In doppelter Hinsicht eine verzwickte Angelegenheit.
Substrat ist Mauslosung.
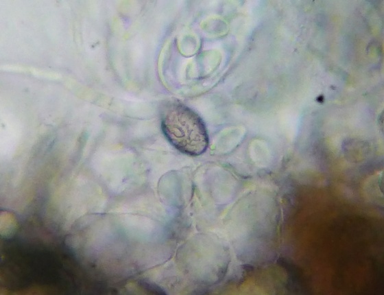
Irgendwer frisst mir die Fruchtschicht weg, kurz bevor die Sporen reif sind. ![]()
Jetzt hab ich nach Tagen wenigstens ein Exmplar mit wenigen reifen Sporen gefunden.
Erste Hürde gemeistert.:)
Aber was zum Teufel ist das ? Zweite Hürde.
Die Lösung fand ich dann in einer Veröffentlichung von zwei bekannten Dungfightern:
Beiträge zur Kenntnis coprophiler Pilze / Peter Welt und Norbert Heine/ Zeitschrift für Mykologie 73/2 2007
Ascobolus rhytidosporus
Wer auch sonst sollte sowas schönes und abgefahrenes aus Deutschland beschrieben haben.:)
Auffallend sind die mächtigen Paraphysenköpfe. Interessant die Reaktion auf Lugol. Ein Teil der Paraphysen und Asci verfärbt sich wie gewohnt gelb-orange, andere Blau bis dunkelviolett, fast schwarz.
Möglicherweise abhängig vom Reifegrad.
Bessere Sporenfotos kann ich leider mangels Masse nicht liefern, Aber vielleicht ist der Mitesser ja satt, bevor er die letzten Exempalre ausgeweidet hat.:D Dann liefere ich nach.
