Hallo zusammen,
am vergangenen Sonntag hat sich der APR mal wieder zu einer Pilzexkursion getroffen. Ziel war das Asbachtal in Velbert. Die Nacht vorher hatte es ausgiebig geregnet. Das half zwar dem aktuellen Pilzwachstum eher wenig, macht aber zumindest Hoffnung für die nahe Zukunft.
1. Cyathus striatus
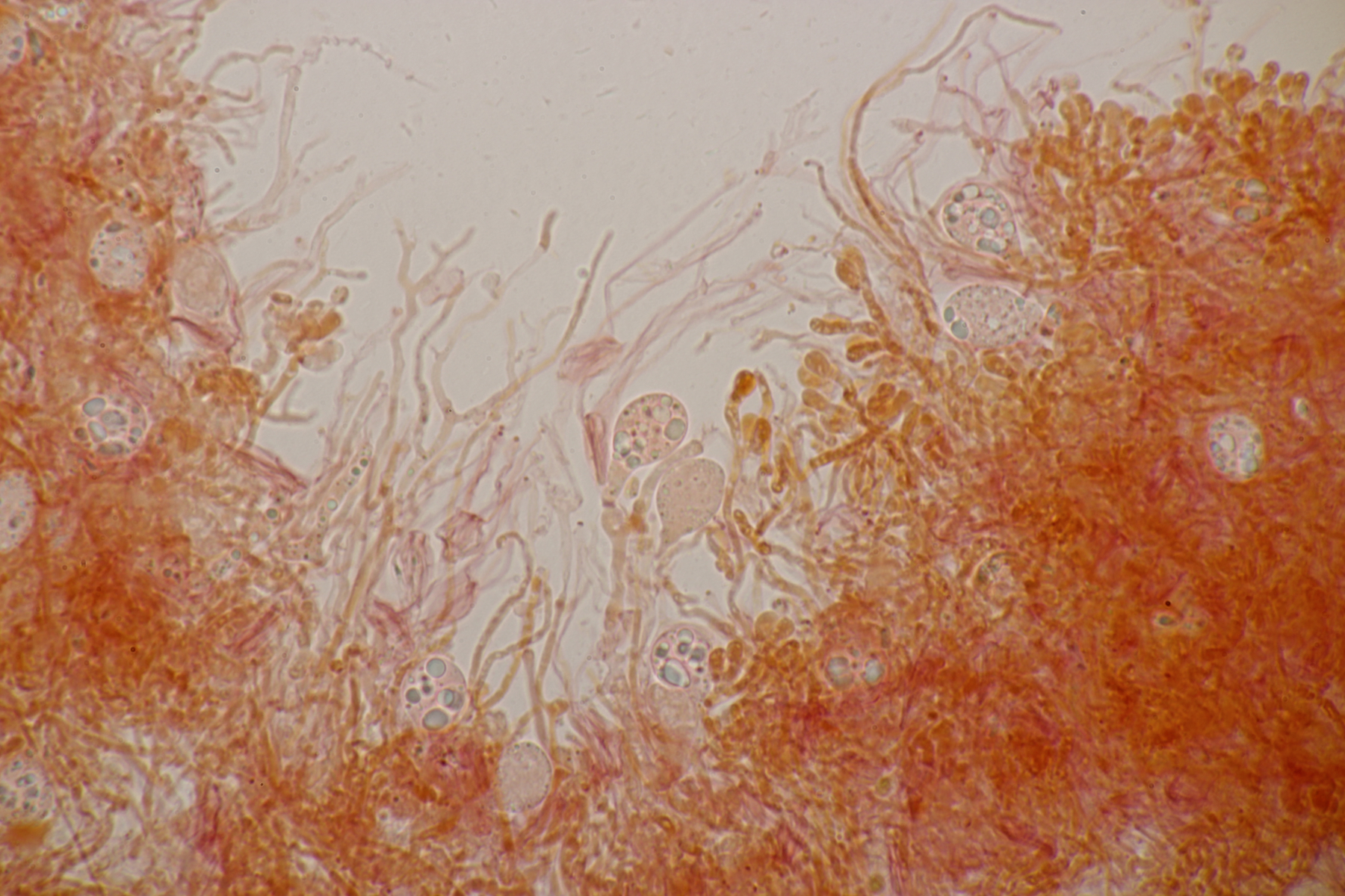
2. Peziza varia mit leichten Schwierigkeiten bei der Reaktion mit Luhol
3. Puccinia arenariae ex Stellaria aquatica
4. Puccinia coronata ex Festuca gigantea
5. Puccinia graminis ex Festuca gigantea
6. Puccinia coronata ex Arrhenatherum elatius
7. Puccinia laschii ex Cirsium palustre
8. Puccinia graminis ex Dactylis glomerata
9. Rhodocollybia maculata
10. Gymnopus confluens
11. Exidia candida
12. Peniophorella praetermissa
13. Puccinia artemisiella ex Artemisia vulgaris
Björn
