Hallo Ditte,
danke sehr für Deine Einschätzung, der Fund wird dann wohl einmal mehr ein Fall für eine Sequenzierung. Auf die geophylla-Gruppe wäre ich nicht gekommen, eben wegen dieser sehr kurzen Sporen.
Viele Grüße
Matthias
Hallo Ditte,
danke sehr für Deine Einschätzung, der Fund wird dann wohl einmal mehr ein Fall für eine Sequenzierung. Auf die geophylla-Gruppe wäre ich nicht gekommen, eben wegen dieser sehr kurzen Sporen.
Viele Grüße
Matthias
Hallo zusammen und natürlich hallo Ditte
,
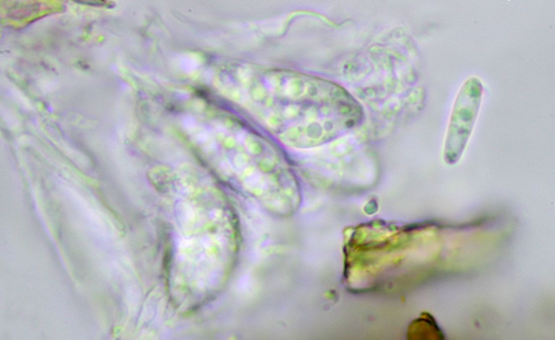
vor einigen Tagen hab ich zusammen mit Dieter einen Risspilz gefunden, bei dem mir eine Bestimmung nicht
gelingen will, darum frage ich mal nach.
Gewachsen im Nadelwald auf Kalk, unter Tanne, Fichte und Kiefer. Weit weg noch Buchen, aber die würde ich
als Mykorrhizapartner ausschließen.
2,8-3,6 cm Hutdurchmesser, 4,5-9 cm Gesamtlänge, Stiele sind sehr lang, da teils in recht hohem Moos
wachsend, bis 9 cm Gesamtlänge. Stiel 4-5 mm breit, an der Basis etwas verdickt, aber nicht wirklich
deutlich knollig, Fleisch im Schnitt überall weißlich.
Geruch typisch spermatisch.
Sporen glatt, kurz und oft recht bauchig-breit:
(6.8) 7.1 - 8.3 (8.4) × (4.3) 4.6 - 5.2 (5.5) µm
Q = (1.4) 1.5 - 1.6 (1.7) ; N = 35
Me = 7.6 × 4.9 µm ; Qe = 1.6
Cheilo- und Pleurozystiden siehe Bilder.
Maße der Cheilozystiden:
(39,3) 40.2 - 52.8 (57.2) × (11.5) 12 - 18.7 (22.3) µm
Q = (2.4) 2.6 - 3.7 (4.5) ; N = 26
Me = 46.2 × 15.5 µm ; Qe = 3
Kaulozystiden nur ca. im oberen Drittel, in der Mitte bereits keine mehr zu sehen, nur noch fädige Hyphen, aber keine metuoliden Zystiden mehr.
Makroskopie:
Schnitt:
Sporen:
Cheilos:
Pleuros:
Kaulos, die Bilderserie beginnt mit denen ganz oben am Stiel, dann geht es immer weiter runter:
Zur Bestimmung hab ich keine wirkliche Idee, leochroma und was farblich noch hinkäme in dem Umfeld hätte
ja alleine schon ganz mit Kaulozystiden besetzte Stiele und andere wie queletii schon viel größere Sporen.
Vielleicht lässt sich ja was dazu sagen.
Danke im Voraus fürs Drüberschauen,
Matthias
Hallo Matthaeus,
hab grad zufällig das Thema hier gesehen, ich kann dazu nur sagen, dass ich den Fund wegen der deutlich gelben Sporen als P. kleinii abgelegt hätte. Der ist aber morphologisch sehr variabel und es müssten erst noch konsequente Schlüsse gezogen werden, welche morphologischen Merkmale hier zu den genetisch unterscheidbaren Sippen gehören. Ich denke, dass das künftig ein paar mehr Arten werden könnten, gerade bei dem, was alles gelbe Sporen hat. Ich hab mal einen Fund gehabt mit ungefähr den Sporengrößen von der Länge her, die Du angibst, aber deutlich blasser gelb und breitelliptischer, der ist auch schwer einzuordnen.
