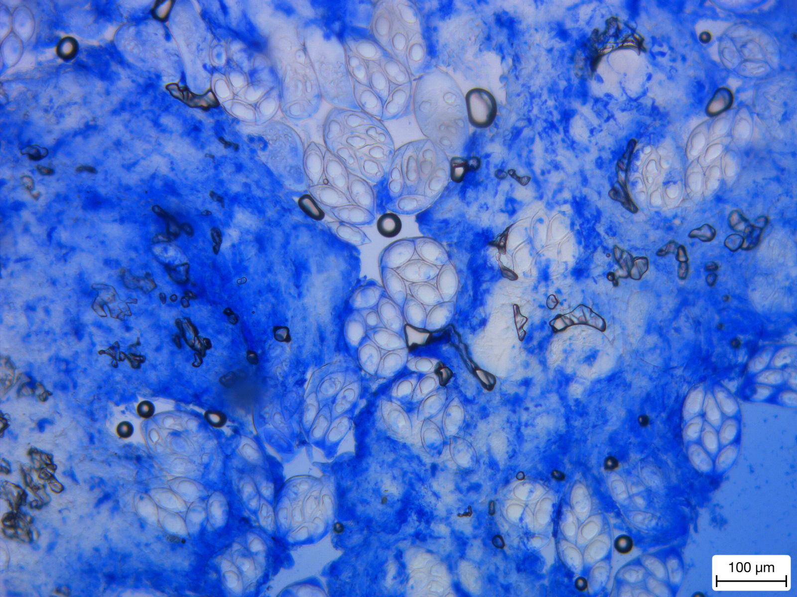
Hallo zusammen, eine Frau fand in ihrem Garten eine Trüffel beim Ausgraben der Erdbeeren. Einziger Begleitbaum ist eine Blaufichte.
400m ü. NN, sauer, ob der Garten gekalkt wurde, ist nicht bekannt.
Geruch neutral
Geschmack angenehm
Das weiße Innenleben zeigt nur wenig Struktur. Die Oberfläche der Trüffel ist dunkel anthrazitfarbenen wie feinkörniges Schmirgelpapier.
Hat jemand eine Idee?
