Winzige Ascos auf Erde

Es gibt 4 Antworten in diesem Thema, welches 3.157 mal aufgerufen wurde. Der letzte Beitrag () ist von nobi_†.

  • Grüezi


    Keine Ahnung ob ich hier richtig bin und wieviele Leute hier das interessiert. :S


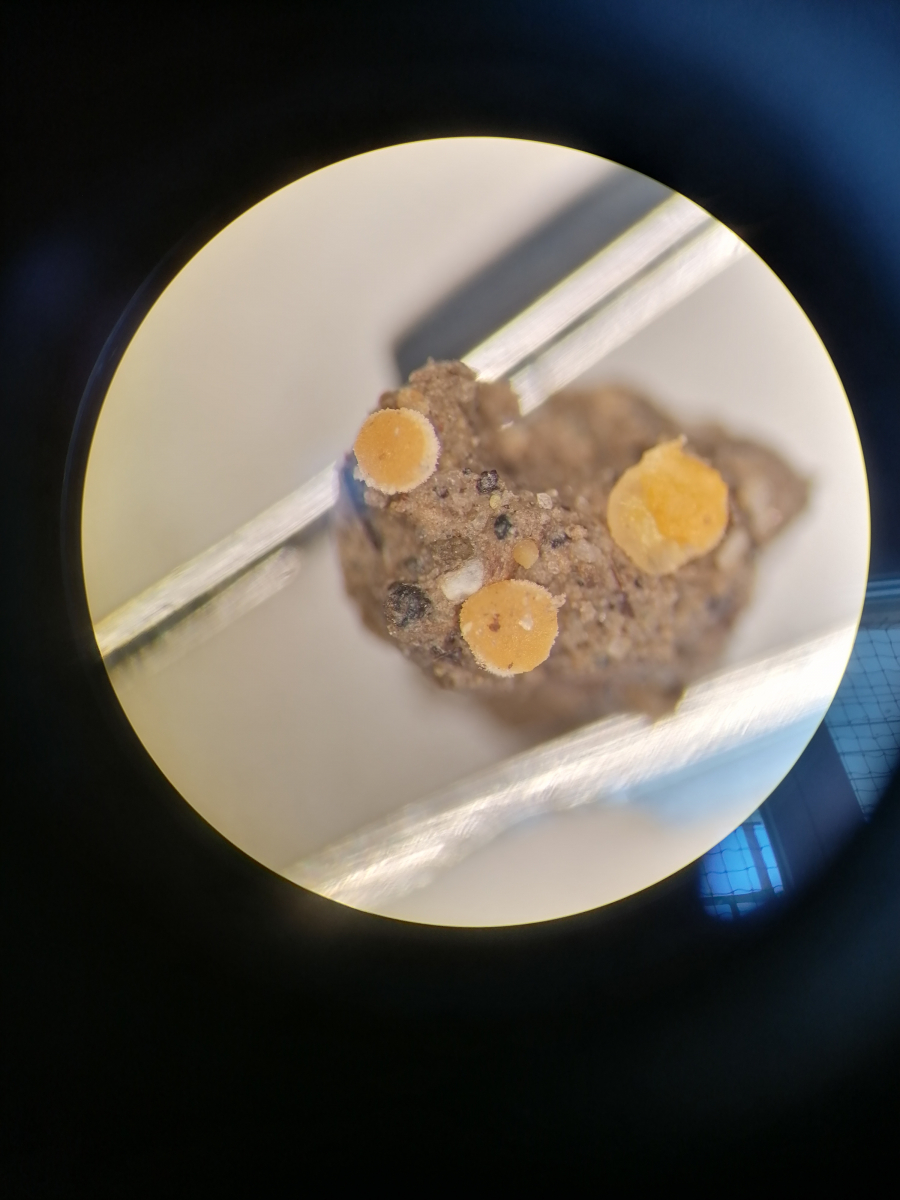
    Meine Freundin hat letzten Montag diese 1-2mm kleinen Ascomyceten auf sandigem Boden im Wald an einem kleinen Bach gefunden.




    Unter dem Mikroskop sah das dann so aus:



    Ich denke es ist Pulvinula convexella.



    Zwei Tage später habe ich auf einer Alp in einem Kuhtritt selber so kleine gelborange Pünktchen gefunden.




    Ich hätte ja gedacht dass es die gleiche Art ist, trotzdem habe ich natürlich einige der Fruchtkörperchen auf einen Objekträger geschmiert. Und siehe da: Gerade Paraphysen und stachelige Sporen.