Solche Wabenstrukturen auf der Kapsel wären mir noch nicht aufgefallen, ein Schnellcheck meiner Bilder ergibt, dass ich auch sowas nicht auf einem Foto habe. Ob das dann von taxonomischer Relevanz ist, dazu kann ich nix sagen.
Die Skala stimmt dann in den Teilbildern im vierten Bild nicht ganz, bzw. 1 Strich ist da nicht genau 1 µm, oder? Weil sonst wären die Sporen auf den Fotos länger.
Viele Grüße
Matthias
PS: Wenn sich mal jemand, von dem Du gerne eine Antwort hättest nicht meldet, kannst Du im Forum auch mit @-Zeichen plus Nutzernamen (z.B. Mreul(✝)) jemanden erwähnen, dann bekommt derjenige eine Mitteilung, sodass man Beiträge nicht übersieht, was bei der aktuellen Masse schnell passiert.
Hi,
das ist entweder eine Orbilia oder eine Hyalorbilia. Ich tendiere zu letzterer, wobei man aber vitale Sporen in Wasser bzw. deren Inhalte sehen müsste, um das sicher zu sagen. Jedenfalls wäre das das leichteste Unterscheidungsmerkmal und für eine Artbestimmung so oder so ein entscheidendes Merkmal.
Bei Hyalorbilia gibt es ein paar Arten, die gern an Porlingen wachsen, das könnte durchaus eine davon sein.
Viele Grüße
Matthias
Hallo Thomas flaemmli, hallo Nobi,
inzwischen ist die Probe bei mir gelandet, Nobi hatte sie mir geschickt, um zu sehen, ob sich die Ornamente der Sporen vielleicht doch lichtmikroskopisch darstellen lassen. Es geht, wenn auch natürlich an der Auflösungsgrenze.
Asci hatte ich kaum noch lebendige, daher sind meine Maße dazu etwas kleiner.
Da der Fund ja was sehr seltenes ist, hab ich ein paar mehr Bilder gemacht als nur von den Sporen. Hier meine Ergebnisse:
Die Fruchtkörper sind nach wie vor recht vital am Ziegendung:
Hier einige Asci, die aber nicht mehr vital sind:
Hier einer meiner Versuche, das Ornament darzustellen:
Hier noch eine Zusammenstellung aller erfassten Merkmale.
Da die Sporen ja schon kleiner als bei der Originalbeschreibung aus Indien sind, würde es mich nicht wundern, wenn das am Ende auch eine sehr nahestehende, aber dennoch von F. indica verschiedene Art ist, die hier aufgetaucht ist.
Viele Grüße
Matthias
Hallo Marco,
das ist eine Flechte aus der Gattung Solorina, ich hab grad nicht alle Arten im Kopf, Solorina spongiosa kommt spontan gut hin, vgl. z.B. hier:
Egal welche Art der Gattung es ist, die sind alle ziemlich bis sehr selten, insofern ein sehr schöner Fund und ebenso schöne Fotos!
Viele Grüße
Matthias
Hallo Nobi,
danke sehr fürs Zeigen, da wären für mich auch ein paar Erstfunde dabei gewesen. Von der Pseudombrophila hab ich noch gar nichts gehört bisher.
Beim Pilobolus würd ich auf kleinii wetten, weil die Sporenkapsel nur in der Mitte aufsitzt, aber bleibt natürlich so dennoch halbwegs geraten. Die Sporenkapsel zu finden dürfte sicherlich eher schwierig werden. ![]()
Aber vielleicht tauchen ja nochmal Pillenwerfer auf.
Bei Sporormiella heptamera frag ich mich langsam, ob es die auch in reif gibt, ich seh sowas immer nur unreif, ich hab die mehrfach geschickt bekommen, nur mehr als leicht hellbraun wurden die Sporen nie, lieber sind die Fruchtkörper eingegangen.
Viele Grüße
Matthias
Hallo Sebastian,
Orbilia xanthostigma passt, in meiner Datenbank übrigens die zweithäufigste Orbilia-Art (nach eucalypti agg). In sich ist das noch ein Artenkomplex, insb. bei weltweiter Betrachtung. Laut Monografie hat Zotto da auch noch einen Artikel dazu in Vorbereitung. Zum Artenkomplex xanthostigma-leucostigma gibt es in der Monografie eine sehr ausführliche Beschreibung und Diskussion.
