Hallo zusammen,
diese Pilz kommt jedes Jahr wieder in unserem Rasen. Ich denke es ist ein Kahlkopf. Aber weiter komme ich hier auch nicht.
Hut: 0,8 cm; trocken, speckig glänzend wenn feucht, beige matt wenn trocken, stumpf gebuckelt
Hutrand: ganz schwach gerieft
Stiel: 2,5 x 0,1 cm, längsfaserig, zur Basis hin dunkler werdend
Lamellen: breit angewachsen, je 3 Zwischenlamellen
Schneiden: flockig
Geruch: unbedeutend
Der Hut war nicht klebrig und ich konnte auch keine klebig/gelatinöse Schicht abziehen.
Bei den Sporen bin ich dann schon am zweifeln - sind die dich oder nur fast dichwandig? Rhombisch oder nicht rhombisch?
Gemessen in Wasser: 6.9 × 4.5 µm ; Qe = 1.5; N = 30
(6.3) 6.5 - 7.2 (7.7) × (4.2) 4.3 - 4.77 (4.8) µm; Q = (1.4) 1.43 - 1.6
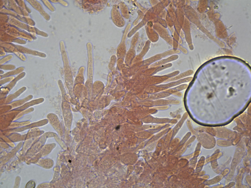
Basidien sind 4 sporig und die Cheilos utriform mit langem dünnen Hals.
Stimmt die Gattung Deconica?
Wenn ja, was könnte es sein?
Gruß Nosozia
