Unbekanntes auf Pferdedung

Es gibt 6 Antworten in diesem Thema, welches 2.480 mal aufgerufen wurde. Der letzte Beitrag () ist von Heidrun.

  • Liebe Dungpilzfreunde,

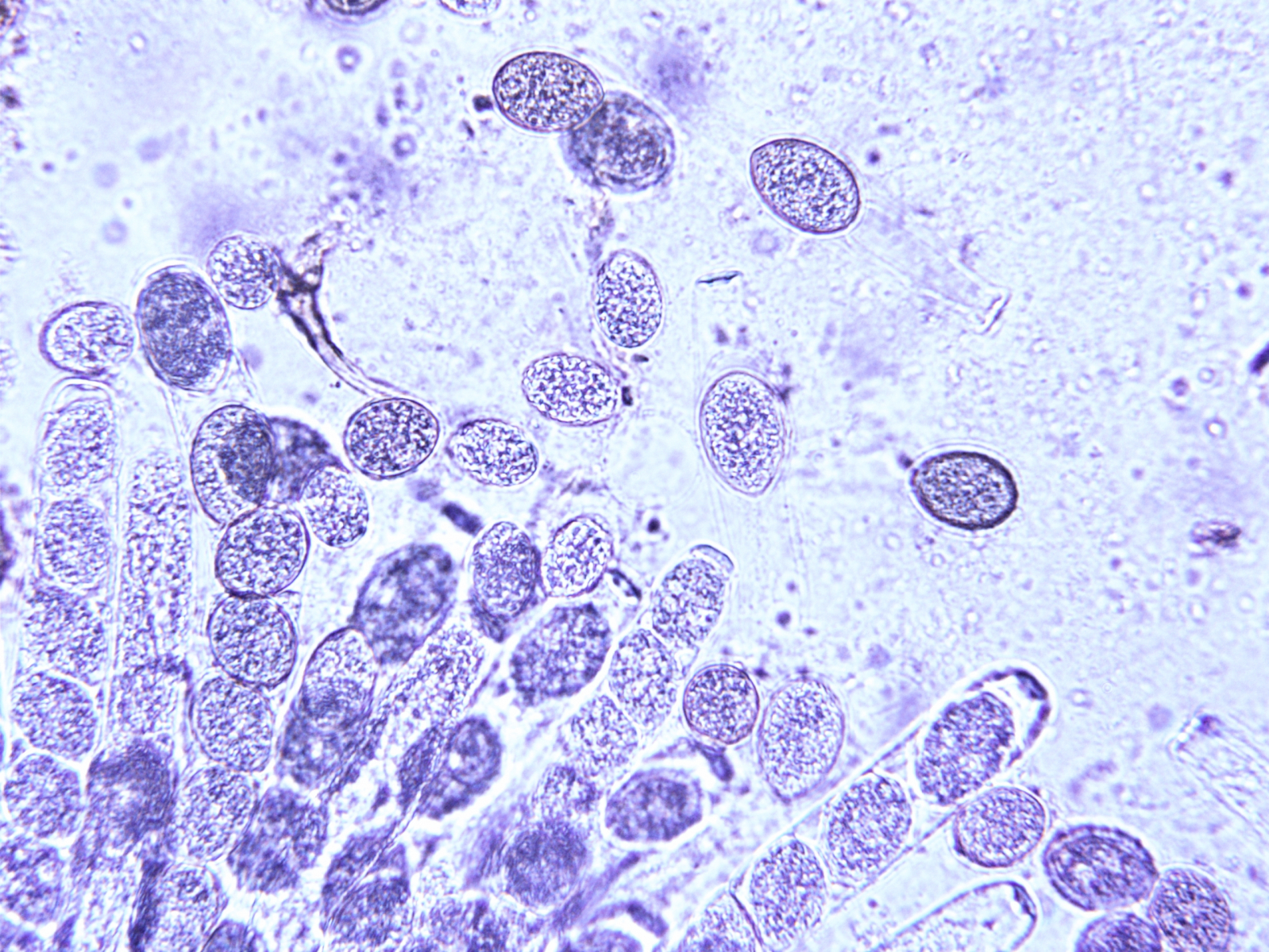
    Ich habe auf Pferdedung mir unbekannte, schwarze Pilzchen gefunden. Möglicherweise sind es auch zwei Arten der selben Gattung