Viele Grüße
Matthias
Hi,
da stimme ich zu, ganz klar Mycena. Die galericulata kann man ausschließen, auf Bild 6 sind klar rötliche Lamellenschneiden zu erkennen, was die Auswahl an Arten schon mal deutlich einschränkt. Allerdings wäre der Fund für keine der Arten besonders typisch, d.h. zur Sicherheit wäre das Mikroskop hier für eine finale Bestimmung empfehlenswert.
Ich denke es könnte eine Mycena rubromarginata sein, die makroskopisch recht ungewöhnlich daherkommt mit langem, stämmigem Stiel, was für die sonst eher kurzstielige Art atypisch, aber nicht unmöglich ist. Andere Arten wie sanguinolenta, capillaripes, purpureofusca, etc. würde ich hier farblich nicht sehen. Letztere käme von der Statur aber zumindest auch hin, wäre aber dann atypisch gefärbt. Was besseres fällt mir grad nicht ein.
So von oben hätte ich eher leptocephala oder silvae-nigrae getippt, die sind aber durch die Schneiden ausgeschlossen.
Viele Grüße
Matthias
Hallo Andy,
ich würde hier eine Art aus dem Artenkomplex um M. olivaceocinerea sehen. Wie und ob man die einzelnen Arten innerhalb des Komplexes morphologisch ausschlüsseln kann, ist nicht wirklich klar. Die M. cinerea s.str. so wie sie Ingo auch in seinem Schlüssel führt, ist eine Art mit OCI (Oil Content Index) 0, also so gut wie oder gar keinen Öltröpfchen in den Sporen. Deine Fotos zeigen besonders bei den Sporen in den Asci deutliche Ansammlungen kleiner Tröpfchen in den Polregionen, was für olivaceocinerea agg spricht, auch ist das schlicht eine der häufigsten (Sammel)Arten von Mollisien an Holz. Auch die Sporengröße passt gut, ab und an über 10µm, aber in der Regel drunter. Sollte KOH-negativ sein, wenn mein Vorschlag passt.
Die zwei freien Sporen haben auffällig große Tröpfchen, aber die in den Asci sehen doch recht einheitlich aus, sodass ich von Ausnahmen ausgehe.
Viele Grüße
Matthias
Hi Sandra,
es würde mich sehr wundern, wenn es Triblidiopsis bei Euch nicht gäbe. Die ist hier recht verbreitet, aber fehlt auch streckenweise, daher am besten nicht gleich aufgeben, wenn es nicht sofort klappt, verschiedene Gebiete können sich lohnen anzusehen.
Wünsche viel Erfolg bei der Suche!
Viele Grüße
Matthias
Hallo Andy,
gerne - ja, die Auflicht-Aufnahmen sind alle gestackt, meist zwischen 7 und 30 Einzelbilder. Ohne bekommt man es unmöglich so hin.
Eine Stereolupe nutze ich dafür nicht, die Fotos entstehen alle am Mikroskop (Zeiss Axio Lab A1) und einer Canon-EOS-Kamera, die ich mit einem speziell dafür vorgesehenen Adapter von Zeiss am dritten Okular des Mikros anschrauben kann. Ich kann also mit dem gleichen Aufbau Auflicht- und Durchlichtfotos machen. Für die Beleuchtung der Auflichtmotive nutze ich zusätzlich 1-2 Schreibtisch-LED-Lampen, je nachdem wie gleichmäßig die Ausleuchtung sein soll. Da reichen ganz einfache, man muss nur den Weißabgleich der Kamera mal drauf einstellen.
Viele Grüße
Matthias
Hallo Chris, hallo Nobi,
danke für Eure Rückmeldungen - habe soeben noch ein Thema zu Triblidiopsis und Triblidium eingestellt.
Wenn so viele Gattungen und Arten noch gar nicht bekannt sind, werd ich wohl auch mal die häufigeren noch ausführlicher vorstellen. Hysterium pulicare, Durella connivens, Capronia pilosella und Cryptodiscus foveolaris gehören zu den häufigsten Pilzen, die ich finde. Wobei ich natürlich gezielt an solchen Spezialstandorten wie exponiertem, ansitzenden Totholz suche.
