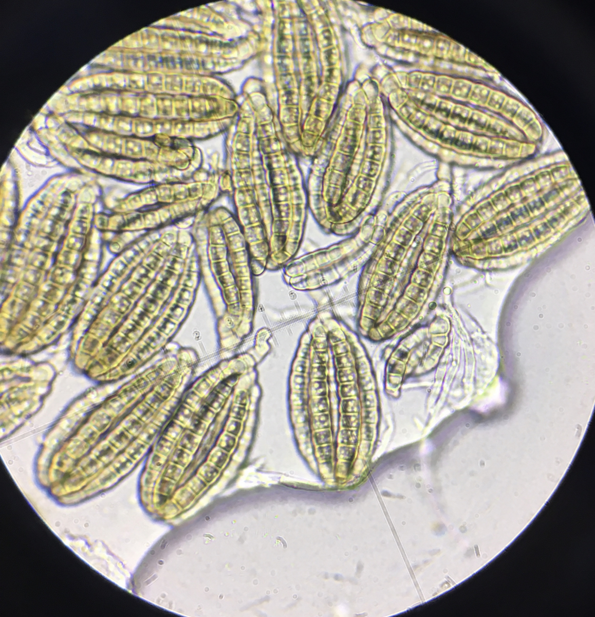
Also ich weiß gar nicht, wo ich hier anfangen soll. Auf sieben Wochen altem Hirschdung von außerhalb New York. Die Perithecien sind so 0.3mm breit und grau. Die Sporen sind 10 bis 11 zellig, und 45µm x 5µm, Asci vielleicht 60µm. Sieht ein bißchen aus wie Sporormia aber es paßt nichts. Ist es etwas ganz anderes?
Zehn-zelliges Rätsel -> Dictyosporium elegans
- sigridj
- Erledigt
Es gibt 5 Antworten in diesem Thema, welches 1.771 mal aufgerufen wurde. Der letzte Beitrag () ist von sigridj.
-
-
Servus Sigridj
Ich denke das ist was ganz Anderes.
Bist du dir eigentlich ganz sicher dass das Asci sind?
Im ersten Mikrobild unten rechts sieht es so aus, als wenn die Sporen so aus einer Hyphe entstehen.
Dann wären das alles verzweigte Einzelsporen?
Teste das ganze mal mit Lugol, um zu sehen ob da eine "Ascushülle" vorhanden ist
Also was es ist/sein könnte, fällt mir im Moment auch noch nicht ein
Grüße
Felli
-
Hallo Sigrid,
für mich sieht das nach Konidiosporen aus.
Solche, wie von Dir gezeigt, werden u.a. in der Gattung Dictyosporium gebildet.
Den Maßen und der Vielzelligkeit nach käme D. elegans ganz gut hin. Eigentlich ein Besiedler faulender Gräser, aber es kommt ja bei Herbivoren oft vor, dass solche "untypischen" Arten auf deren Dung gefunden werden.
Zum Vergleichen zwei Arbeiten zur Gattung.
"A revision of the genus Dictyosporium" und eine neuere Arbeit mit einigen weiteren Species. (Hier zum DL noch den PDF-Button anklicken).
Vielleicht hilft es Dir weiter.
Liebe Grüße,
Nobi
-
Ja danke! Da wäre ich in tausend Jahren nicht drauf gekommen. Ich werde mich gleich einmal in die Materie einlesen. Ich bin sehr dankbar, Deine Expertise in diesen Sachen zu bekommen. Mit normalen Mitteln kommt man in diesen Sonderfällen nicht weit.
-
-
Schöne Zeichnungen. Also ich finde, (c) sieht schon sehr ähnlich aus.
-
sigridj
Hat den Titel des Themas von „Zehn-zelliges Rätsel“ zu „Zehn-zelliges Rätsel -> Dictyosporium elegans“ geändert.
