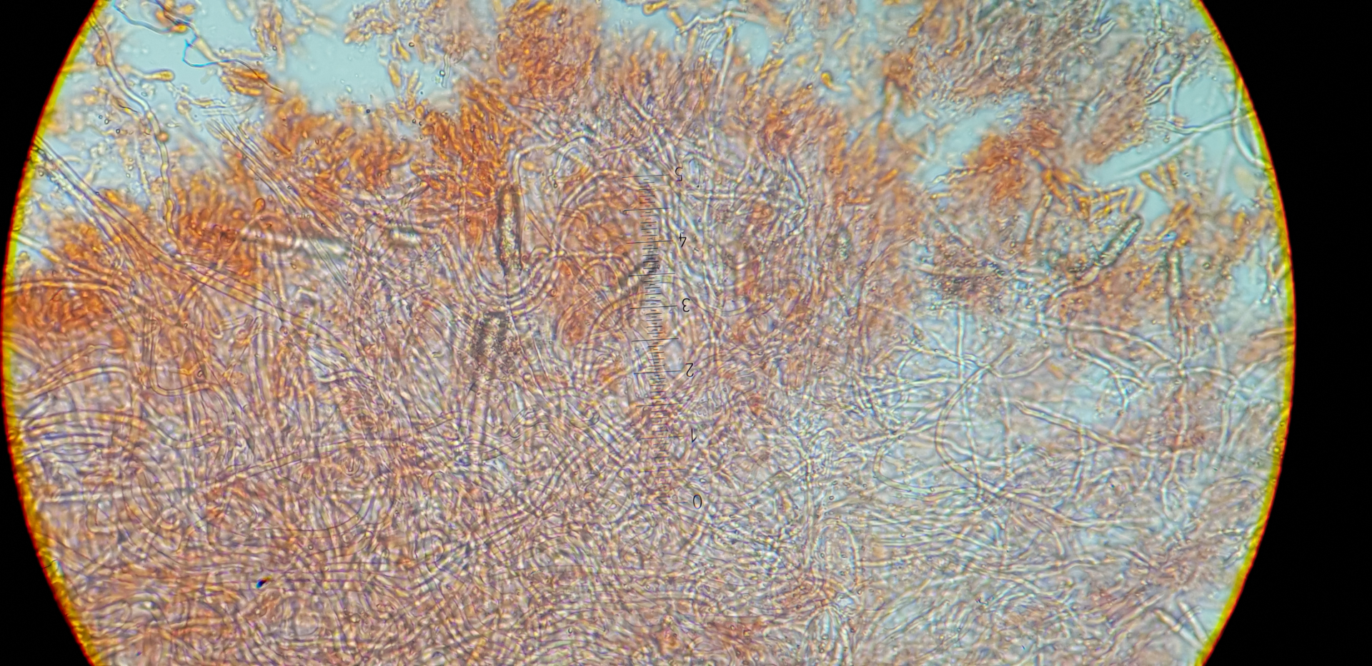
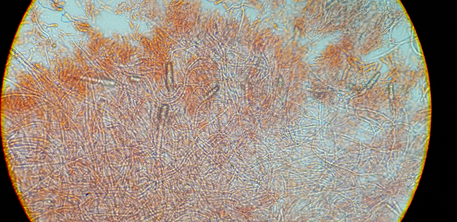
Die Sporen passen - die fruchtkörper sind makroskopisch etwas komisch. So blass, vor allem die Stacheln kenne ich etwas kräftiger gefärbt. Aber wenn die entsprechenden PSeudozystiden und dimitisches Hyphensystem vorhanden sind, dann passt das natürlich.