Hallo Pilzfreunde,
gestern beim Gang durch den Wald, konnte ich wieder einmal einen mir unbekannten Pilz entdecken.
Wie üblich am wasserspeichernden Holz, sonst ist hier immer noch fast nix los!
Bilder 1 a/b: Gleiche Stelle, zwei Blickwinkel
Bild 2 Weißes Sporenpulver, Pilzabmessung (Fruchtkörper am Stiel gerissen)
Er wuchs seitlingsartig an liegendem, gestapeltem Langholz der Rotbuche (Substrat) unter der Rinde hervor, aber offenbar an der Rinde sprossend.
Der Hut ist von beiger Farbe, mit weiß-filzigem Tomentum.
Größe: Der größer Fruchtkörper maß etwa 15 mm in der Länge (Bild 2)
Der Hutrand leicht eingerollt.
Lamellen gelb-beige, teilweise gegabelt.
Der Stiel angedeutet, seitlich, Lamellen bis zur Basis herablaufend.
Der Sporenabwurf ist weiß.
Die Sporen farblos, elliptisch, glatt und dünnwandig.
Sporengröße um 6,5-7,5 x 4,0-4,5 µm.
Im Querschnitt ist eine etwa grob 150 µm dicke, gelatinöse Schicht unterhalb des Tomentums erkennbar.
Der Kontext ist schwach gelblich.
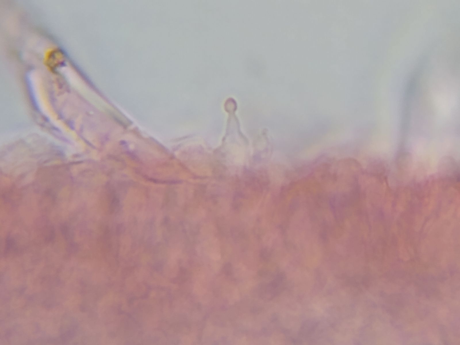
Mikroskopisch lassen sich an der Lamellenkante dickwandige, spindelförmige, kristallbeschopfte Zystiden erkennen.
Eine auffällige Zelle - eventuell zum Nematodenfang - konnte ich zusätzlich fotografieren (Bild 6).
Basidien leicht keulenförmig, um 22 x 4-5 µm (ob 2- oder 4-sporig bleibt unklar).
Die Huthaut habe ich nicht kontrolliert.
Ich denke, hier ziemlich sicher eine Hohenbuehelia vorliegen zu haben.
Von den Befunden her, würde ich auf H. auriscalpium denken.
Ob das richtig sein könnte, hoffe ich von euch zu erfahren.
Ob jemand einen Vorschlag macht? ![]()
LG, Martin
Weitere Bilder:
Bild 3 Querschnitt mit weißem Tomentum
Bild 4 Querschnitt befeuchtet mit gequollener gelatinöser Hutschicht zwischen Kontext und Tomentum
Bild 5 Kristallbesetzte Zystiden an der Lamellenkante
Bild 6 Eventuell Nematoden-Fangzelle (?)
