Watling und Richardson sind schon ein guter Anfang. Doveri hat die meisten Schlüssel und Illustrationen.
Beiträge von sigridj
-
-
Also der Dungpilzkurs bei der Schwarzwälder Pilzlehrschau findet dieses Jahr wieder statt, und zwar vom 27. bis zum 30. März. In früheren Jahren wurden dort ziemlich interessante Sachen gefunden. Ich habe mich jedenfalls schon mal angemeldet und einiges aus dem Wald geholt und angesetzt. Vielleicht sehe ich ja den einen oder anderen Forumsteilnehmer dort?
-
Für Ascobolus und Saccobolus ist van Brummelen sehr zu empfehlen. https://repository.naturalis.nl/pub/532488
-
Ich habe sehr viel von Nobi gelernt, und bin dankbar, dass er mit seinem Wissen und Unterstützung immer so großzügig war. Er hat eine schöne Gemeinschaft hier mitgegründet und unterstützt. Mir werden seine ausführlichen und sachkundigen Antworten sehr fehlen. Mein Beileid an Familie und Freunde.
-
Matthaeus, vielen Dank für Deine Antwort - das hilft.
-
Danke Sven! Ich habe schon ungefähr sechs Fruchtkörper mit dieser Art Sporen gefunden. Auch schon letztes Jahr einmal. Also kein Einzelfall. Die Sporen brechen oft auseinander wenn sie reif sind.
-
Auf 10 Wochen altem Weißwedelhirschdung. Die Sporen sind 59x15µm, also typisch die Größe von Zygospermella insignis. Nur sehen die nicht genau wie auf den Bildern aus - die Verbindung zwischen den Sporen ist schmal und durchsichtig und es sind keine Seten auf dem Hals. Trotzdem die Art, oder?
-
Vielen Dank Sigrid für deine Mühe! Nun haben wir auch in Deutschland eine neue Art dazu bekommen!
Viele Grüße
Sven
Nochmals Dank für Deinen Beitrag dazu!
-
Sehr schön. Glückwunsch, liebe Sigrid. Das ist aber nicht die Art aus Arizona mit 10-12 Zellen?
Danke! Nein, schon wieder etwas anderes.
-
Wenn Du mich nicht auf Richardson aufmerksam gemacht hättest, wäre das alles nicht weiter gegangen. Nochmals vielen Dank!
-
Dank diesem Forums
-
Hier kommt noch zum Nachwort das Folgende dazu. Ich bedanke mich an allem Forumsteilnehmern, die mir mit diesem Artikel geholfen haben, besonders Nobi, Sven, Peter und Björn W.
Sporormiella tela, a New Species of Pleosporales from Dung of GeeseY
-
Leider bin ich dieses Jahr nicht dabei - bin einen Monat in Neuseeland im Frühjahr und kann deswegen nicht noch eine Reise machen. Ich werde es aber vermissen, es hat beide Jahre sehr Spaß gemacht.
-
Naja die Sequenz hat auch nicht viel gebracht - die einzige vergleichbare ITS Sequenz war von einer Bodenprobe aus Arizona. Die Sachen werden halt nicht oft genug sequenziert. Aber jemand muß halt damit anfangen.
-
Hmmm, interessant, ich habe jetzt erst nur in Lundquist geschaut. Also ich sequenziere mal die Sache und sehe was da raus kommt.
-
Im Januar hat mir ein freundlicher Mensch Elchdung aus Alaska geschenkt. Der bekommt jetzt nun endlich mehrere Bombardioidea bombardioides. Die Sporen sind 20-31 μm und 12-14μm groß. Also was anderes kann es ja gar nicht sein, oder? Leider sind die Sporen nicht im besten Zustand
-
OK, verstehe. War auf Weißwedelhirschdung. Ist leider "verwelkt" bevor er reif wurde und es gab nur ein Exemplar. Naja, dann lassen wir es.
-
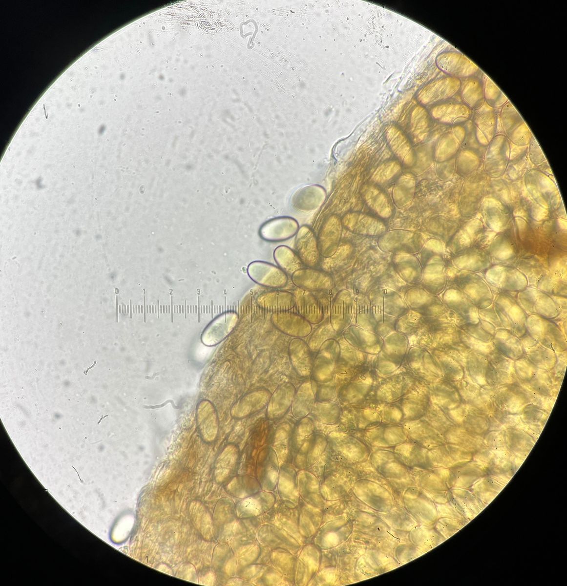
Diese Art kam mir vor kurzem vor das Objektiv, und ist mir unbekannt. Durchmesser so um 400µm, Sporen 16.5-17 x 8.5-9.5µm. Erkennt den jemand?
