Hallo,
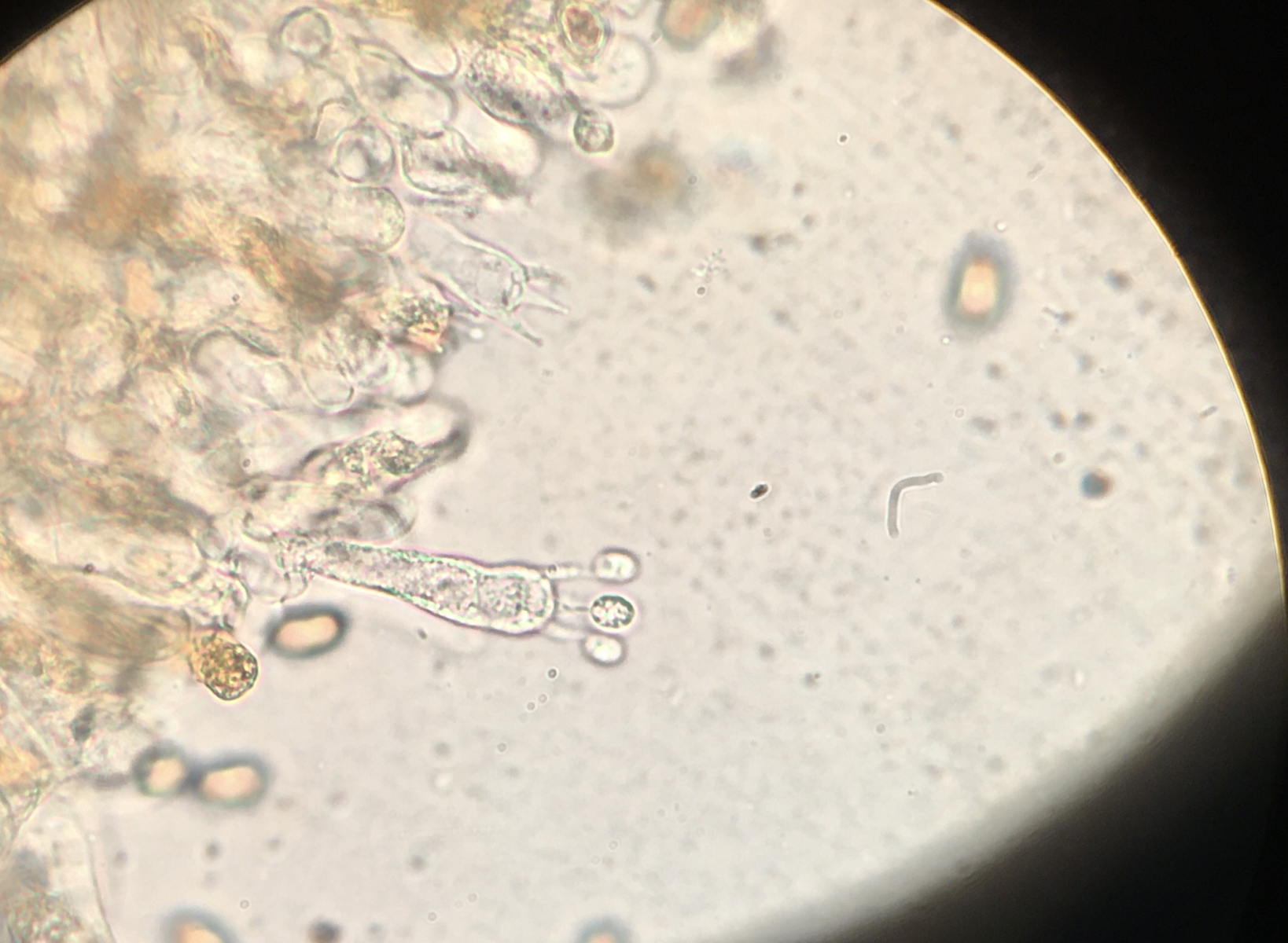
heute fand ich in der Lobau einen kleinen schuppigen braunen Risspilz. Der Pilz wuchs in der Nähe von Hygrocybe cf. calciphila und Entoloma incanum.
Ich hoffe, dass mir jemand bei der Bestimmung helfen kann!
