Servus,
seit 3 Wochen liegen ein paar Hasenköttel bei mir in der Feuchtekammer.
Nun hab ich 4 Hypho´s mit denen ich so gut wie nichts anfangen kann,
vielleicht könnt ihr mich auf die richtige Spur bringen.
Nr 1:
evtl Gonatobotrys simplex
Aufrechte weißliche Hyphen mit knotenförmigen Verdickungen an denen die Sporen gebildet werden.
Sporen länglich tropfenförmig, glatt, 14-17 x 7-8µ
Nr. 2
Ist vermutlich eine Alternaria.?
Zunächst hatte ich eine Anzahl verschiedenartiger Sporen unterm Mikro,
die ich erstmal zuordnen mußte,- gelang mir nur teilweise![]()
Die Sporen der vermeintlichen Alternaria sind punktiert, graubraun,
keulig, 2-4-5 x quer und 2-3 x längs septiert, 20-45 x 13-16µ
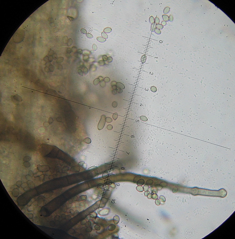
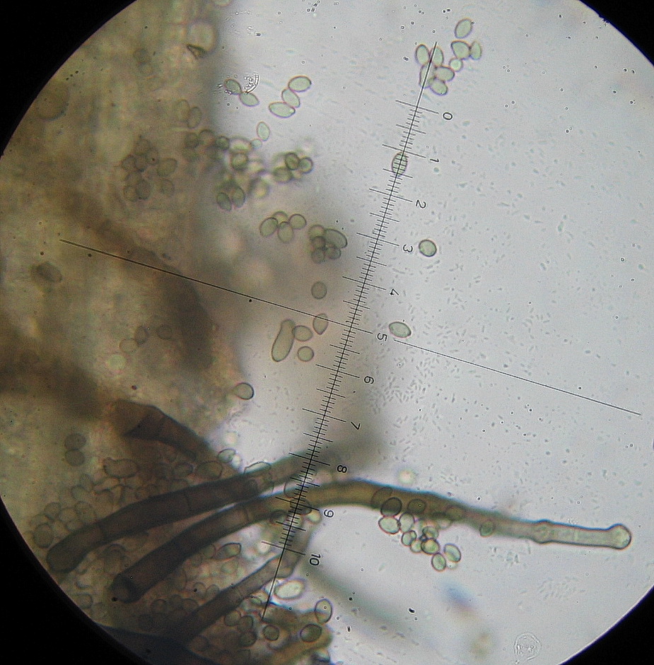
Nr 3
Bildete leicht bräunliche gestielte Rasen auf dem Köttel
evtl ein Cladosporium ? cladosporioides
Hier die Konidienträger. Septiert braun , dickwandig
Sporen in dichten Büscheln, Einzelsporen, glatt, 5-6µ,grau mit dunkler Wand
die längern Sporen ( Bildmitte + nächstes Bild)sind warzig punktiert bis 15µ lang
( an denen hängen dann die Kleinen Sporen dran)
Nr.4
War leider nur eine "riesige" Sporenanhäufung.
Ellipsoide, muriforme, dunkelbraune Sporen mit helleren Endzellen.
Ebenfalls leicht punktiert
hier sieht man bei der jungen Spore noch die Verbindung
Nr.5.
Das Letzte, das ich eigentlich anschauen wollte, und bei dem ich die ganzen vorherigen Hypho-Sporen mit auf der Nadel hatte konnte ich wenigstens einen cf Namen geben.
Epicoccum cf prurpurascens
Und mit so was verbringt man seine Freizeit

Grüße
Felli