    Bei den ersten sind die Sporen rundlicher. Maße 16,44 x 12,15 / 15,97x 11,66/ 19,27 x 13,11. Aber auch sehr große sind dabeimit 24 x,5 x 17,46 / 24,06 x 17,27 / 24,06 x15,88 (alles µm)


    Bilder zum ersten Fund:





    Das zweite sieht genauo aus, aber die Sporen sind anders (schmaler) 18,16 x 10.47 / 18,37 x 9,64 (µm).




    Ich hab so etwas noch nie gefunden, denke aber, dass mir sicher jemand helfen kann.

    viele Grüße

    Heidrun

  • Servus Heidrun,

    Vorausgesetzt dass das Perithecien auf deinen Makrobildern sind,
    sieht Beides für mich nach unreifen Sordaria´s spec. aus.

    Vergleiche da mal die Arten


    Hast du evtl. auch reife/ braunschwarze Sporen mit Schleimhülle gesehen ?


    Grüße

    Felli

  • Hallo Felli,

    Danke für Deine Hinweise

    braune Sporen habe ich nicht gesehen. Aber das kann ja noch werden. Das Zeug ist in einer feuchten Schachtel. Bei meinen Mikobildern ist auch die Farbe nicht so, wie sie in natura ist. Das liegt an der Kamera. Ich werde mir das auch noch in meinem alten LG anschauen. Zum Vergleichen brauche ich einen Schlüssel, da muss mal schauen, ob in meinelm Sammelsurium was dabei ist.

    Auf meinen Makrobildern ist das Zeug, was ich untersucht habe.

    Viele Grüße

    Heidrun

  • Hallo Heidrun,


    Sordaria, wie Felli schon schrieb. Noch unausgereift.

    Nr. 1 mit den großen und breiten Sporen und einer nur sehr dünnen Gelhülle ist vermutlich Sordaris humana.

    Nr. 2 der Sporengröße und der breiten Gelhülle nuch zu urteilen evtl. Sordaria fimicola.


    Ich hänge mal den "Lundqvist-Schlüssel" an, mit dem man unsere heimischen Arten an Dung gut bestimmen kann.

    Außerdem noch eine Übersicht der Sporen.

    Sordaria, Schlüssel und Sporen_Lundqvist, 1972.pdf


    Liebe Grüße

    Nobi

    Hier geht es zu meinen Themen.

    -------------------------------------------------------------------------------------------------------------------------------------------------------------------------------------------------------

    Chips: 72

  • Hallo Nobi,

    ich werde das in der Schachtel lassen und mal sehen, ob es noch reift. Dann melde ich mich noch mal.

    Vielen Dank für den Schlüssel!
    Eine Frage noch: Gibt es etwas, womit man beim Mikroskopieren die Gelschicht besser sieht? Ich habe das in Wasser gemacht und bei Fund 1 noch mal in Kongrot. Das hat aber meiner Meinung nach nicht viel gebracht.

    Viele Grüße

    Heidrun

  • Versuch's mal mit Schwarzer Tusche.

    Einen Tropfen auf den Objektträger und darin direkt mikroskopieren.

    Die Gelhülle färbt sich nicht bis wenig, und ist durch diese Negativ-Reaktion gut zu erkennen.


    Das funktioniert übrigens bei nahezu allen Arten mit Gelhülle oder gelatinösen Anhängseln.

    Also, ein Gläschen Tusche sollte man immer parat haben, wenn man Sordariales mikroskopiert.


    Liebe Grüße

    Nobi

    Hier geht es zu meinen Themen.

    -------------------------------------------------------------------------------------------------------------------------------------------------------------------------------------------------------

    Chips: 72