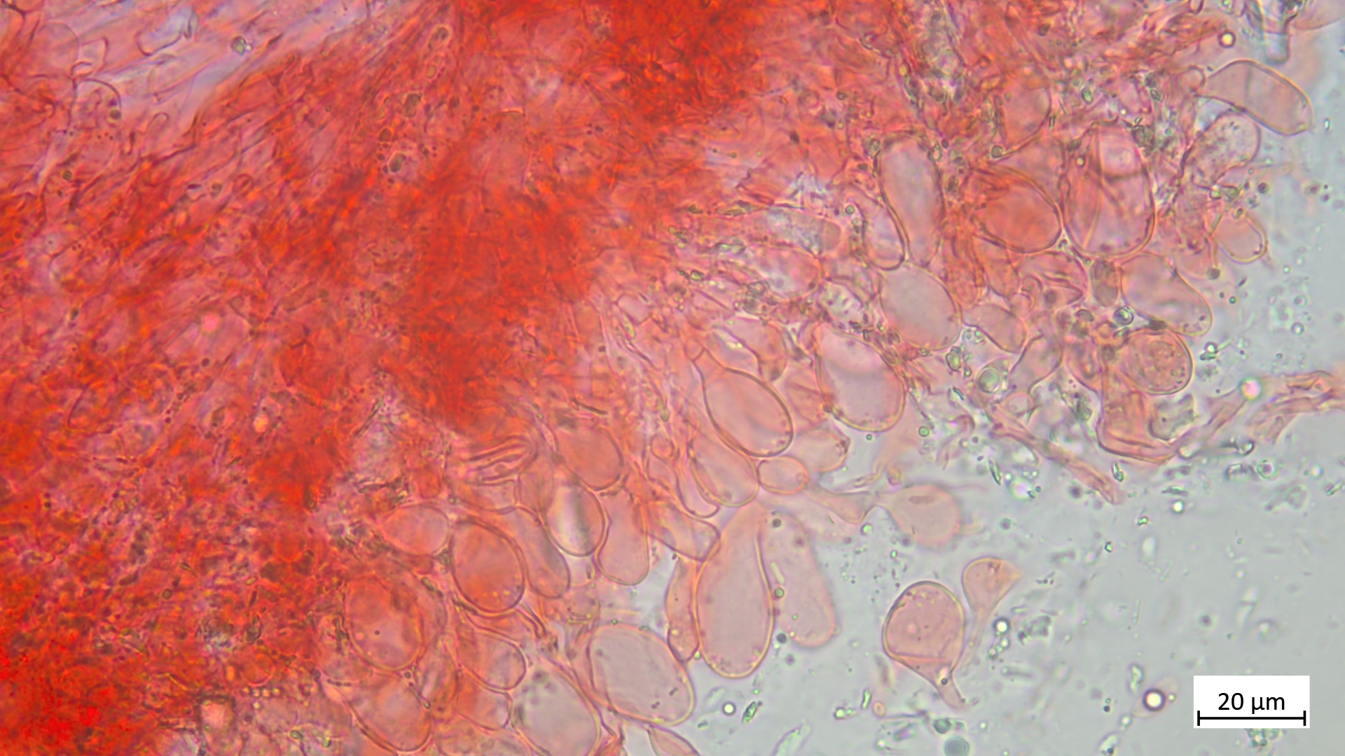
Die Trama zeigte sich in Melzer weinrot.
Mikrobilder
Sporen in H2O
HDS (Kongo/SDS)
Basidien 2-sporig
Cheilozystiden
In Melzer Austritt öliger Substanzen
Trama in Melzer weinrot, wie beschrieben:
Wildes Keimen im Sporenabwurf nach nur einem Tag:
Den würde ich gerne nochmal bei Tageslicht antreffen. Der scheint mir sehr fotogen, wie hier im Forum auch schon gezeigt werden konnte.
LG Sebastian
