Hallo,
ich habe im Herbst bei Fichte einen ganz interessanten Galerina gefunden. Mit Funga Nordica komme ich eigentlich bei G. cephalotricha heraus.
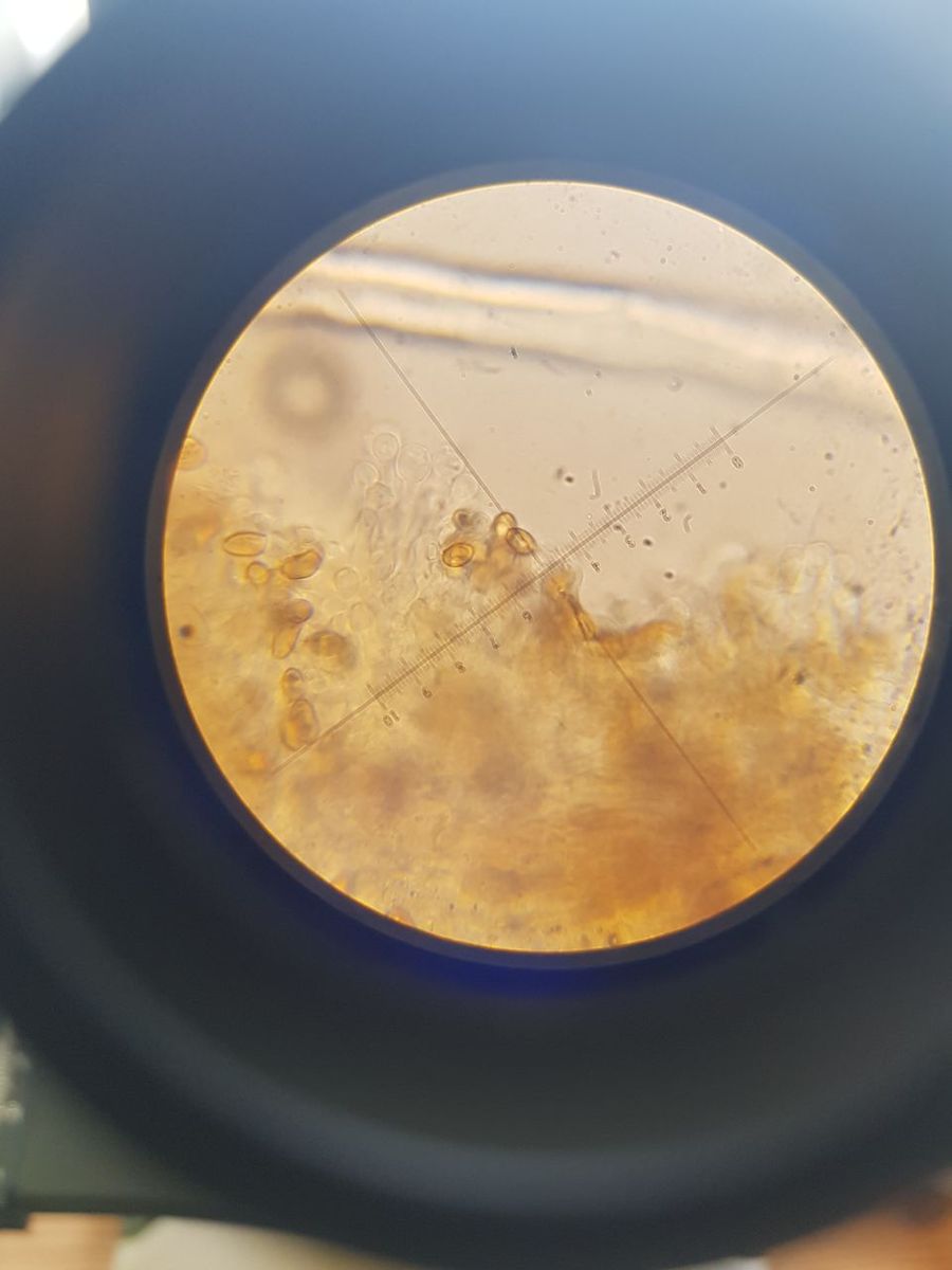
1. Cheilozystiden kopfig
2. Sporen über 8
3. Basidien 4-sporig
4. Schnallen vorhanden
5. Sporen relativ glatt --> G. cephalotricha
Allerdings habe ich mittlerweile einen Beitrag hier im Forum gefunden, bei dem G. pumila auch mit kopfigen Zystiden angegeben wird. Vielleicht kommt der ja in Frage...
