Hallo,
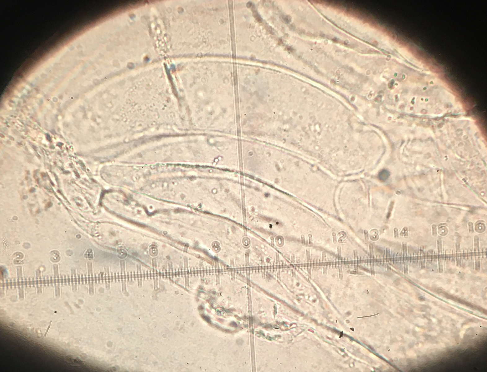
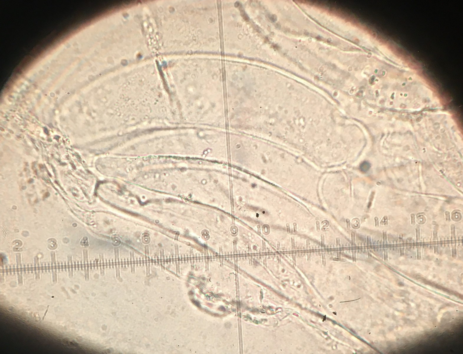
heute fand ich im Wiener Prater an einem relativ morschen Stammstück in einem von einem Specht geschlagenem Loch folgenden Tintling. Die Sporen messen 8-10 x 5-7, die Schüppchen bestehen aus ziemlich großen wurstförmigen Elementen. Könnte es sich dieses Mal tatsächlich um Coprinopsis mitraespora handeln?
LG
romana