-
Dann schon wieder einmal vielen Dank - das habe ich mir schon halb gedacht mit diesem riesigen Pseudothecium.
Beide Arten haben u.a. eine völlig andere Sporenform. Beschreibung incl. Illustration von borealis füge ich zum Vergleich an.
Sporormia borealis, irregularis, scandinavica_Egeland, Nytt Mag. Bot. 16, 1969.pdf
Oh super, danke - das hatte ich noch nicht!
-
Auf altem Schafdung wuchs diese Sporormiella. Das Pseudothecium ist ~900μm groß, dick und lederartig. Die Sporen sind sehr groß mit 95-105 x 20-22μm und trennen sich leicht. Die Keimspalte ist parallel. Größenmäßig kämen S. ovina oder S. borealis in Betracht, vom letzteren habe ich aber keine Illustration. Allerdings scheint das Pseudothecium für beide viel zu groß zu sein. Oder ist es eine überbreite Sporormiella longisporopsis?
Um Hilfe bin ich dankbar
-
Ein Pilzfreund hat diese Species vermutlich auch gefunden (an Entendung!), ich habe ihn gebeten, mit Dir Kontakt aufzunehmen
Ja gerne! Da wäre ich auch sehr daran interessiert. Meine Email is sigridjakob gmail com
-
Mike hat gesagt, er will mit mir die Art beschreiben. Mal sehen, ob was daraus wird!
-
Jetzt noch eine Sequenz und ein Baum.
Das nächste auf Genbank ist eine Bodenprobe aus Tibet (4600m Höhe) mit nur drei base pairs Unterschied (99%). Das nächste wäre dann eine Sporormiella vexans, ist aber nur 91% ähnlich, was ja ziemlich weit weg ist. Es gibt natürlich nicht sehr viele Sporormiellas auf Genbank. Die paar Achtsporer die es gibt, sind aber nicht sehr ähnlich.
Ich habe übrigens mit Mike Richardson korrespondiert (er ist 85 und im Ruhestand), und wir meinen schon, dass was er gefunden hat und mein Fund die selbe Art ist.
ATCGTGGGGCTTCGGCCCTATCGAGATAGAACCCGTGCCTTTTTCGAGTACCATCTGTTTCCTCGGCAGGCTCGCCTGCCAATGGGGACTACAACTAAACTCTTTATTTACCTGTATAGTCTGAAAAAAACAAATAAAAATTAAAACTTTCAACAACGGATCTCTTGGTTCTGGCATCGATGAAGAACGCAGCGAAATGCGATAAGTAGTGTGAATTGCAGAATTCAGTGAATCATCGAATCTTTGAACGCACATTGCACCCATTGGTATTCCTTTGGGTATGCCTGTTCGAGCGTCATTTAACCCTTCAAGCTCTGCTTGGTGATGGGCGTCTGTCCTACCTTATGGTTTGGACTCGCCTCAAAAACATTGGCGGCCGGTACATTGGCTTCGAGCGCAGCAGAAACGCGAACTCGGAGACTGTGGATCAGCTCCCAGAAGCAAACCCTTTTATTTTGACCTCGGATCAGGTAGGGATACCCGCTGAACTTAAGC
-
Danke Nobi, das ist sie!!! Die Beschreibung passt sehr gut. Und diese Kanadischen Wildgänse kamen ja ursprünglich vom hohen Norden, also passt das mit Island schon zusammen.