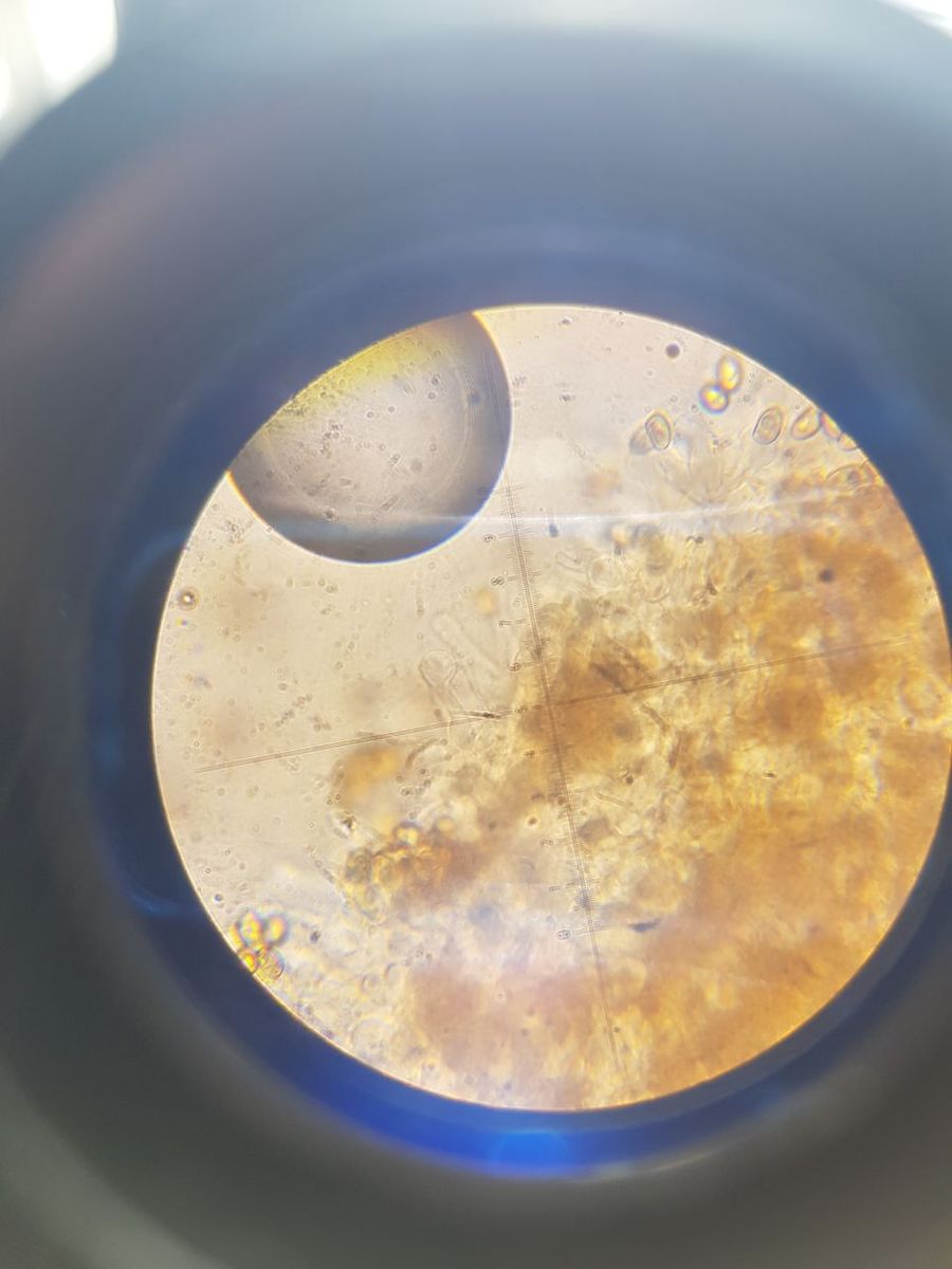
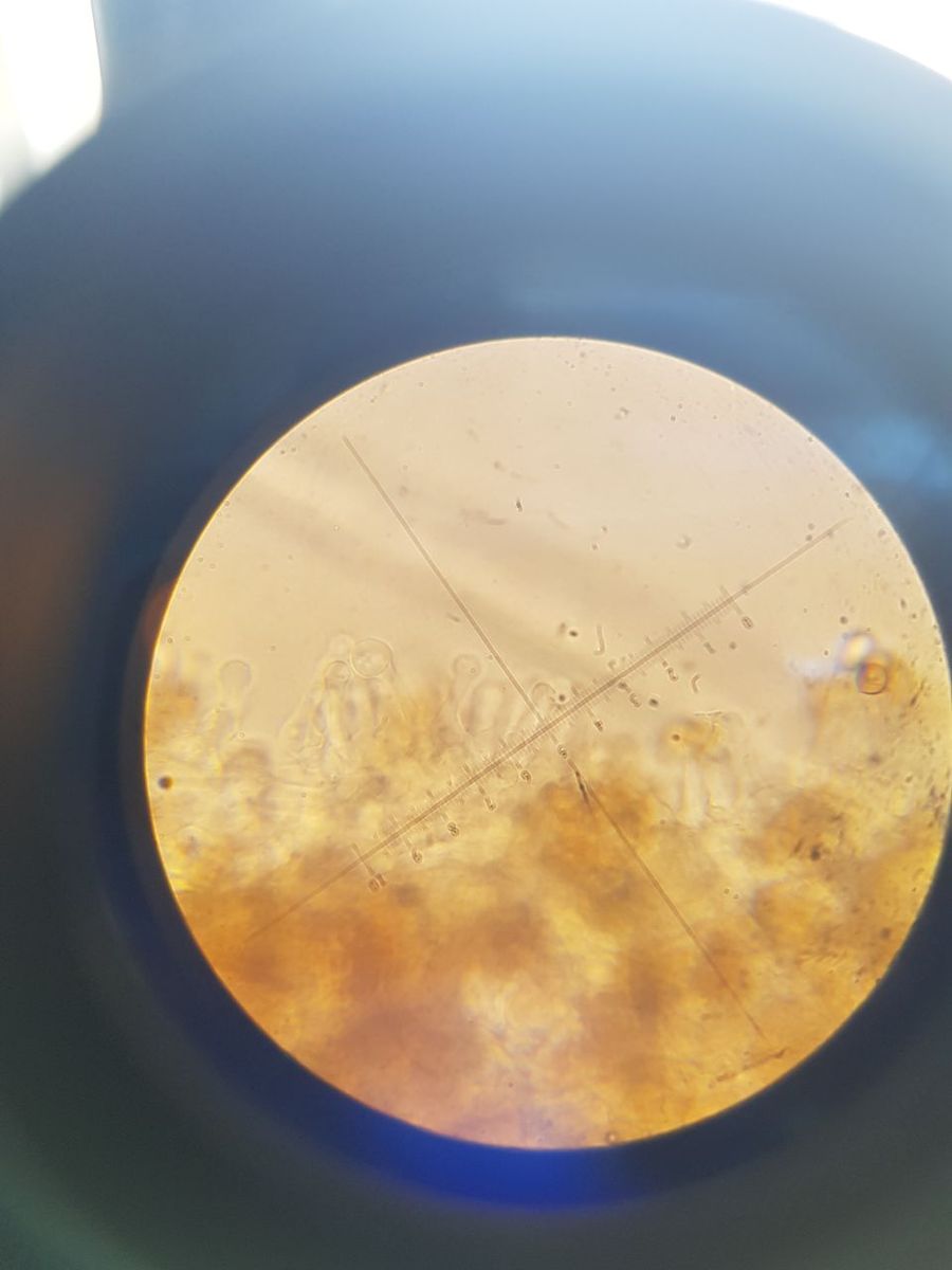
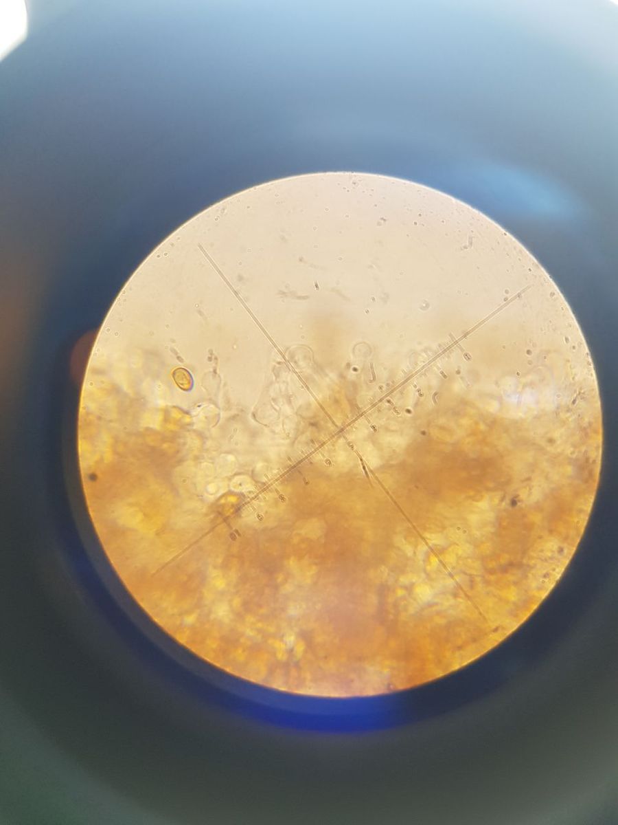
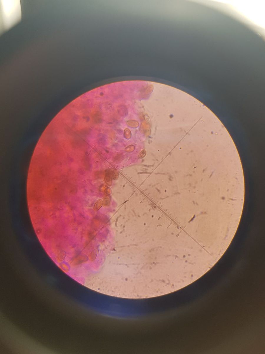
