Hallo zusammen,
hier soll es jetzt anders als der Titel es vielleicht vermuten läßt nicht über einen ehemaligen bayrischen Verkehrsminister und dem von ihm verzapften Mist diskutiert werden, sondern es soll um Kuhfladen gehen, die ich am 25.6.2022 auf dem Wank in Garmisch-Partenkirchen eingesammelt habe. Eigentlich war das ja eine Exkursion im Rahmen der Kleinpilztagung, wo nur Pflanzen auf lebendigen Pilzen intererssierten, aber es gibt ja bekanntermaßen auch interessante Pilze auf Pflanzen, die eine Darmpassage hinter sich haben.
1. Eine Coniochaeta mit Sporen von 8-9 x 6-7 µm, womit ich dann bei Coniochaeta leucoplaca auskomme.
2. Eine vierzellie Sporormiella mit Sporen von 68-81 µm x 15.4-18.1 µm, Septen transvers, Keimspalte diagonal, so daß ich bei Sporormiella megalospora lande.
3. Podospora decipiens
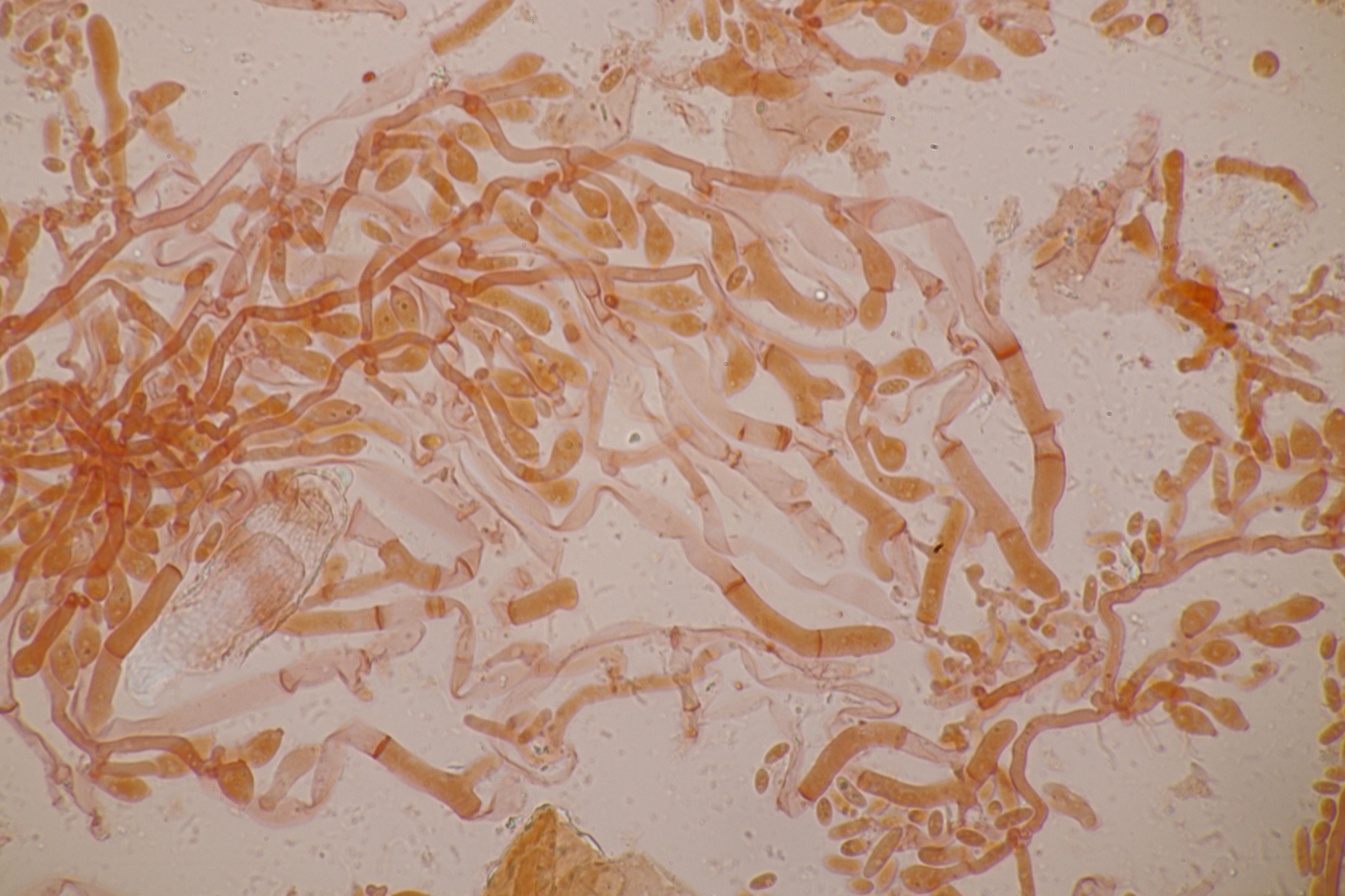
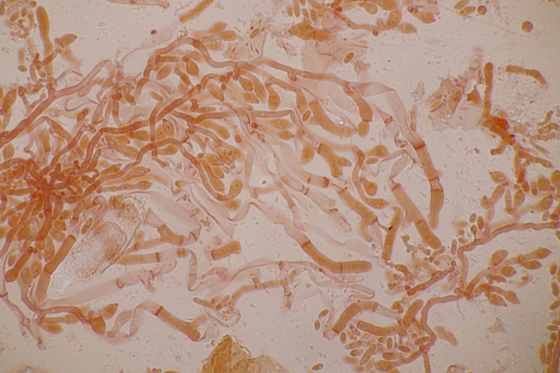
4. Mal wieder ein Schizothecium... Sporen messen 27.4-30.5 x 13.6-16.0 µm, Pedicel sehr klein, 9 x 2 µm. Cauda oben einfach, Cauda unten nicht beobachtbar, die typischen Schizothecium-Haare waren sehr kurz. Ich tendiere zu S. conicum, aber Schizothecium ist ja einfach keine Gattung mit der ich warm werde...
5. Eine Sporormiella mit kleinen Sporen, die uniseriat im Ascus liegen: Sporormiella pulchella
6. Ein Saccobolus. Da einige Paraphysen einen gelben Inhalt haben, tendiere ich zur Sekt. Saccobolus. Sporencluster messen 33-34 x 12 µm, Sporen 13-14 x 6-7 µm. Also Saccobolus minimus?
7. Cystobasidium fimetarium
8. Thecotheus holmskjoldii
Björn