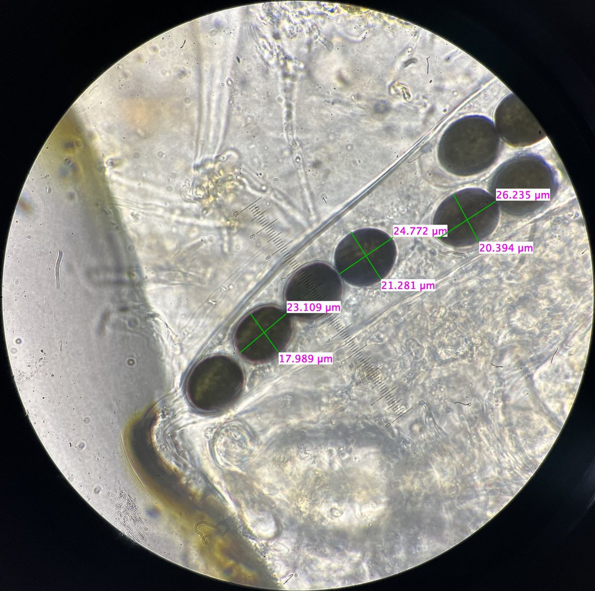
Inzwischen habe ich auch schon 11-zellige Sporen gefunden.
Das hätte zum Kurs gut gepasst, leider hat diese Art etwas getrödelt und ist erst jetzt reif geworden.
-
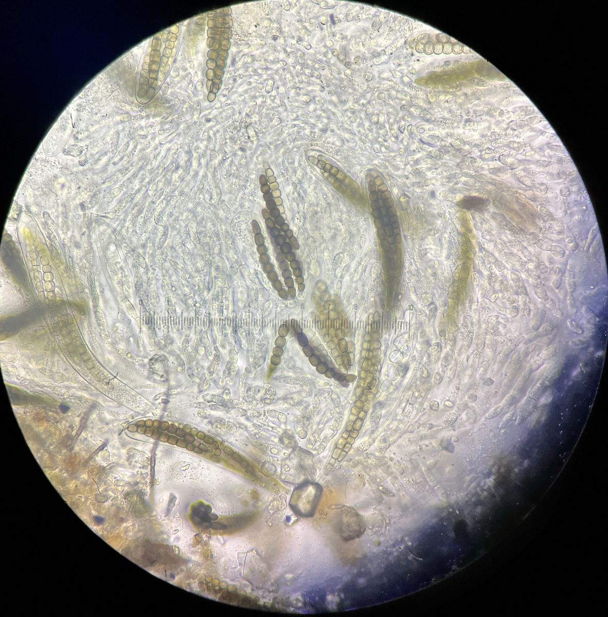
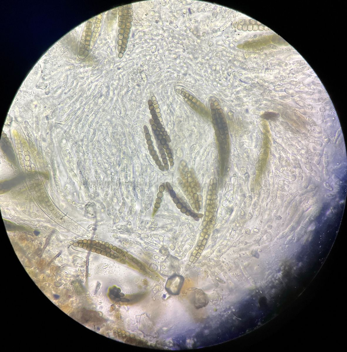
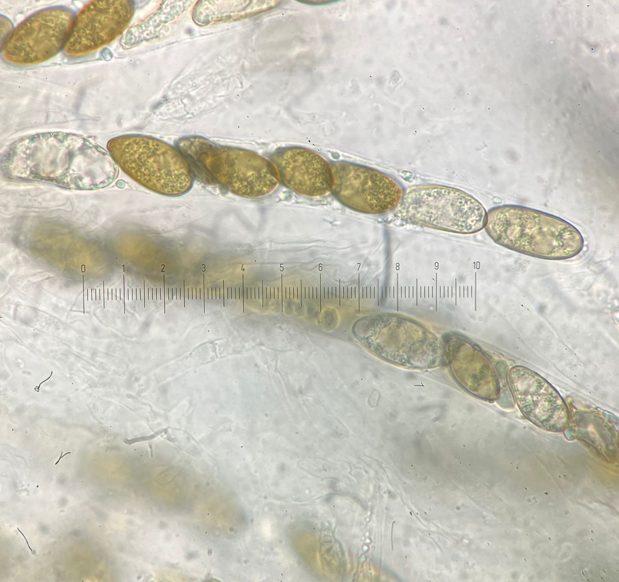
Diesmal auf Kanadischer Wildgans die in der Bronx dauerhaft zuhause ist. Die Perithecien sind oft über ein Milimeter groß, extrem haarig/filzig und ein schwarzer haariger Teppich überdeckt den ganzen Köttel. Die Sporen sind 8 bis 11-zellig und messen 73-86μm x und 8.5-11.5μm. Die Keimspalte liegt quer. Von der Größe her kämen ja S. platymera oder S. affinis in Frage, aber diese sind ja überhaupt nicht haarig und dicker. S. communis hat neun Zellen, ist aber kürzer. Mit den vielen Haaren sieht mehr wie die S. octomegaspora aus, aber die ist ja um einiges größer. Was käme da sonst in Frage? (Auf dem Bild sind auch Rehköttel zu sehen, aber die Sporormiella hat auf dem Gänsekot angefangen und hat dann alles kolonisiert)