Hier die Bilder:
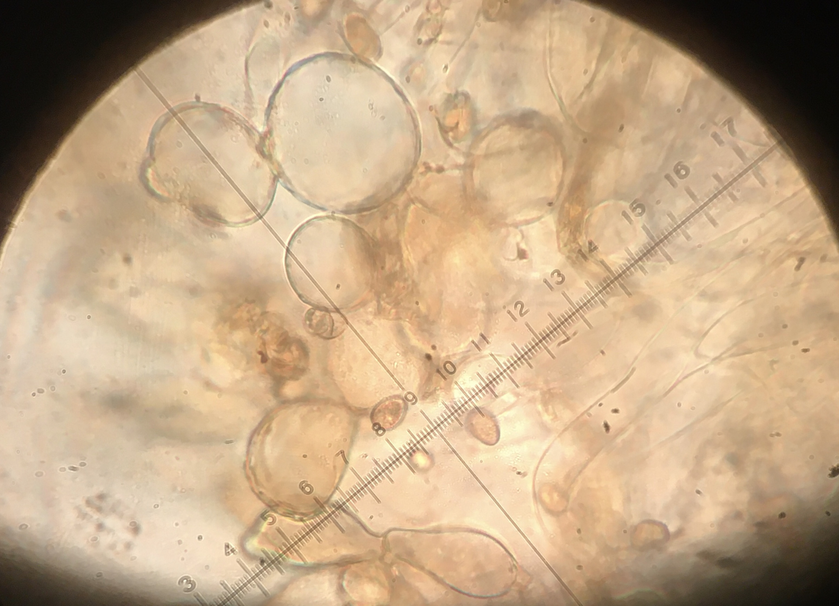
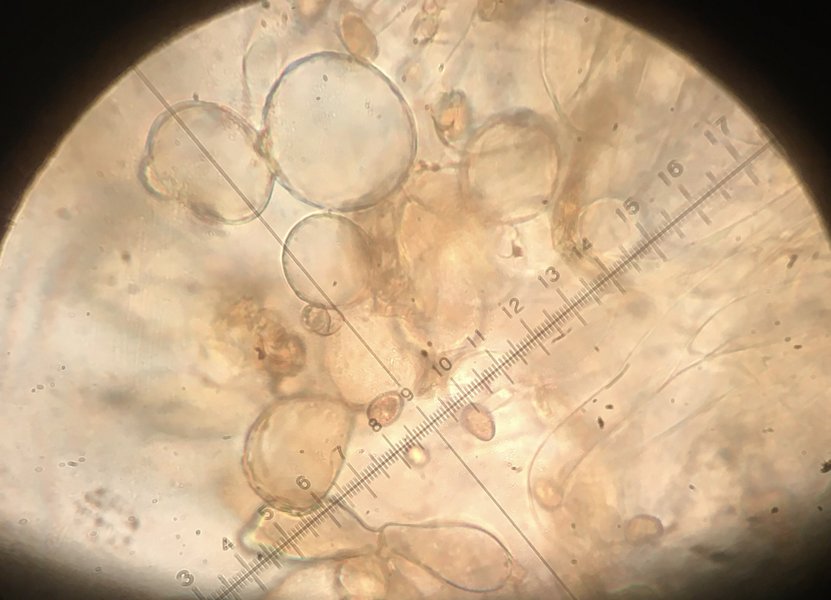
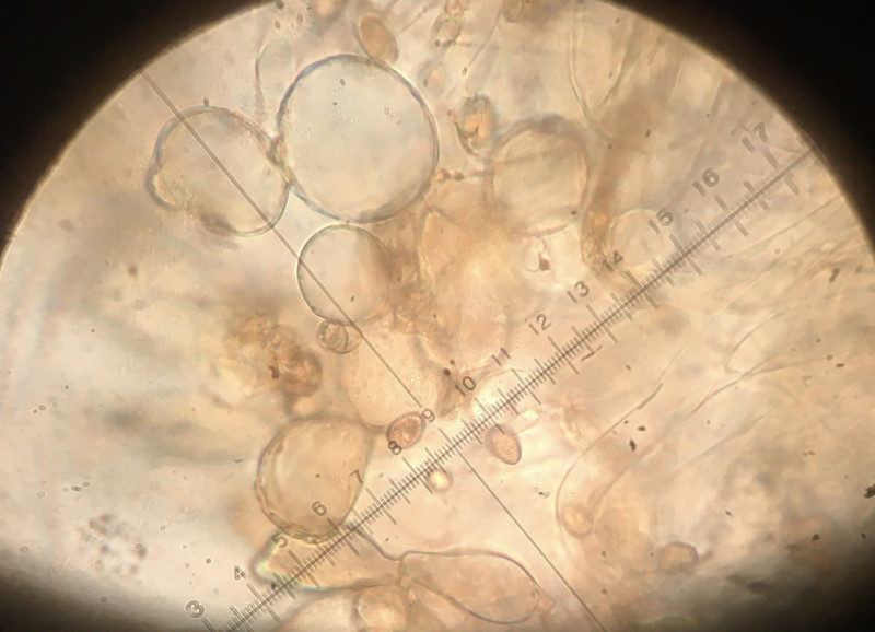