Viele Grüße
Matthias
Hall Kleinpilz-Begeisterte,
die meisten werden sich unter den Namen des Titels wahrscheinlich nichts vorstellen können, das versuche ich mit diesem Beitrag mal zu ändern.
Trotz der Namensähnlichkeit sind die beiden Gattungen Triblidium und Triblidiopsis / auch Tryblidiopsis geschrieben) nicht allzu nahe verwandt, wobei da auch noch nicht alles geklärt ist.
Beide Arten wachsen an "xerischem" Substrat, also an exponierten Trockenstandorten, die regelmäßig austrocknen. Der Fruchtkörperaufbau ist bei beiden ähnlich, sie haben eine lederige Außenhaut, die bei Reife aufplatzt und das eigentliche Hymenium freilegt (ähnlich z.B. Rhytisma, Colpoma, etc.). Durch die auffallenden Mikromerkmale, besonders die Sporen, sind beide Arten mikroskopisch leicht bestimmbar, makroskopisch wegen Unscheinbarkeit aber recht schwer gezielt zu entdecken.
Triblidiopsis pinastri wächst (trotz des Namens pinastri) an Fichtenästen und ist mit Fruchtkörpern bis zu 1,5 (2) mm Größe recht groß für die Liga der Kleinpilze. In fichtendominierten Gebieten sicher nicht selten, jedoch fehlt sie auch bei gezielter Suche in manchen Fichtenforsten offenbar. Andererseits habe ich unweit meines Wohnorts ein Massenvorkommen davon, von dem auch die Bilder stammen.
Gezielt suchen sollte man die Art an frei hängenden Ästen, ich finde sie meistens in etwa 1,2-1,5 m Höhe.
Triblidium caliciiforme ist etwa auch so groß, aber ein Laubholzbesiedler. Hier fand ich sie trocken in geschlossenem Zustand am Stamm einer alten Eiche mit stark zerklüfteter Rinde. An solchen Standorten kann man auch viele seltene Flechten entdecken. Triblidium scheint auch tatsächlich ziemlich selten, nicht nur wegen mangelnder Nachsuche. Insofern wäre jeder Fund natürlich interessant. DIe mauerförmigen Sporen erinnern an Pleospora, sind aber auch vollreif farblos und haben anstelle vieler Septen eine Art innere Kammerung mit dicken Wänden außen.
Viele Grüße
Matthias
Hallo Mikropilz-Fans,
nachfolgend möchte ich ein paar selten gezeigte Arten aus der Gattung Orbilia (Knopfbecherchen) vorstellen, von denen es kaum Dokumentationen im Netz gibt, was sicherlich an deren Kleinheit, relativen Seltenheit, speziellen Standorten und auch daran liegt, dass viele der Arten erst in Zottos Monografie 2020 beschrieben wurden.
https://ps.mnhn.lu/pub/Baral_et_al_2020_Monograph_Orbiliomycetes_Part_I.pdf
https://ps.mnhn.lu/pub/Baral_et_al_2020_Monograph_Orbiliomycetes_Part_II.pdf
3 der 4 Arten, die ich zeige, wurden von Torsten Richter gefunden, ich hab die Proben dann zur fotografischen Dokumantation erhalten, ein Fund stammt aus meinem eigenen Garten.
Orbilia cardui
Dies dürfte die häufigste der hier vorgestellten Arten sein, wächst gerne an allen möglichen Krautstängeln, ich hatte sie schon an Brennnessel, Springkraut und hier an Goldrute (Solidago).
O. cardui hat recht kleine Sporen mit einem rundlichen SB (Spore Body), der mit einem winzgen Kanal mit der Sporenspitze verbunden ist. Dazu kommen Exsudatkappen an den Marginalzellen.
Hier ist bei der dritten Spore von links in der unteren Reihe eine Besonderheit zu erkennen: Normalerweise sitzen die SBs im oberen, breiteren, gerundeten Teil der Sporen, hier hat sich einer in den unteren, schmaleren Teil der Spore "verirrt". Sowas passiert, ist aber sehr selten zu beobachten, Zotto beschreibt dieses Phänomen auch in seiner Monographie. Das ist aber keineswegs bestimmungsrelevant, dennoch interessant zu sehen.
