Schluchtenscheiße

Es gibt 9 Antworten in diesem Thema, welches 9.147 mal aufgerufen wurde. Der letzte Beitrag () ist von boccaccio.

  • Hallo zusammen,


    ich war ja vor kurzem in den italienischen Alpen unterwegs und habe da neben zahlreichen Flechten auch zwei Dungproben mitgenommen, die ich jetzt in die feuchte Kammer gegeben habe. Auf der ersten Probe zeigten sich heute auch schon die ersten Pilze.


    Hier erstmal die Losung. Um welches Tier mag es sich handeln? Hirsch? Wildschwein?


    Und hier die Besiedlung


    Pilz Nummer 1 hatte lange, spitze Stacheln

    Sporen hatte er auch, aber seine Schläuche wollte er mir nicht zeigen


    Pilz Nummer 2


    Mit Lugol gab es keine Blaureaktion der Asci, aber die Sporen färbten sich hübsch orange-braun


    Björn

  • Hallo Björn,


    Substrat ist Losung vom Wildschwein. Das war jetzt relativ einfach zu bestimmen.;)

    Schwierig wird es mit den Arten.

    Möglicherweise ist das erste Trichobolus zukallii.

    Asci sieht man nur selten, da die Art nur einen hat und dieser beim Präparieren oft zerquetscht wird.

    Makroskopisch weist einiges in diese Richtung.


    Die zweite Art könnte Trichobolus dextrinoideosetosus sein.

    Oder auch ein Lasiobolus.

    Für eine verlässliche Aussage sind die Haareigenschaften wichtig.

    Septiert oder unseptiert?

    Wie schaut die Basalzelle aus, wie breit sind die Setae?

    Und natürlich braucht es auch Sporen- und Ascimaße, sowie die Anzahl der Sporen pro Ascus.


    Vielleicht kannst Du ja noch ein paar Angaben nachliefern.


    Liebe Grüße vom Nobi

    Hier geht es zu meinen Themen.

    -------------------------------------------------------------------------------------------------------------------------------------------------------------------------------------------------------

    Chips: 72

  • Hallo Nobi,


    ich hatte meine Funde auch bei Facebook gepostet und da hatte Ralf den ersten ebenfalls als T. zukalii identifiziert. Was den zweiten Pilz angeht, hab ich gerade noch ein Exemplar unters Mikroskop gelegt. Haare oder Setae habe ich dabei nicht entdeckt. Die fadenförmigen Gebilde sehen für mich eher nach Paraphysen aus und sind septiert.


    Asci sind gute 100 µm lang. Sporengröße (17.0+-0.7) µm x (11.3+-0.6) µm


    Das war nur eine Hyphe, wie sich bei weiterer Verfolgung im Mikroskop rausstellte.


    Björn

  • Hallo zusammen,


    und weiter geht es mit den Kackpilzen. Heute habe ich meinen allerersten Ascobolus gefunden. Die Sporen sind gigantisch groß, 59.5 µm x 39.0 µm. Damit bleibt dann nur Ascobolus immersus übrig. So macht das Bestimmen Spaß ;)



    Björn

  • Haare oder Setae habe ich dabei nicht entdeckt. Die fadenförmigen Gebilde sehen für mich eher nach Paraphysen aus und sind septiert.

    Asci sind gute 100 µm lang. Sporengröße (17.0+-0.7) µm x (11.3+-0.6) µm

    Um die Art sicher zu bestimmen, fehlen zuviele Details.

    Trichobolus dextrinoideosetosusist meiner Meinung nach immer noch die beste Option.

    Die Asci und Sporen sind jedenfalls typisch.


    Ascobolus immersus ist natürlich eindeutig!:thumbup:


    LG, Nobi

    Hier geht es zu meinen Themen.

    -------------------------------------------------------------------------------------------------------------------------------------------------------------------------------------------------------

    Chips: 72

  • Hallo Nobi,


    da werden ja hoffentlich noch ein paar Fruchtkörper mehr kommen. Ich werde einfach regelmäßig reinschauen und Dinge unters Mikroskop werfen. Mal sehen, ob wir T. dextrinoideosetosus (wer denkt sich solche Namen aus?) dann noch bestätigen können.


