Hallo zusammen,
am vergangenen Sonntag habe ich einen längeren Spaziergang in der Nähe der deutsch-holländischen Grenze gemacht. Von Kaldenkirchen aus ging es gen Süden bis zum berühmt-berüchtigen Brachter Wald und nach einer kleinen Runde dort wieder zurück nach Kaldenkirchen. Unterwegs habe ich dann natürlich auch noch ein paar Pilze eingesackt.
1. Deconica montana. Als ich eine erste Kollektion fürs Foto arrangiert hatte, kam ein Niederländer des Weges, der mich fragte, ob ich da etwas "determinieren" würde. Ich erzählte ihm dann was von Pilzen und schwupps war sein neugieriger Hund auf die Kollektion gestapft. Er entschuldigte sich viel mal dafür und meinte, er hätte besser aufpassen müsssen. Aber zum Glück ist der Pilz da ja keine Mangelware gewesen und so konnte ich dann noch zwei weitere Kollektionen arrangieren und fotografieren.
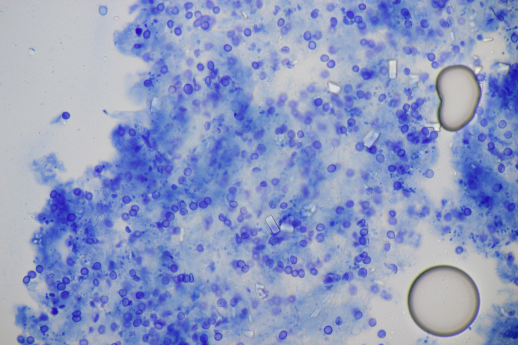
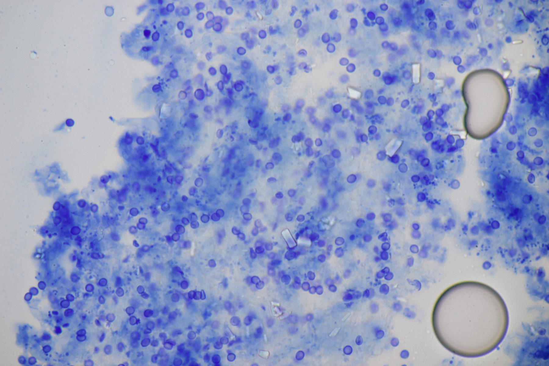
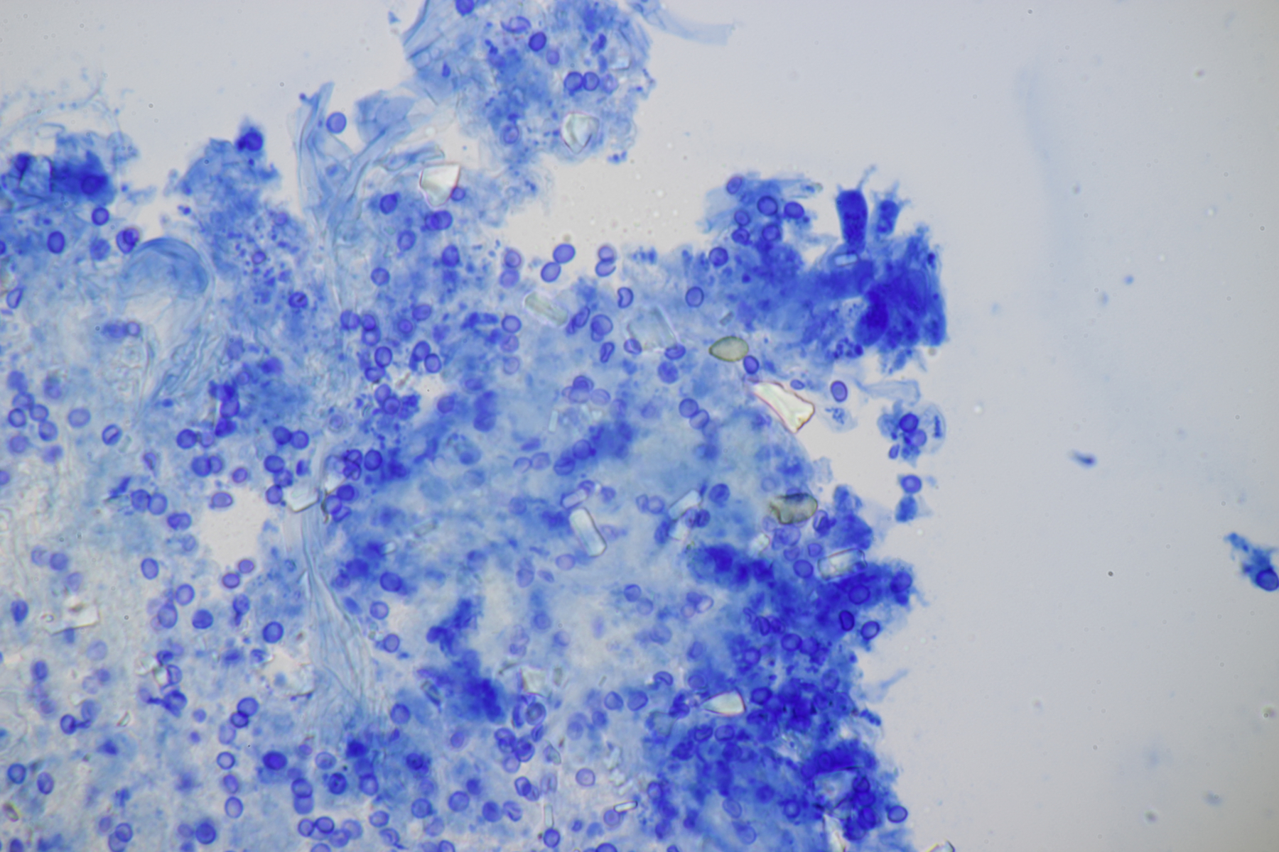
2. Galerinchen gab es auch. Diese hier haben Schnallen, dünnwandige Pleurozystiden, keine Velumsreste am Stiel, die Sporen sind ornamentiert und messen (8.5+-0.5) µm x (5.6+-0.2) µm, Q=1.5+-0.1 bzw. (7.9-10.0) µm x (5.1-5.9) µm, Q=1.4-1.7, sind dextrinoid. Pileozystiden habe ich keine gefunden, so daß ich mit den 4-sporigen Basidien dann bei Galerina vittiformis var. vittiformis lande. Was sagen die Experten dazu?
Sporen in Wasser
Sporen in Melzer
Sporen in KOH
Lamelle
Huthaut
Stiel
3. Amanita gemmata
4. Suillus bovinus
5. Von Karl gab es auf FB die Ansage, daß er sein Wohnzimmer betritt mindestens eine neue Art beisteuern muß. Das habe ich dann natürlich auch getan: Peronospora vernalis ex Spergula morisonii
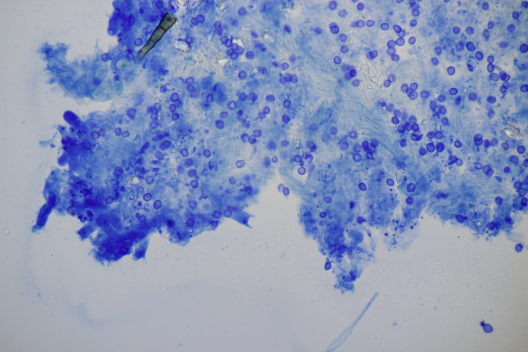
6. Ein Botryobasidium im anamorphen Zustand. Konidien zitronenförmig, (15.8+-0.9) µm x (8.9+-0.6) µm, Q=1.8+-0.2 bzw. (14.7-18.5) µm x (7.7-10.0) µm, Q=1.5-2.1, ohne Schnallen. Der obere Teil der Konidienträger scheint nicht verzweigt zu sein. Aber dann passe von der Sporengröße her weder B. ellipsosporum noch B. conspersum. Irgendeinen Rat, Pablo?
7. Noch ein Rindenpilz, hier fehlt mir gerade jede Idee. Sporen (3.9+-0.2) µm x (3.3+-0.2) µm, Q=1.2+-0.1 bzw. (3.6-4.3) µm x (2.9-3.6) µm, Q=1.1-1.3, nicht amyloid oder dextrinoid soweit ich das beurteilen kann. Keine Zystiden, Schnallen vorhanden, Basidien 4-sporig. Dazu auffällige Rhizomorphen.
Björn
