Hallo Liebe Foris,
bevor ich nächste Woche am Sonntag in der Versenkung nach Ligurien verschwinde, hier die Funde der letzten Tage:
(1) Ein Kartierungsauftrag führt mich noch einmal im Oktober in das Stüblhäuser Moor, Nördlich von Passau. Dort fand ich schon am Freitag als Neufund für mich Scutellinia cejpii an einem Bachrand.
(2) Ein Teil des Auftrages sieht die Auflistung aller an mit Nummern markiertem Totholz vor. An einer Freifläche stand ein solches Objekt - unter der Borke befand sich dieser resupinater Porling, der bei geringer Verletzung sofort rot anläuft (Physisporinus sanguinolentus). Bisher habe ich mich geweigert "Baumpilze" mir näher anzusehen, auch die Häufigen. Aber sowas ist schon interessant!
Besagte Autorin kratzt den o.g. Fund vom Stumpf.
Zurück in die Heimat, zunächst in meinem Hauswald:
(3) Ein Erstfund für mich von Ramaria apiculata, der Grünspitzigen Koralle, die ich entdeckte, als ich mich für eine Pause auf einem Baumstumpf niederließ.
Im Kalknadelwald gab es diese Funde:
(4) Diese zwei Kollegen finde ich immer gerne nah beieinander (Stachelings-Korallen-Lebensgemeinschaft): Hydnellum peckii und Sarcodon imbricatus. Daneben diese Koralle:
(5) Ramaria cf. lutea mit gelatinösem Strunkfleisch.
(6) Hygrophorus persicolor
(7) Limacella glioderma. Der Unterschied von glioderma zu delicata ist mir schleierhaft. Gminder schreibt, er könne keinerlei mikroskopische Unterschiede feststellen. Also reine Willkür? Gibt es dazu schon Sequenzuntersuchungen?
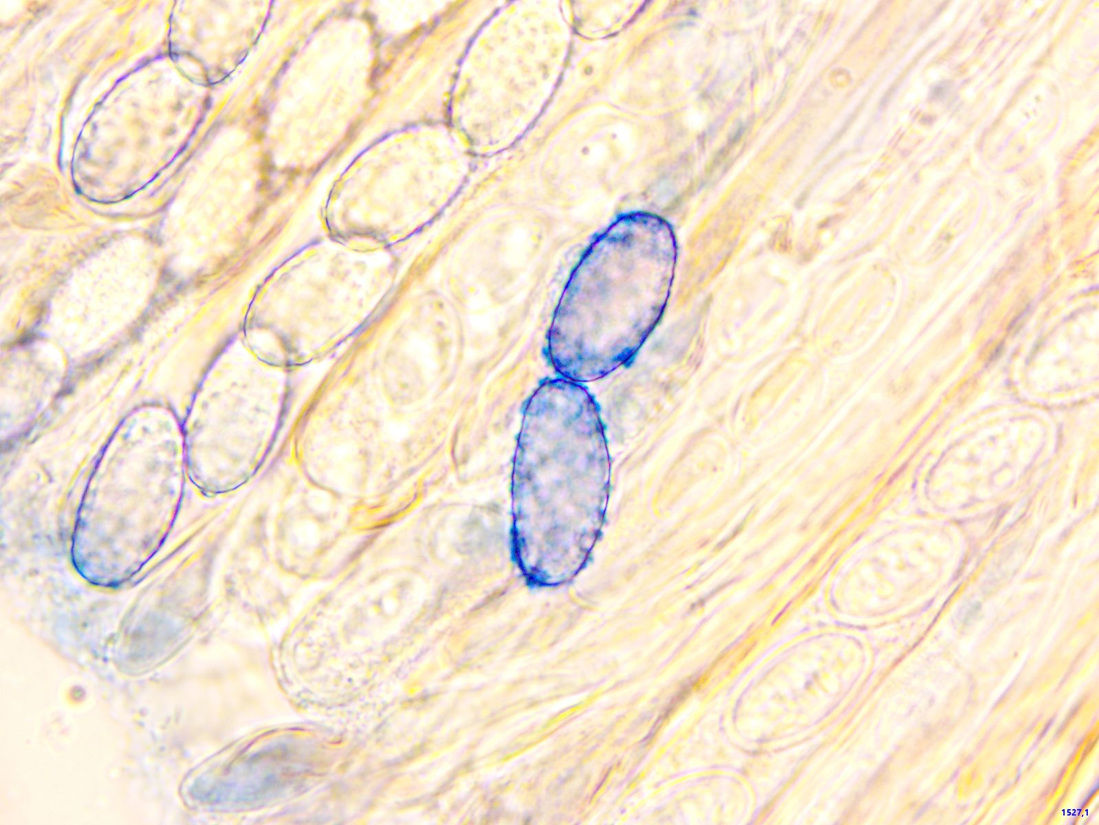
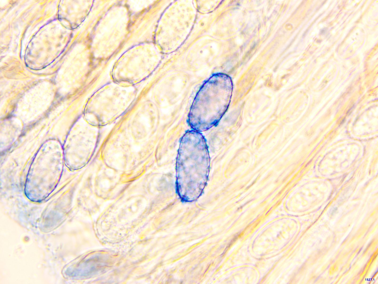
(8) Dieser Phlegmacium bereitete mir Probleme. Auf Kalk, nur Fichte. KOH an allen FK Stellen negativ. Geruch nil bis leicht fruchtig. Mit dem neuen Kibby komme ich zu keinem Ergebnis. Im Anhang noch ein Sporenbild:
LG
Elisabeth