    Björn

  • Hallo zusammen,


    es geht weiter auf den Wildschweinkötteln. Der erste sollte jetzt ein sicherer Trichobolus zukalii sein.


    Nummer 2 sieht mir nach einem Saccobolus aus. Aber da wird es für mich dann schwierig. Wie messe ich bei diesem Konglomerat z.B. gescheit Sporengrößen?


    Björn

  • Mal sehen, ob wir T. dextrinoideosetosus (wer denkt sich solche Namen aus?) dann noch bestätigen können.

    Francesco Doveri war der "Übeltäter", Björn.

    Wobei Peter und ich einst für eine 14-zellige Sporormiella einen ebenso blöden Namen gewählt haben.

    Sporormiella quattuordecimcellularis.:D

    Nummer 2 sieht mir nach einem Saccobolus aus. Aber da wird es für mich dann schwierig. Wie messe ich bei diesem Konglomerat z.B. gescheit Sporengrößen?

    Am besten so.



    Wichtig ist natürlich auch die Größe der Sporenbündel.

    Substrat und warzige Sporenoberfläche lassen an S. verrucisporus oder beckii denken.


    Liebe Grüße vom Nobi


    Ach ja, Trichobolus zukalii sollte stimmen, allerdings wegen T. sphaerosporus immer l/b im Auge behalten!

    Hier geht es zu meinen Themen.

    -------------------------------------------------------------------------------------------------------------------------------------------------------------------------------------------------------

    Chips: 72

  • Hallo zusammen,


    auch heute habe ich mal wieder ein paar Pilzchen von meinen Kötteln abgeerntet.


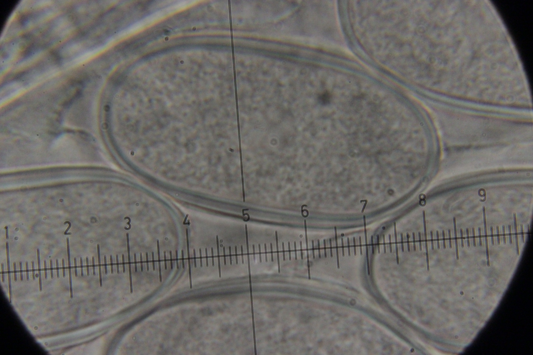
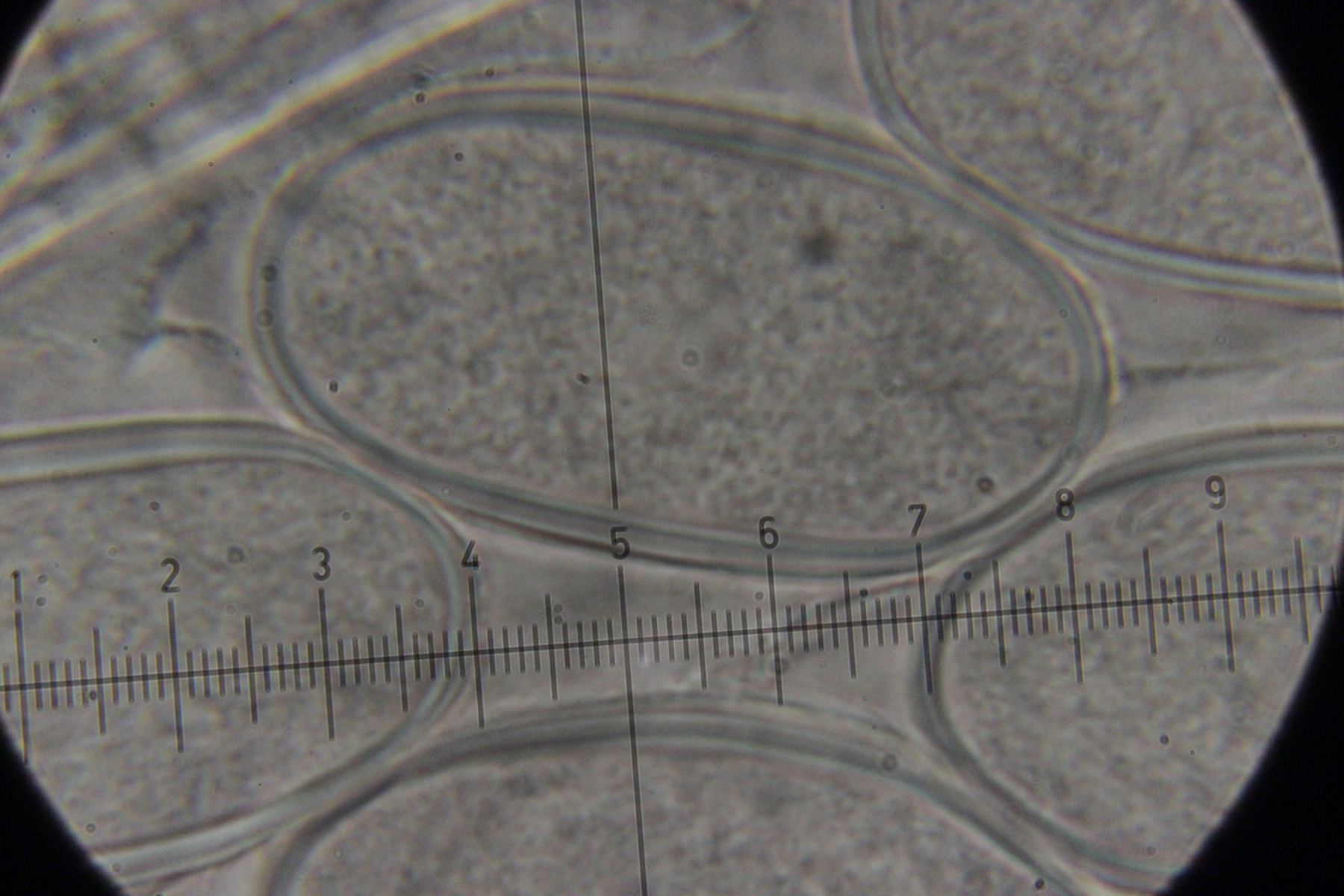
    Der erste Fund könnte in Richtung T. d. gehen. Die Setae färben mit Lugol ganz leicht gelb-orange. Reicht das schon? Außerdem waren bei einem Haar zwei Septen erkennbar. Sporengröße ist (16.3+-0.5) µm x (11.5+-0.3) µm.

