Hi.
Von gestern habe ich hier noch eine Galerina liegen. Die sah nicht wie die übliche G. marginata aus, also habe ich sie mal mitgenommen um zu gucken ob ich mikroskopisch in der Gattung was reißen kann.
Finde es aber schon schwierig.
Habitat schaut so aus. Birke, Weide und Kiefer hauptsächlich vor Ort. Offene Fläche mit kleinen Moospolstern, Totholz im Boden kann ich auch nicht ausschließen.
Relativ kräftiger Ring:
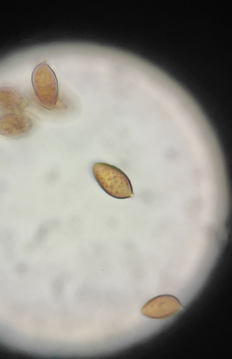
Basidien 4-sporig, Sporen nicht "caylptrate", PlZ habe ich keine gesehen. Cheilos nicht tibiform.
ChZ zumeist zylindrisch bis schwach lageniform
Eine einzelne auch normal lageniform:
Sporen amygdaliform.
Maße aus Abwurf in Wasser:
(9)9,5-9,8-10,1(10,8)x(5,4)5,5-5,6-5,8(6)
Q=1,60-1,76-1,86
N=22
400x Kongo
1000x Kongo
1000x Wasser
Mit der FN bin ich in Schlüssel B.
G. uncialis schaut ganz gut aus. Nur kalkhaltig ist's hier eigentlich nicht. Sandig-lehmige Böden würden aber gut passen.
Könnte das hinkommen?
LG,
Schupfi
