Hallo liebe Dungi-Gemeinde!
Ich suche nach einer Gattung.
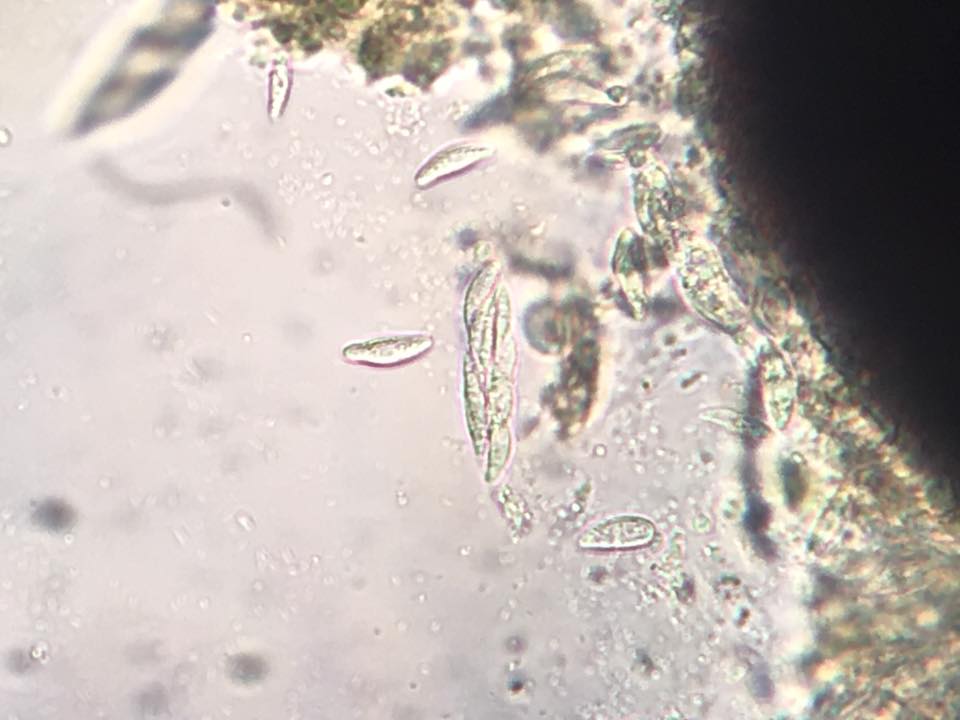
Ich habe diesen unscheinbaren Pilz auf einem Rehköttel gefunden. Auffällig ist das recht lange Ostiolum. Habe ihn mal als Grobe Zeichnung mit drangehangen.
Sporengröße 15-18 x 5 µm
Bin für jeden Hinweis Dankbar ![]()
