Champignon, Egerling oder gar giftig?!

Es gibt 4 Antworten in diesem Thema, welches 2.359 mal aufgerufen wurde. Der letzte Beitrag () ist von Sebastian_RLP.

  • Hey liebe Leute,

    hab heute auf einer Wiese am Leithaberg traumhaft schöne Pilze gefunden und dachte aufgrund von Geruch und Aussehen sofort an Wiesenchampignons. Allerdings sind die Lamellen weiß und wie ich herausfunden habe geht es da in Richtung Egerling.


    Aber seht selbst! Ich würde wirklich gerne lernen, was das für Pilze sind. :)


    Alles Gute aus dem Burgenland, Peter!

  • Hallo Peter,


    Egerling ist nur der deutsche Name für Champignon und die haben alle im erwachsenen Alter braune Lamellen. Dein Fund wird einer der Egelingsschirmlinge (Leucoagaricus) sein.


    VG Jörg

  • Hallo Peter, ich wäre hier auch bei Leucoagaricus, die tauchen zur Zeit sehr häufig auf, sehen Champignons von der Gestalt her sehr ähnlich unterscheiden sich aber durch weißes, oder mitunter rosaliches Sporenpulver, wie bei Leucoagaricus leucothites, dem rosablättrigen Egerlingsschirmling (die Lamellen bei deinem scheinen mir auch etwas rosalich zu schimmern, Fotos können hier aber leider ordentlich täuschen). Die Stielbasis dürfte da knollig gewesen sein ? OHNE das eine Scheide vorhanden ist. Das sind wichtige Merkmale, wie die Vorredner bereits bemerkt haben.


    Der rosablättrige verrät sich durch den rosa Sporenauswurf und die rosawerdenden Lamellen. Er gilbt normalerweise nicht am Stiel. Hier ein Fund von vor drei Tagen:



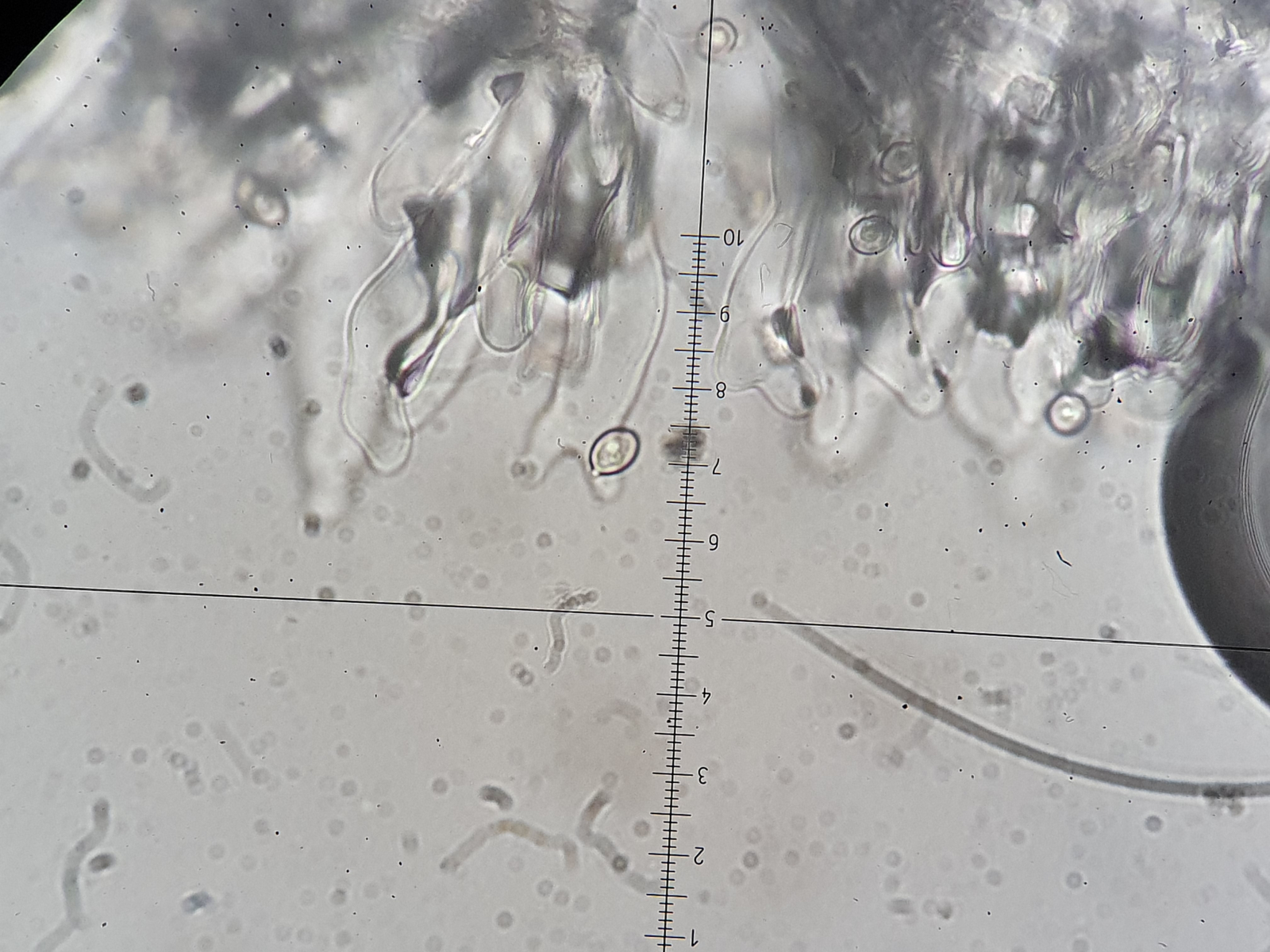
    Cheilos



    Haare der Hutdeckschicht, wie bei Ludwig beschrieben, apikal schmal zulaufend auf schmäleren Basalzellen.



    Den nächsten Fund machte ich gestern an einer Straße, dieser Leucoagaricus zeigt sich deutlich stämmiger, gilbt (leicht) am Stiel, bräunt dann später nach. Dessen Sporenpulver ist reinweiß (wie bei L. holosericeus in Ludwig für Koll. A beschrieben; trotz das sich die Lamellen rosalich verfärben). Die Lamellen sind am Folgetag nur zart rosalich verfärbt, zu erkennen aber viel weniger als beim Fund oben. Er hat ebenfalls einen wattigen, aufsteigenden Ring. Die Mikromerkmale zeigen sich etwas anders als beim rosablättrigen: weniger irreguläre Cheilos, häufig keulig. Also Leucoagaricus holosericeus? Da würde ich ihn mit etwas Restunsicherheit ablegen.





    Cheilos 400-fach in Kongorot/SDS



    Hutdeckschicht 400-fach in Kongorot/SDS



    Beste Grüße Sebastian