    Setae?!?

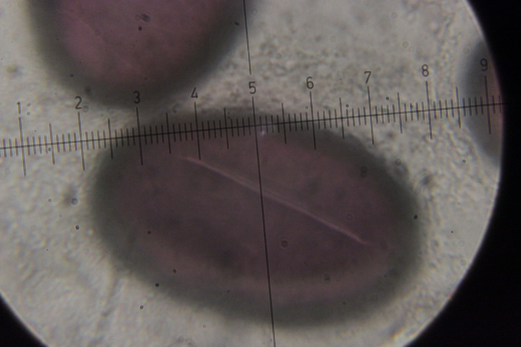
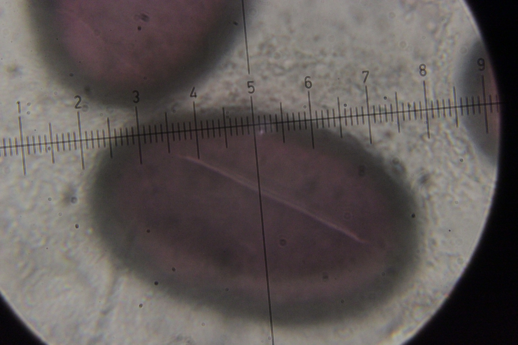
    Mit Lugol


    Das sollte Trichobolus zukalii sein. Sporengröße (10.7+-0.7) µm x (9.3+-0.4) µm, Q=1.15+-0.04


    Und ein Saccobolus. Wahrscheinlich der gleiche wie letztens. Paraphysen sind rein weiß. Sporengröße (16.4+-0.7) µm x (8.2+-0.4) µm, Clustergröße 40 µm x 15 µm.


    Björn