Hallo zusammen,
am Sonntag war ich wieder in Essen unterwegs, diesmal vom Hespertal runter zum Baldeneysee und von dort dann bis Essen-Kupferdreh. Das Hespertal ist gerade im Winter immer einen Besuch wert, weil man dort den einen oder anderen spannenden Ascomyceten finden kann. Dene Anfang macht aber ein Basidiomycet:
1. Phellinus an Weide. Sporen messen (4.6+-0.3) µm x (3.9+-0.2) µm, Q=1.2+-0.1 bzw. (4.1-5.1) µm x (3.4-4.5) µm, Q=1.1-1.3 und sind nicht dextrinoid. Die Setae sind relativ lang, so daß ich den Fund gerne als Phellinus conchatus ablegen möchte. An der Stelle auch noch ein Tipp zum Mikroskopieren von Phelllinus: Die sind ja durchaus sehr zähe Zeitgenossen und KOH zum Lösen der Strukturen hilft nicht, weil dann alles ganz dunkel wird. Was aber sehr gut funktioniert ist das Mikroskopieren in konz. Schwefelsäure. Die verfärbt nichts, löst aber gleichzeitig alles in angenehm kleine Stücke.
Ohne Schwefelsäure:
Mit Schwefelsäure
2. Sarcoscypha coccinea mit glatten Haaren.
3. Myxarium nucleatum
4. Nectria cinnabarina
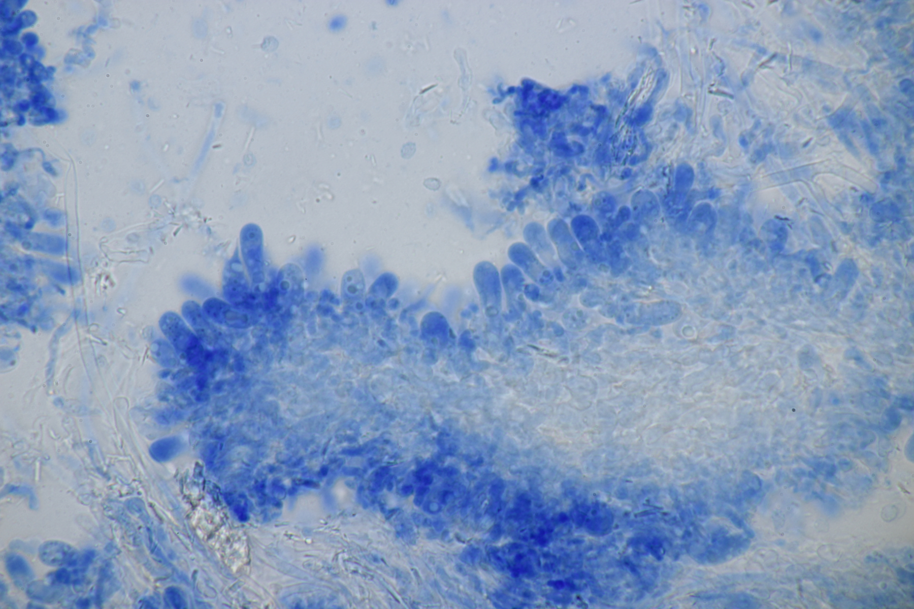
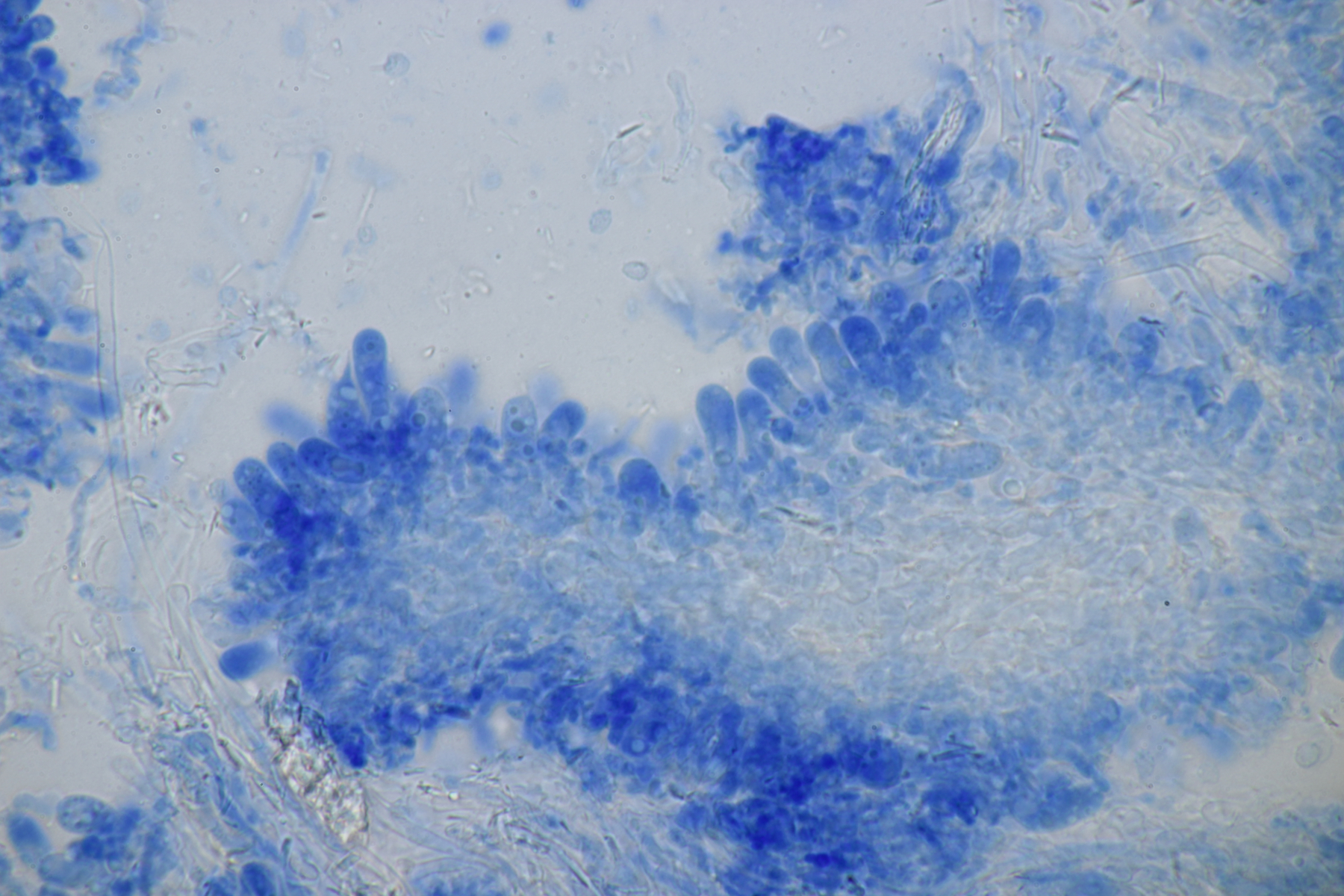
5. Das würde ich wegen der Basidien für eine Phlebiella halten. Die Sporen messen (4.7+-0.3) µm x (3.2+-0.2) µm, Q=1.5+-0.1 bzw. (4.3-5.1) µm x (2.8-3.7) µm, Q=1.3-1.6. Mit KOH färbt der Fruchtkörper braun-violett-dunkelrot. Für Phlebiella vaga sind die Sporen ja etwas klein geraten, aber die anderen Arten passen auch nicht besser. Ein Fall für Pablo...
6. Mal wieder eine unreife Athelia an Flechten
7. Auricularia auricula-judae
8. Scytinostroma hemidichophyticum
9. Colletrotrichum trichellum an Efeu
10. Octospora affinis ex Orthotrichum affine
Björn
