Hallo zusammen,
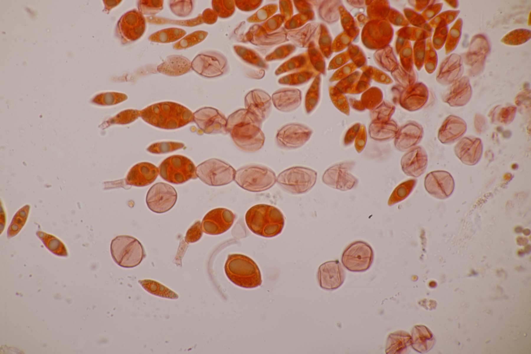
vor ein paar Tagen hatte Ralf G. auf Facebook kleine, weiße Glibberpunkte auf einem Holzstückchen präsentiert, die er in Viersen auf der Süchtelner Höhe gefunden hatte und bei denen er im Mikroskop nur Sporen über Sporen gesehen hat. Ich hatte ihm angeboten, daß er mir das gute Stück gerne mal übergeben kann, was er dann auch bei der gemeinsamen Exkursion in Mönchengladbach am Sonntag tat. Mit dem Mikroskop zeigte sich dann schnell, daß er hier (mal wieder) einen absoluten Glücksgriff getätigt hat, denn es handelt sich um Sirobasidium albidum, einen Heterobasidiomyceten, bei dem die runden Basidien in Ketten gebildet werden, was unterm Mikro sehr hübsch aussieht. Dazu kommt noch, daß der Pilz bis jetzt in Deutschland erst dreimal nachgewiesen wurde. Das ist aber nicht verwunderlich, weil so kleine Pilze, die bei Trockenheit bis zu Unkenntlichkeit zusammenschrumpeln natürlich schnell übersehen sind.
Jetzt aber genug der Worte und ein paar Fotos des tollen Fundes:
Björn
