Hallo zusammen,
heute Vormittag habe ich ein bißchen Frischluft im Stadtwald geschnuppert und dabei auch eine handvoll Pilze entdeckt, die ich euch hier zeigen möchte.
1. Pholiota mit Sporen von (7.9+-0.4) µm x (5.3+-0.3) µm, Q=1.5+-0.1 bzw. (6.9-8.6) µm x (4.7-5.9) µm, Q=1.3-1.6 auf Fagus sylvatica. Damit lande ich bei Pholiota adiposa.
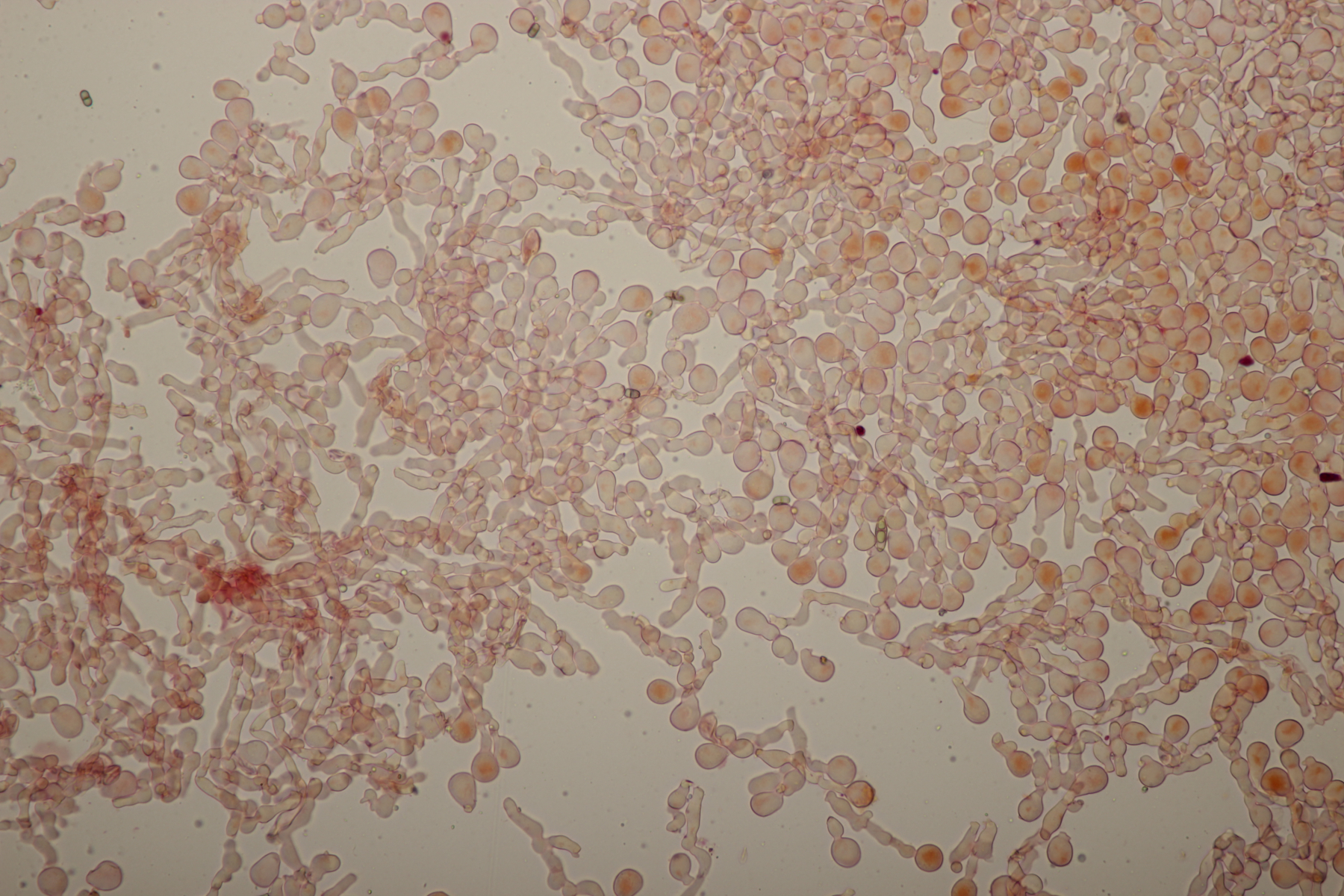