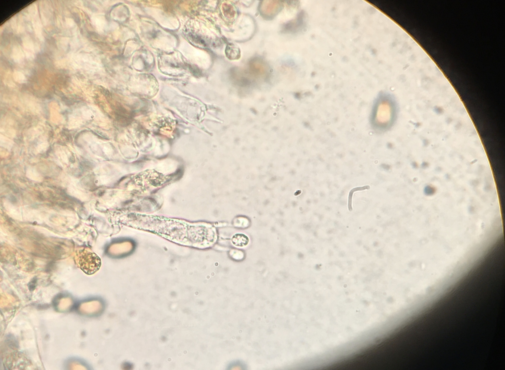
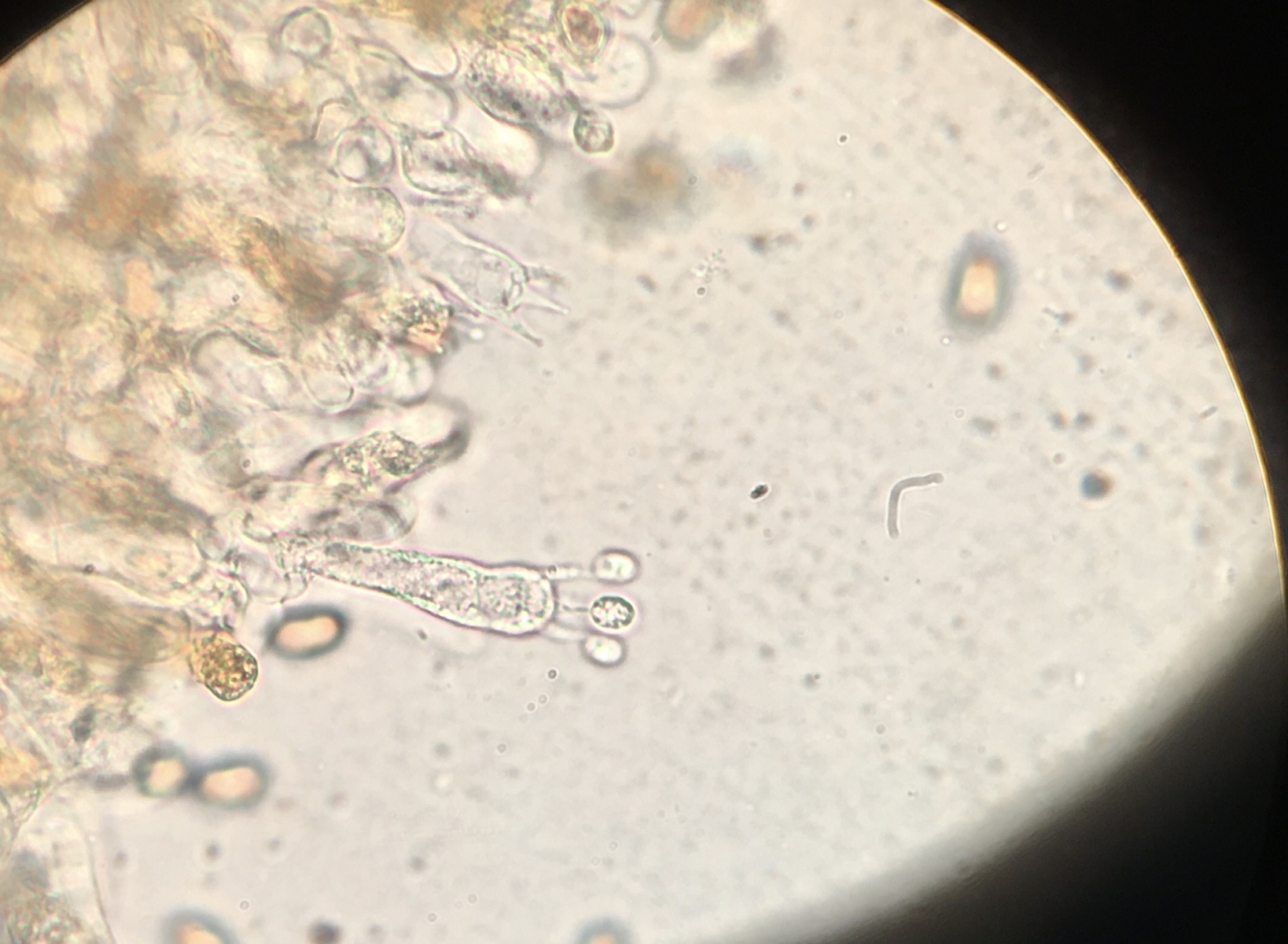
Sporenmaße: 7-10 x 5-6
Was ist denn hier zu sehen? Stammt auch von der Lamelle.
LG
romana
