Hallo zusammen,
weiter geht es mit dem zweiten Teil der Borkenberge.
1. Lepista irina
2. Laccaria proxima
2. Ramularia grevilleana ex Potentilla argentea
3. Phyllactinia betulae ex Betula pendula
4. Phyllactinia corni ex Cornus mas
5. Erysiphe hypophylla ex Quercus robur
6. Collybia cookei
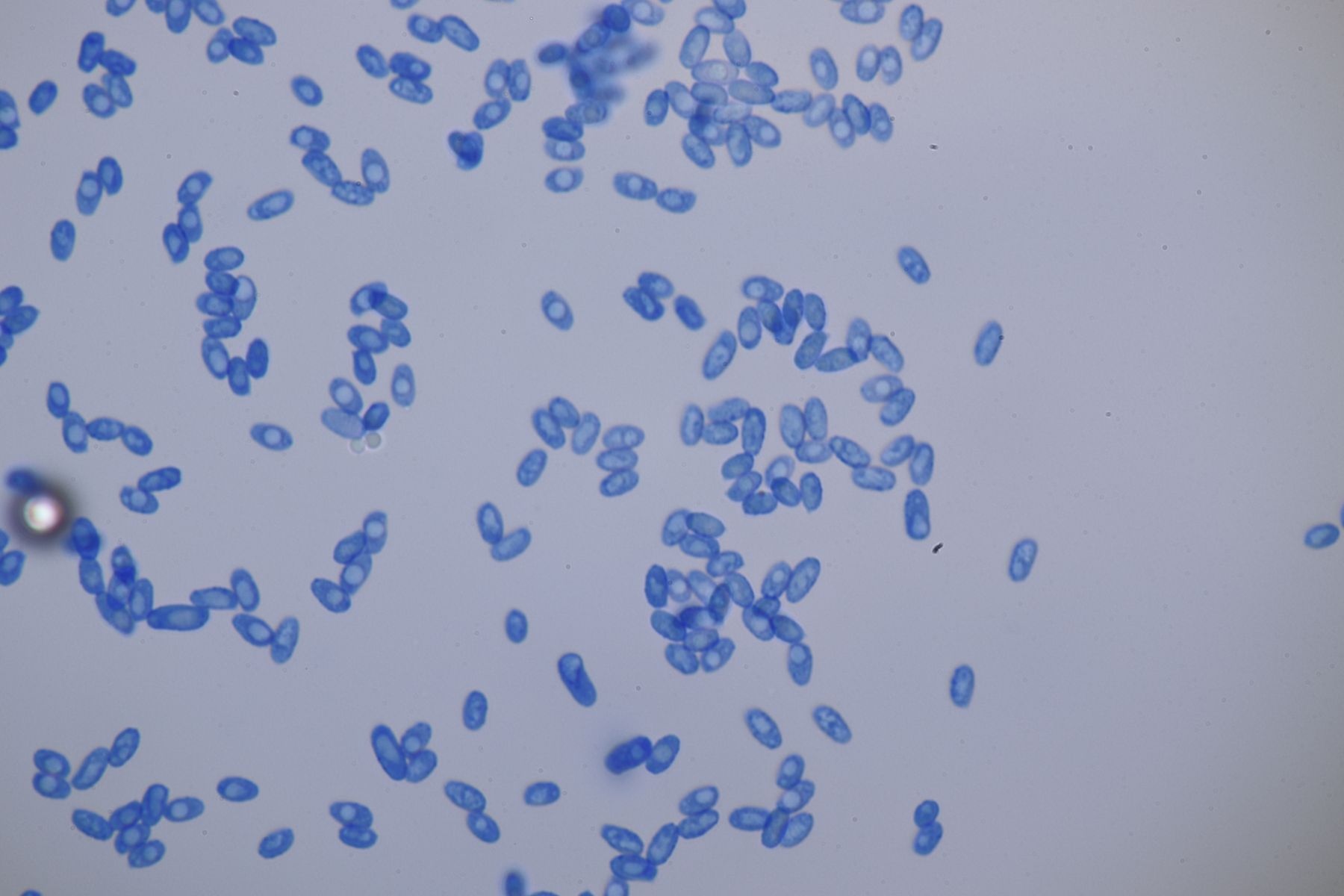
7. Eine Galerina. Sporen sind dextrinoid, nicht kalyptrat, warzig und messen 8.7+-0.4 µm x 5.7+-0.3 µm, Q=1.5+-0.1, 7.8-9.9 µm x 5.1-6.1 µm, Q=1.4-1.7, Schnallen sind vorhanden, Basidien 4-sporig, Cheilozystiden sind nicht tibiiform, Pileozystiden sind ganz vereinzelt vorhanden, Pleurozystiden habe ich keine gefunden (das muß aber ja bekanntlich nichts heißen). Caulozystiden vorhanden, mutmaßlich auf ganzer Stiellänge.
Dann also mit der Funga Nordica in den Teilschlüssel B gestartet. Caulozystiden am ganzen Stiel würden zu G. caulocystidiata führen, da passen aber die Sporen nicht. Wenn man dann alternativ weiterschlüsselt, paßt aber auch keine der Arten. Also weiter in Teilschlüssel C, wo ich dann bei G. perplexa lande. Ist plausibel?
Stiel
Lamellen
Huthaut
8. Melanospora brevirostris
9. Telephora terrestris
Björn
