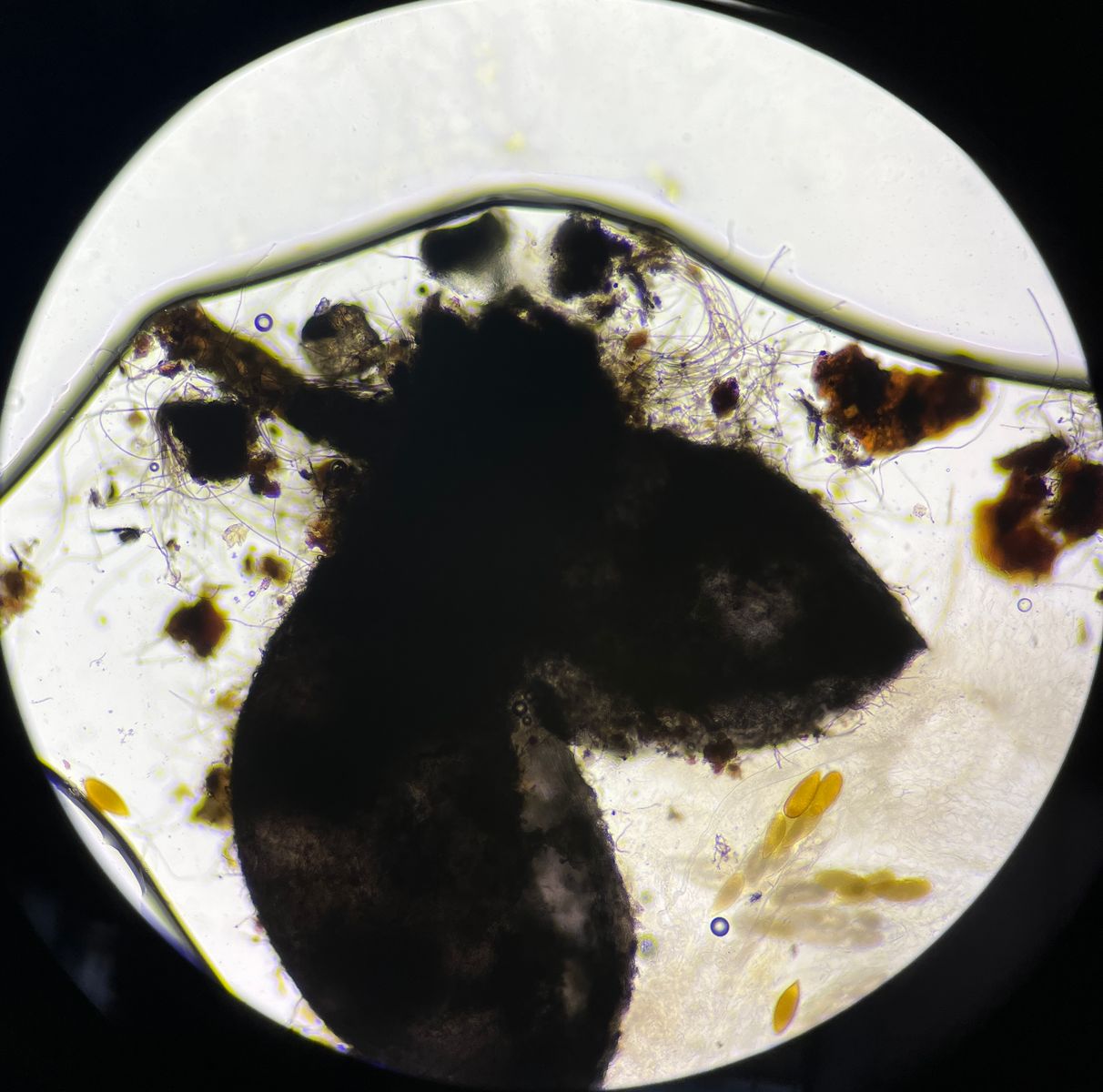
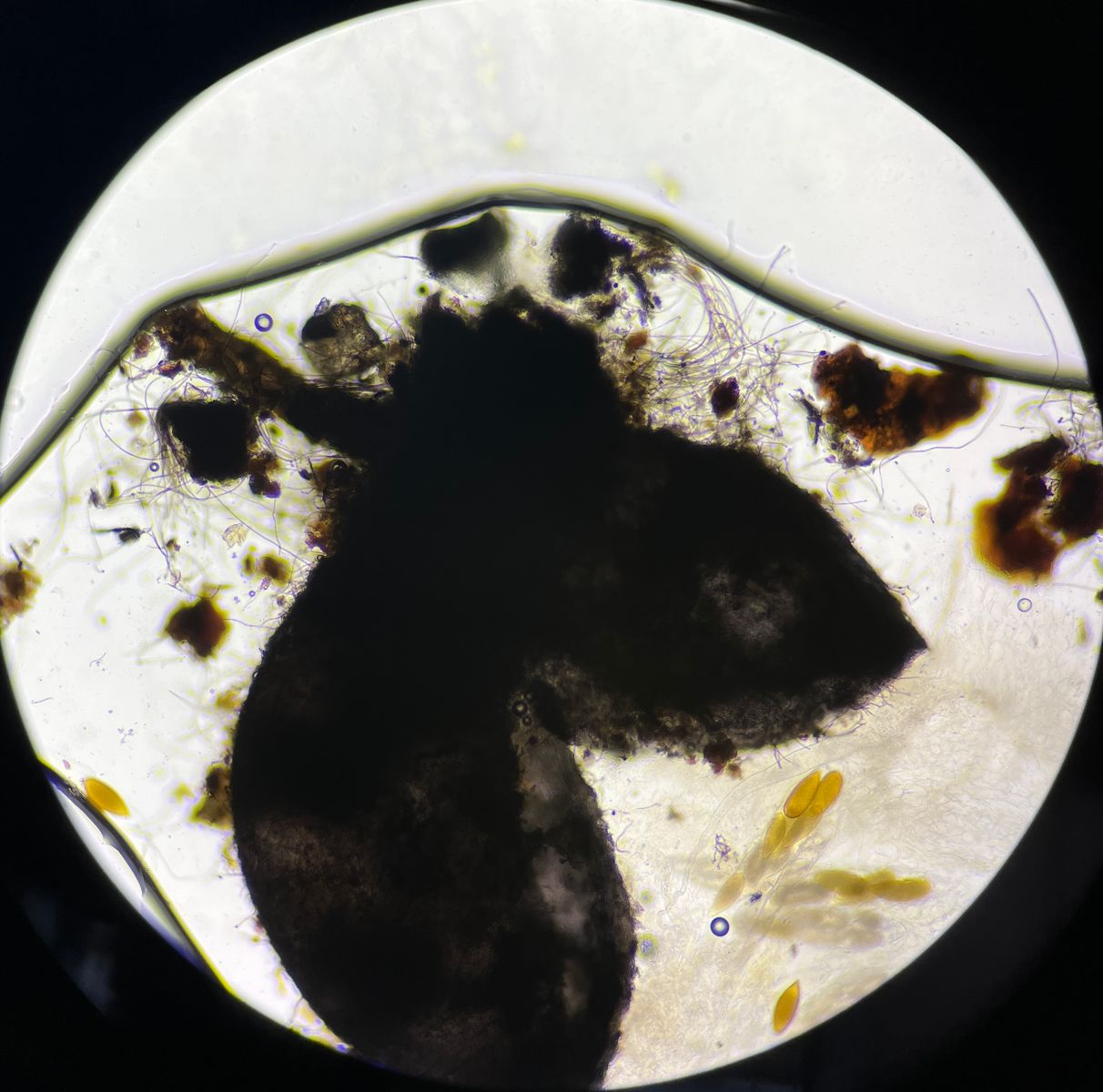
Diese Podospora wird wahrscheinlich wenig kontrovers sein. Mit Sporenmaßen von 124-136µm x 46-49µm könnte es eigentlich nur P. gigantea sein. Riesiges Perithecium (1.2mm) haben die. Das ganze ist eingegraben bis zum Hals. Wiederum von den Arizonaischen Hirschen.
Podospora gigantea
- sigridj
- Erledigt
Es gibt 4 Antworten in diesem Thema, welches 1.489 mal aufgerufen wurde. Der letzte Beitrag () ist von nobi_†.
-
-
Hallo Sigrid,
ein beeindruckender Pilz, oder wie man hier im Ruhrgebiet sagen würde: Watt für ein Oschi!

Björn
-
Mit Sporenmaßen von 124-136µm x 46-49µm könnte es eigentlich nur P. gigantea sein.
Dazu fällt mir auch nichts anderes ein.
Danke fürs vorstellen dieser seltenen Art, die es wohl immer noch nicht bis nach Deutschland geschafft hat.
Wegen des gattungsuntypischen winzigen Pedicels finde ich die Art ähnlich wie Podospora australis etwas deplatziert in der Gattung.
Um den Dung der Arizona-Hirsche beneide ich Dich!
Schick' doch mal ein paar dieser Tiere über den ,Großen Teich'.

Ich bin sicher, die würden sich in "meinem" Hauswald auch wohlfühlen.
LG, Nobi
-
Diese Hirsche haben 2000 Quadratkilometer Auslauf; denen wirds in Deinem Stadtwald vielleicht eher eng

-
Diese Hirsche haben 2000 Quadratkilometer Auslauf; denen wirds in Deinem Stadtwald vielleicht eher eng

Ohhh!
"Mein" Hauswald, der Tharandter Wald, ist mit ca. 400 km² gerade einmal ein Fünftel so groß.
Da würden sich die Hirsche wohl nicht so Recht wohlfühlen, also solltest Du sie besser doch zuhause behalten!

Schade.
