Psathyrella cf. niveobadia

Es gibt 2 Antworten in diesem Thema, welches 1.701 mal aufgerufen wurde. Der letzte Beitrag () ist von romana.

  • Hallo,

    ich habe im Waldviertel am Straßenrand mit viel Streusand in ca 850 m Seehöhe eine Psathyrella gefunden, die ich für P. niveobadia halte. Könnte das hinkommen?

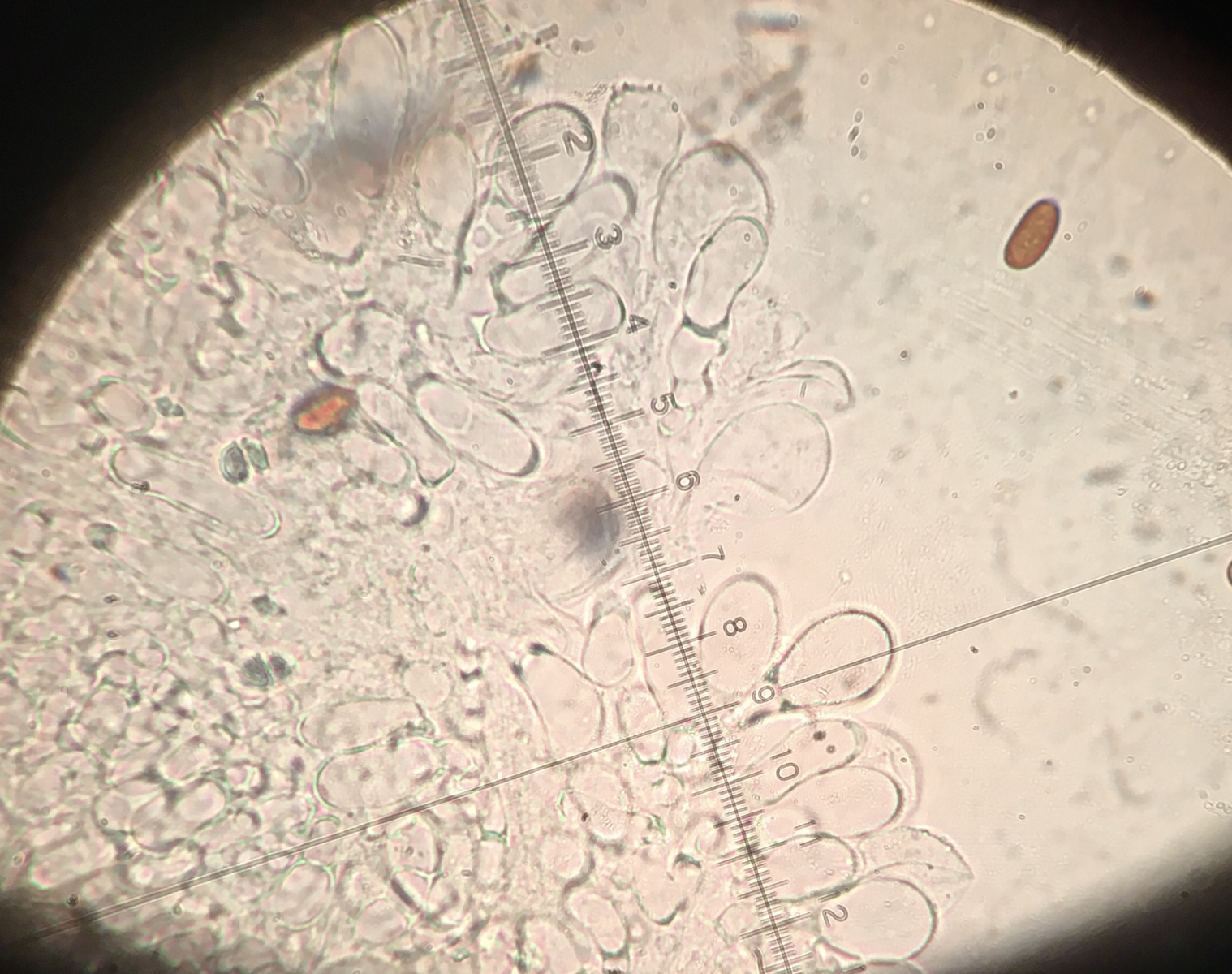
    Die Pilze haben einen Hutdurchmesser von 5-7 cm und waren am Standort nach Regen dunkelbraun mit auffallend weißem Stiel. Im Doserl verfärbten sie sich nach gelblich-ocker, trocken wurden sie noch heller. Der Hutrand war gelblich.

    Die Sporen messen ca. 8x5 und haben einen auffallenden Keimporus. Die Basidien dürften großteils viersporig sein.


    LG

    romana









    103-15 APR2017+17(3.Platz)+2(Wette)=107-1(OBR)-15 APR2018=91+13(3.Platz)+8(Wetten)=112-2+7(Wette)=117-15 APR2019=102+8(8.Platz)=110-15 APR2020=95+12(3.Platz)+27(Wetten)=134-15 APR2021=119+10(4.Platz)+12(Wetten)=141-15+16 APR2022=142-15(APR2023)=127+18=145-15(APR24)=130

    Einmal editiert, zuletzt von romana ()

  • Hallo Romana


    Schwierig... wie viele Sporen hast du gemessen? Wenn die im Schnitt 5 µm breit sind, ist das für Ps. niveobadia etwa zu breit. Ich würde mindestens 20 Sporen messen.

    Hast du noch mehr Bilder von den Pleurozystiden? Die sind in der Gruppe sehr wichtig.

    Grössenangaben für Cheilozystiden (auch die kleineren Parazystiden) sowie die Pleurozystiden würden auch helfen.


    Gruss Raphael

  • Hallo Raphael,

    vielen Dank für deine Antwort! Die Sporen waren meist etwas schmäler als 5, ich habe aber erst zehn gemessen.

    Ich werde, sobald ich wieder besser Zeit habe, die fehlenden Daten nachliefern und hoffe, dass dann eine Bestimmung möglich ist.

    Liebe Grüße,

    romana

    103-15 APR2017+17(3.Platz)+2(Wette)=107-1(OBR)-15 APR2018=91+13(3.Platz)+8(Wetten)=112-2+7(Wette)=117-15 APR2019=102+8(8.Platz)=110-15 APR2020=95+12(3.Platz)+27(Wetten)=134-15 APR2021=119+10(4.Platz)+12(Wetten)=141-15+16 APR2022=142-15(APR2023)=127+18=145-15(APR24)=130