2. Hier lande ich mit Sporen von (4.4+-0.2) µm x (3.5+-0.2) µm, Q=1.3+-0.1 bzw. (4.0-4.7) µm x (3.2-3.8) µm, Q=1.2-1.4 bei Inonotus nodulosus. Substrat Fagus sylvatica
3. Bulbillomyces farinosus
4. Macrotyphula filiformis
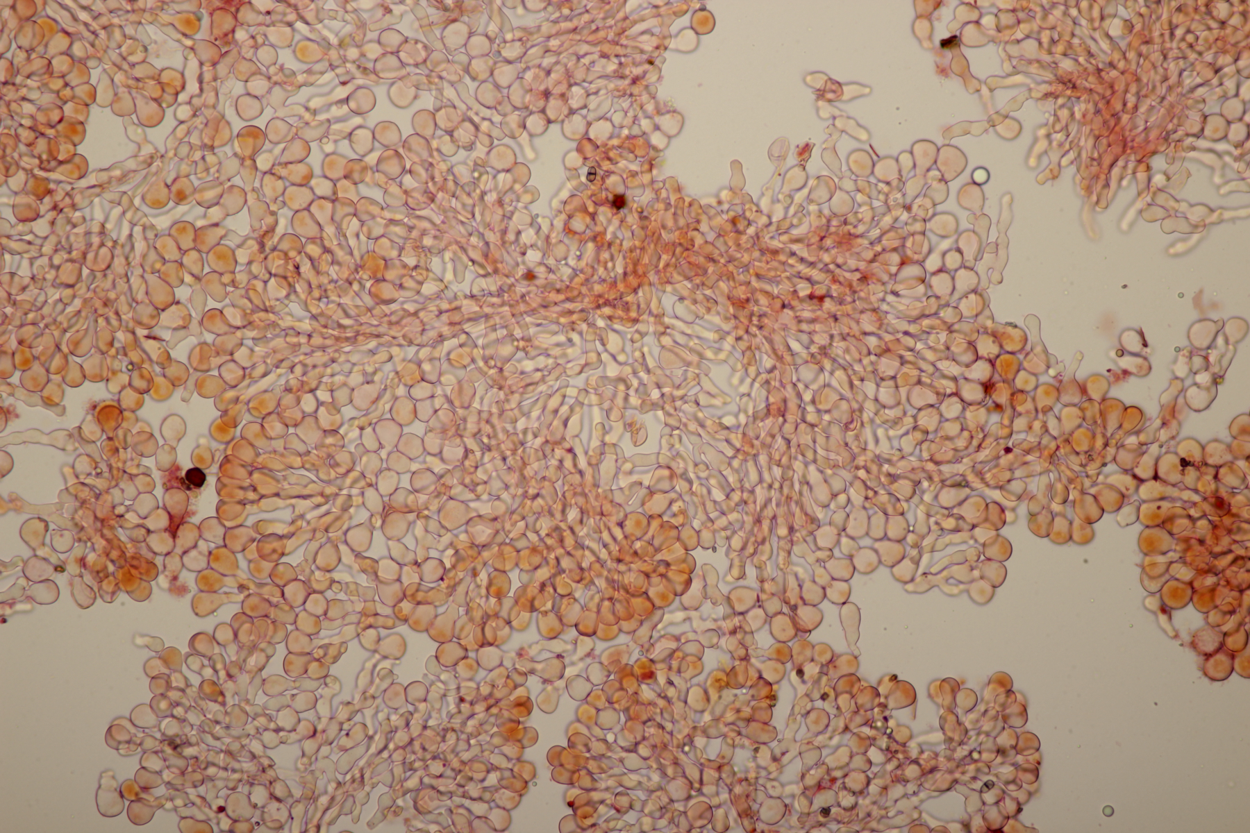
5. Phlebia subochracea, Sporen (5.9+-0.4) µm x (3.0+-0.2) µm, Q=2.0+-0.2 bzw. (5.3-6.7) µm x (2.5-3.4) µm, Q=1.7-2.3
6. Infundibulicybe geotropa
7. Tapinella panuoides
8. Humaria hemisphaerica
9. Helvella crispa
Björn