    Ich denke dass es sich um eine Art der Gattung Ramsbottomia handelt ist klar. Ich denke es ist nicht R. asperior sondern R. crechqueraultii. Und zwar weil die Sporen rund sind, wegen der Länge der Stacheln und wegen der Form der Marginalzellen und des Excipulums. Aber ehrlich gesagt bin ich nicht so ganz sicher ob ich wirklich verstehe was in meinen französischen Büchern steht. 8o

  • Servus Philipp

    Ich denke du hast das alles richtig erkannt, zu überprüfen wäre noch evtl. die Variation Ramsbottomia macracantha

    - oder ist das schon eine eigenständige Art - ? Keine Ahnung

    egal es kommt anscheinend auf die Stacheln an, bei Ramsbottomia macracantha 3-6µ lang, bei R. crechqueraultii nur bis 2µ.


    Ach, da hab ich noch was


    https://www.dgfm-ev.de/publika…etia-sowerbyella/download


    So gesehen würde ich eher zu R. macracantha tendieren.

    Grüße

    Felli

  • Keine Ahnung ob ich hier richtig bin und wieviele Leute hier das interessiert.

    Hallo Philipp,

    natürlich bist Du hier richtig und im Forum gibt es schon einige Leute, die solch spezielle Themen interessieren!

    Auch wenn die Resonanz auf spektakuläre Großpilzfunde natürlich größer ist!||

    Nun aber erstmal danke für die schöne Dokumentation zweier interessanter Kleinbecherlinge!

    Über den Kissenbecherling Pulvinula convexella sind wir uns offensichtlich einig.

    Ich denke dass es sich um eine Art der Gattung Ramsbottomia handelt ist klar. Ich denke es ist nicht R. asperior sondern R. crechqueraultii.

    Die Gattung Ramsbottomia ist natürlich korrekt! Zur wahrscheinlichen Art komme ich gleich.

    Ich denke du hast das alles richtig erkannt, zu überprüfen wäre noch evtl. die Variation Ramsbottomia macracantha

    - oder ist das schon eine eigenständige Art - ?

    Das ist schon lange eine eigenständige Art, Felli.

    Charakterisiert durch relativ große (18-22 µm) und perfekt kugelige Sporen mit bis 10 µm langen kräftigen Dornen.

    Benkert (in der von Dir verlinkten Arbeit S.132-140) verweist nach zahlreichen Untersuchungen auf die äußerst große Varieabilität innerhalb einzelner Aufsammlungen, weswegen er nur noch zwei Arten in der Gattung unterscheidet.

    Das sind Ramsbottomia crec'hqueraultii und Ramsbottomia macracantha.

    Die z.T. heute noch wegen der breitelliptischen Sporen als eigenständige Art angesehene R. asperior stellt er nach seinen Studien zu R. crec'hqueraultii.

    Zum gleichen Schluss kommen übrigens auch Kullman & Van Brummelen.

    So gesehen würde ich eher zu R. macracantha tendieren.

    Dito!

    Die vorgestellte Aufsammlung hat Sporen bis 22 µm, die den Bildern nach perfekt globos sind. Außerdem sehr kräftige Stacheln.

    Bei R. crec'hqueraultii messen die Sporen 16-20 x 13-18 µm und die Stacheln sind kürzer und schlanker.

    Folgt man der Artauffassung Benkerts, wofür ich plädiere, heißt die Art also Ramsbottomia macracantha.


    Ein sehr schöner Fund, Philipp!:thumbup:


    Liebe Grüße,

    Nobi

    Hier geht es zu meinen Themen.

    -------------------------------------------------------------------------------------------------------------------------------------------------------------------------------------------------------

    Chips: 72

  • Ich blick langsam nicht mehr durch bei dem komischen Hobby das ich mir hier ausgesucht habe.

    Mein Pilzfreund Matthias (Mreul) bringt es mit seiner Signatur auf den Punkt!

    "Je intensiver man sich mit Pilzen beschäftigt, desto komplizierter wird es, sie zu bestimmen."

    Da muss man durch!;)

    Und gemeinsam schaffen wir das!:)

    Wenn ich mit all den schlauen Büchern auf eine bestimmte Gattung und Art komme,

    wie komme ich danach an die Info dass es vielleicht gar nicht mehr aktuell ist was dort drin steht?

    Die gezeigten Bücher stehen nahezu alle auch in meinem Schrank!:thumbup:

    Das ist schon mal eine schöne Grundlage, um tiefer in die Mykologie einzudringen.

    Aber wie schon die alten Griechen sagten: Panta Rhei - Alles fließt!

    Gerade bei den kleineren, weniger bekannten Pilzen sind Fachartikel unersetzlich, da sie aktueller sind als jedes Buch und von Spezialisten verfasst.

    Da musst Du halt immer wieder recherchieren oder hier im Forum nachfragen!^^


    Liebe Grüße,

    Nobi

    Hier geht es zu meinen Themen.

    -------------------------------------------------------------------------------------------------------------------------------------------------------------------------------------------------------

    Chips: 72