1. Cheilozystiden: Mehrheitlich kopfig, aber mit vielen nicht kopfigen Zystiden gemischt.
2. Schnallen vorhanden:
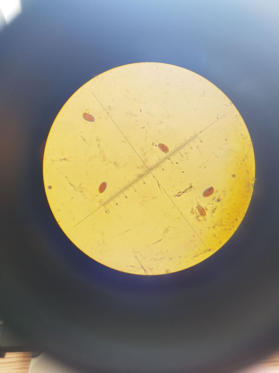
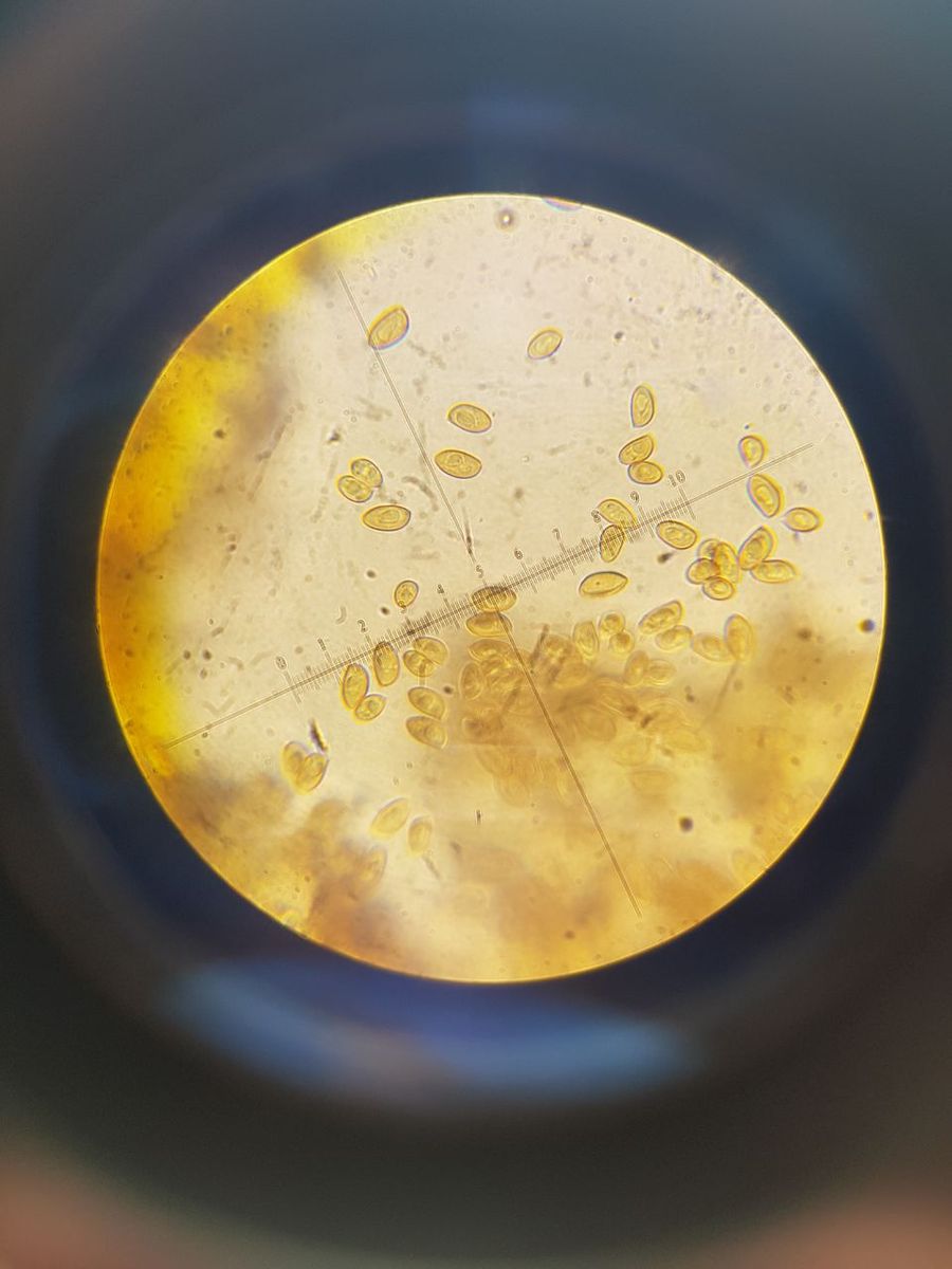
3. Sporen relativ glatt (glatt genug?), 9,5-11 x 5-6 Av.: 10,44 x 5,6
4. Und schließlich noch der Pilz:
Ich würde mich sehr über Hilfe oder Bestätigung freuen, kann ja auch gut sein, dass ich irgendwo im Sch