Orbilia ungulata
(2 Standortfotos von Torsten)
Wieder an Solidago, auch diese Art wächst an allen möglichen Krautstängeln. Auch diese Art hat ziemlich kleine Sporen, aber völlig anders geformte SBs als z.B. cardui. Typisch ist neben den Sporen mit ihren SBs auch das Vorhandensein von SCBs (Soluble cytoplasmic bodies, das sind die rundlichen bis unregelmäßig strich- und quaderförmigen Zellkörper, die man in den Zellen des Excipulums hier häufig sieht; in KOH lösen sie sich auf, daher die Bezeichnung als "soluble"), dies unterscheidet die Art von der von den Sporenmerkmalen ähnlichen O. vitalbae, die aber zudem oft stärker gefärbt ist, etwas größere Mikrostrukturen hat und lieber, aber nicht nur, an Holz wächst.
Orbilia ebuli
Die letzte Art hier an Solidago ist eine sehr selten berichtete. O. ebuli wächst nicht nur, wie der Name vermuten lässt, an Sambucus ebulus, auch wenn sie das auch häufig tut. Leider war die Probe hier makroskopisch nicht mehr top in Schuss, aber die Mikromerkmale waren intakt. Von diesen seltenen Arten lohnt es sich, jeden Fund zu dokumentieren.
Orbilia siculispora
Dies ist nun die Art aus meinem eigenen Garten. Vermutlich ist sie gar nicht so selten, aber wächst als trockenheitsliebende Art an Standorten, die normalerweise kein Pilzsucher gezielt ansieht: Frei hängendes, häufig trockenfallendes, gut durchmorschtes Holz, also z.B. am Baum ansitzende tote Äste, alte Stämme mit viel zerklüfteter Rinde, etc.
Hauptsächlich ist diese Art von Ulmus bekannt, hier an einem in 3 Meter Höhe ansitzenden Ast eines Apfelbaums (Malus domestica), von dem ein Stück bei feuchter Witterung abgebrochen ist, an dem Stück waren die Becherchen durch die dukle Färbung des Holzes mal gut zu erkennen. Makroskopisch denkt man hier nicht sofort an eine Orbilia, es gibt aber durchaus viele Arten, auch einige bei uns, die so aussehen.
Mikroskopisch recht auffällg durch die Sporen mit einem abrupten Knick an der Basis. Das haben aber auch wieder mehrere Arten. Die Paraphysen haben hier viele kleine Guttulen, was die Funde an Ulmus von Zotto et. al nicht hatten. Dagegen hatte eine slowakische Kollektion an Populus ebensolche Paraphysen. Ob das nun ein Hinweis auf mehrere Arten ist oder nicht, müsste genetisch verifiziert werden. Es gibt als auch nach Zottos Mega-Monografie noch genug offene Fragen bei dieser Gattung, auch bei heimischen Arten.
Wer so etwas nachsuchen möchte, am besten bei feuchter Witterung oder unmittelbar nach Regenfällen an sonst eher trockenliegenden Krautstängeln oder gleich an exponiertem Totholz schauen. Die Arten halten Trockenheit recht gut aus, besonders siculispora, aber da gibt es viele weitere, einige hab ich z.B. hier schon mal gezeigt:
Bei Trockenheit selbst kann man auch ganzjährig suchen, aber viele Apothezien von Orbilia werden so klein, dass sie selbst mit Lupe dann schwer auszumachen sind, auffälligere gibt es natürlich auch, auch aus anderen Gattungen, z.B. Patellaria, Durella, Capronia, Exarmidium, Hysterium, Hysteropatella, Pragmopora, Triblidiopsis, Cryptodiscus, Karstenia, Propolis, Melittosporiella, etc.
Ganz zu schweigen von den vielen Anamorphen und Flechten.
Es gibt also immer genug zu finden, zumindest wenn man keine Ansprüche an die Größe der Pilze stellt. ![]()
Viele Grüße
Matthias
Hi Chris,
also mein Wissensstand ist der folgende:
Dibeloniella ramealis gibt es nicht als gültige Kombination, offiziell heißt die Art Mollisia ramealis, wobei Zotto die aber in den Cenangiaceae einordnet. Ob das per Sequenzen schon bestätigt ist, weiß ich nicht, morphologisch würd es mich keineswegs überraschen. Auf die Schnelle fand ich keine öffentlich zugängliche Sequenz in Genbank dazu.
