Hallo zusammen,
gestern hat sich der MAB zu einer Exkursion in Leverkusen-Schlebusch getroffen. Zunächst ging es bei leichtem Nieselregen durch den Wald bis wir dann am Friedhof Schlebusch ankamen, der pilztechnisch einiges zu bieten hatte und an dem ich dann auch meine Kamera in Betrieb genommen habe.
1. Ein hübscher Hautkopf, wo laut Bernd Cortinarius cinnamomeus und Cortinarius sommerfeltii in Frage kommen.
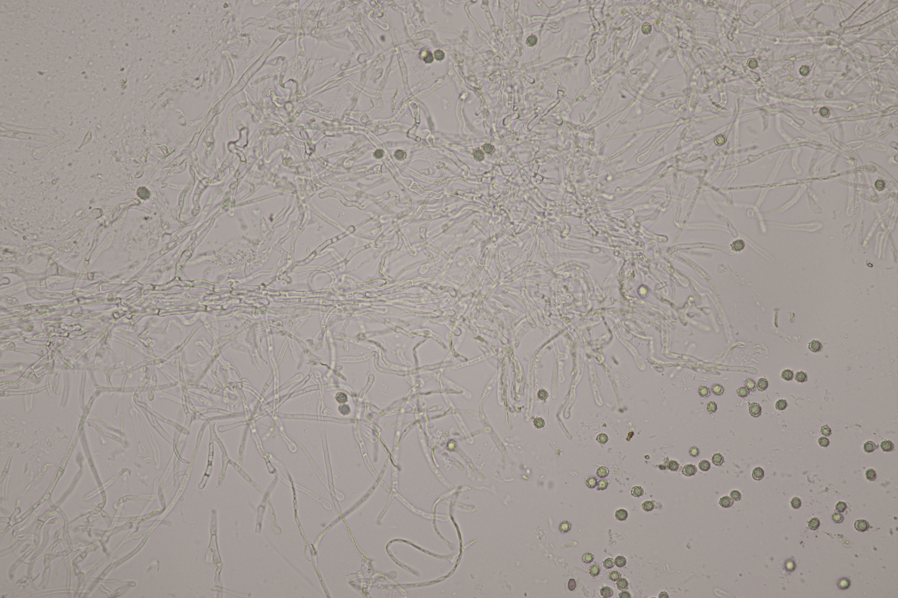
2. Mycogone rosea ex Amanita rubescens. Ich hätte den Fund als verschimmelte Pilzleiche wahrscheinlich gar nicht weiter beachtet, aber Bernd hat den Rosaschimmer erkannt und meinte, daß das Mycogone rosea sein könnte, die mikroskopisch gut zu erkennen sei.
3. Auch an diesem Pilz bin ich vorbeigelaufen, aber Bernd hat diese kleine Rarität zielsicher aufgespürt und wegen des sehr schnellen Rötens auf Leucoagaricus georginae getippt. Das hat sich dann auch mikroskopisch bestätigt.
Huthaut in Wasser
Huthaut in Ammoniak
Lamelle mit geschnäbelten Cheilozystiden
Sporen 7.6+-0.3 µm x 4.4+-0.2 µm, Q=1.7+-0.1, 7.0-8.5 µm x 4.0-4.7 µm, Q=1.6-1.9
4. Zum Abschluß noch ein ganz hübscher Pilz in einer schönen Kollektion: Lactarius chrysorrheus
Huthaut
Lamelle
Sporen
Björn