Dibeloniella cintrinella, original beschrieben als Niptera citrinella, könnte m.M.n. gut Synonym sein, auf Ingos Seite ist es auch so aufgeführt, den Hintergrund kenn ich allerdings nicht. Ich hab D. citrinella bei mir gedanklich als Synonym angelegt, die Originaldiagnose ist ja nicht so wahnsinnig ausführlich, aber kommt schon gut hin:
Im Zweifel wissen Zotto und Ingo sicher noch mehr dazu.
Viele Grüße
Matthias
Hallo Chris,
vergleiche mal mit Mollisia/Dibeloniella ramealis:
Viele Grüße
Matthias
Hallo Corinne,
das ist Mycena viridimarginata, die dunklen olivgrünen Farben am Hutrand und Stiel machen die Art schon eindeutig.
Farblich ist die sehr variabel, kann auch mal fast schwärzlich-braun oder viel intensiver grün erscheinen.
Ein weiteres Merkmal für die Art versteckt sich auf Deinem letzten Bild mit den Lamellen: In der Vergrößerung siehst Du insb. oben links und unten rechts einige Lamellen, die besonders zum Hutrand hin eine feine dunkelolive Färbung an der Lamellenschneide zeigen, damit sind abramsii und weitere Arten schnell ausgeschlossen.
Mycena abramsii ist in der Regen auch deutlich heller und nur in Grautönen gefärbt.
Viele Grüße
Matthias
Hallo Ingo,
super - ja, es müssen nicht gleich sumpfige Stellen sein, es reicht ein Nadelbüschel der feucht etwas im Boden steckt, mit Moosen ist es ideal, wobei der Massenaspekt sogar auf einer Lichtung bei mir war, die später im Jahr sicherlich komplett trocken wird und allzu viel Moos war da auch nicht bei jedem Büschel, es muss nur schön feucht sein. Durch die sehr feuchte Witterung bisher dieses Jahr haben sich die Becherchen hier natürlich sehr wohlgefühlt.
Viele Grüße
Matthias
Hallo Felli,
wie Thorben glaube ich hier auch nicht an Fujimyces. Es fehlt auch eine erkennbare Außenwand und die ganze Form der Konidiomata passt nicht wirklich dazu.
Eventuell findet sich bei Linodochium etwas. Ich müsste auch mal meine eigenen Funde von vermeintlichen Fujimyces überarbeiten, ich denke, das wird auch was anderes sein aus heutiger Sicht, nur ganz den Durchblick hab ich bei den Anamorphen mit solchem Aussehen noch nicht, manchmal weichen die Beschreibungen der selben Arten bei anderen Autoren auch ab.
Ich schick gleich noch etwas Literatur als PN, manches ist glaub ich zumindest nicht öffentlich zu finden, anderes schon, z.B. das hier:
Zur Nebenfruchtformen von Pseudohelotium ist auch das interessant, was Zotto in seinem Archiv hat, da sind auch ein paar Literaturschnippsel dabei:
Viele Grüße
Matthias
Hallo Steffen,
in Frage kommen eigentlich nur drei Arten, stipata, silvae-nigrae und leptocephala.
Im Frühjahr wäre silvae-nigrae typisch, aber das büschelige Wachstum und die zugespitzte Hutform sprechen eher für stipata oder leptocephala. Jahreszeitlich dann eher leptocephala, die ich hier favorisieren würde, aber zur Sicherheit schadet es nicht, die Mikromerkmale mal kurz zu checken.
Viele Grüße
Matthias
Hallo Sandra,
ich wäre auch dabei, aber da ich nur eine Stunde und ein paar Minuten Anfahrt habe, würde ich da ohne Übernachtung auskommen und ein oder zweimal spontan vorbeikommen, wann genau können wir ja kurzfristig abstimmen, die drei Tage versuch ich mir mal frei zu halten.
Viele Grüße
Matthias
Hallo zusammen,
dieses Jahr habe ich einmal mehr gezielt an Kiefernnadeln gesucht, um eine Art zu finden, die ich einige Jahre nicht mehr gesehen habe. Das liegt aber sicher nicht an deren Seltenheit, sondern weil ich einfach nicht gezielt danach geschaut habe. Desmazierella acicola ist ein kleines Becherchen mit sehr speziellen Merkmalen, das an Kiefernnadeln wächst und häufig als die berühmte Stecknadel im Heuhaufen gilt, weil sie sehr schwer in einer größeren Menge liegender Nadeln auszumachen ist.
Nach meiner Erfahrung lohnt es sich am ehesten, wenn man am Boden liegende Äste mit noch ansitzenden Nadelbüscheln anschaut. Die Büschel sollten Bodenkontakt haben und an der Unterseite eine gute Zeit lang feucht liegen, sodass die Nadeln optimalerweise etwas geschwärzt daherkommen.
Solche Standorte können z.B. so aussehen, hier der Standort an dem ich dieses Jahr wohl auf einmal etliche Male mehr Exemplare fand als ich in meinem Leben vorher insgesamt gesehen habe:
Die Nadeln sind an diesen Büscheln fest in der Streu steckend, daher auch dauerhaft feucht, obwohl dieser Ast hier sogar auf einer Lichtung in der Sonne lag. Wenn man genau hinsieht, sind etliche Exemplare der Desmazierella zu erkennen:
Etwas näher betrachtet kommt man mit dem Zählen der Exemplare nicht nach, es waren sicherlich Hunderte, bei gezieltem Ausgraben aller Äste sicher Tausende:
Unter dem Mikroskop sieht man allerhand nicht alltägliche Merkmale:
Paraphysen, deren Spitzen als helle, warzige Haare aus dem Hymenium ragen, dazu riesige dunkelbraune Borsten mitten in der Fruchtschicht, die auch makroskopisch erkennbar sind. Noch fetter sind die Randhaare. Die Asci sind sehr lang und an der Basis oft Y-förmig gegabelt. Die Sporen haben eine dicke Gelhülle mit je einer Verdickung an den Polen, bei etwas Druck auf das Präparat löst sich die Hülle unregelmäßig ab. Reife Sporen haben an den Polen jeweils eine Menge Öltröpfchen. Mindestens 4 Zellkerne sind vorhanden, das Anfärben in Karminessigsäre klappte hier noch nicht optimal sicher auch weil durch die Sporeninhalte eventuelle Kerne nahe der Pole kaum erkennbar sind.
Hier die Merkmale von Desmazierella acicola kurz zusammengefasst (anhand von zwei Kollektionen von unterschiedlichen Standorten):
Natürlich findet man nicht nur eine Art an Kiefernnadeln, wenn man Desmazierella sucht. Hier eine kleine Auswahl an "Beifang", der mir mit ins Netz ging.
Alle nachfolgenden Funde stammen von einer anderen umgestürzten Kiefer, deren tote Nadelbüschel in eine moosige, sumpfige Stelle ragten:
Unter dem Mikroskop untersuchte ich einfach zufällige feuchte Nadeln, die ich mitgenommen hatte. Kleine dünne "Haare" fielen da auf hellem Hintergrund sofort auf.
Das ist ein Erstfund für mich, Klasterskya acuum, die scheint nicht sonderlich häufig, weil die habe ich schon gezielt gesucht und nicht gefunden, nun also per Zufall:
Hier ein Beispiel, wie mehrere Ascomyceten an einer Nadeln nebeneinander wachsen, das Bild ist nicht gestellt:
In der Mitte das muschelförmige Objekt hört auf den Namen Mytilinidion mytilinellum, oben ein weißes Becherchen namens Cistella acuum, die übrigen flachen schwarzen Punkte gehören zu Microthyrium pinophyllum.
Nochmal der Reihe nach, hier hab ich aber nicht immer alle Mikromerkmale festgehalten.
Mytilinidion mytilinellum
Microthyrium pinophyllum
Die Sporen- und Asusmerkmale hatte ich schon besser, hier nur der Vollständigkeit halber. Eigentlich haben die Sporen noch Cilien, hier aber nicht erkennbar.
Cistella acuum, häufig aber bei entsprechender Vergrößerung sehr hübsch anzusehen:
Randhaare:
Weitere Arten, die ich beiläufig fand, aber nicht erneut fotografiert habe sind z.B. Pseudohelotium pineti, Melanospora chionea, Diplodia sapinea, Sphaeridium candidum, Fujimyces oodes.
Wer Lust hat, dem wünsch ich viel Erfolg bei der Nachsuche.
Viele Grüße
Matthias
