Pluteus sp. ? Can it be identified from the photos supplied. It was smallish, about 3cm across
Beiträge von Steve_mt
-
-
Gregarious specimens scattered on a clump of woody stalks (I dont know what!) in a damp area. Rather small fungus, gills free, rim darkens with age. No spore print or micro... hope it is not essential for this one.
-
Dear friends,
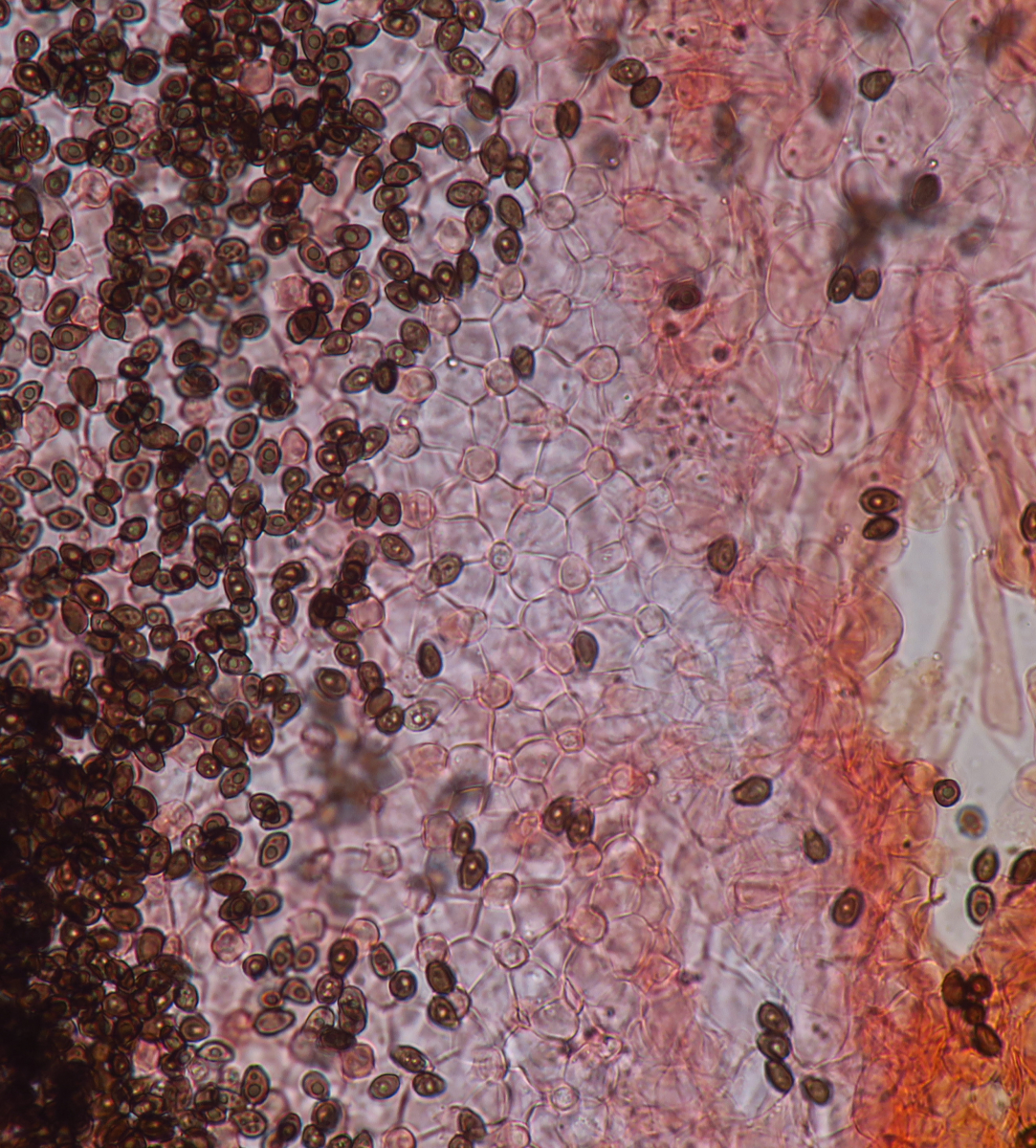
I have this Coprinopsis species about 3cm long with partial veil having intertwined filaments with long warts or tubercles projecting out. Cystidia and pleurocystidia balloon shaped.
Spore size:
7.9 [8.7; 9] 9.8 × 5.7 [6.2; 6.4] 6.9 µm
Q = 1.2 [1.4] 1.6; N = 30; C = 95%
Me = 8.9 × 6.3 µm; Qe = 1.4
-
Can you help me with this natural mold forming a dull cinamon / olive-brown mat on the bark of fallen twigs of Olea europaea. The spores are 5um across. There seem to be a verticllaster (whorl) of 3 to 6 phiallides with a swollen head with minute pegs each giving rise to a spore. If further measurments are required, I can carry them out. Thanks!
-
From where they extract genetic matetial to sequence? Do u know? Spores not suitable i guess.
-
I am writing a report on this fungus and I wonder which taxon I should use - ephippium (1841) or sublicia (1799)?
Maybe this recent paper by Skrude and Scumaker (Dec 2020) : ( https://www.researchgate.net/publication/340431565_The_genera_Helvella_and_Dissingia_Ascomycota_Pezizomycetes_in_Europe_-_Notes_on_species_from_Spain ) using the taxon sublicia is the answer.

-
Very nice - I love slime moulds so much, I think the only group which still mostly rely on morphology and only occasionally on genetic sequencing. Very nice specimen there - bright amber-rust - love it.
-
DOWNLOADED xxx
Many thanks, Sir Nobi - They will be helpful and makes my Digital Library a bit more interesting!
-
I am thinking that we should be around Cystolepiota for that fringe and flocculose cap.
-
Hello, I am back on track to identify this small mushroom. Gills are free (or slightly adnexed). Stipe bruises a little (?); cap floccose and appendiculate
-
Alles anzeigen
Hi, can someone help me to find this document:
Synoptic Keys to the Sclerotiniaceae & Rutstroemiaceae in Nordic Countries [Norway, English]
Look here, Steve.
0 Synoptic keys to the inoperculate stromatic discomycetes in the Nordic countries.pdf
But if it will help you?
If you're interested in a special genus, ask me.
There are some more documents from Schumacher & Holst-Jensen, which I can send.
Regards, Nobi
I am interested in the genus Sclerotinia - I only found old literature regarding morpghological identification of three related species. I believe my specimen is S. sclerotiorium
-
Good afternoon dear friends! I wish to thank you for your help. I finished my writeup about this species and I agree that all species in the genus have a Sclerotium and turns out that it is very diagnostic to distinguish the species. I had to base my research on old literature:
- Hall, R. & Boland, G.J. (1994). Index of plant hosts of Sclerotinia sclerotiorum. Canadian Journal of Plant Pathology 16:93–108. doi:10.1080/07060669409500766
- Willets, H.J. & Wong, J. A.-L. (1980). The Biology of Sclerotina sclerotiorum, S. trifoliorum and S. minor with emphasis on specific nomenclature. The Botanical Review 46(2):101–165
- Kohn, L.M. (1979). A monographic revision of the genus Sclerotinia. Mycotaxon 9: 365–444
Three related species are S. trifoliorium and S. minor but my specimen corresponds to S. sclerotiorium . Interestingly it was associated to Chlorophyton comosum, the only herbaceous weed that was present on site, and then a tree of Bay Laurel.
-
Hi, can someone help me to find this document:
Synoptic Keys to the Sclerotiniaceae & Rutstroemiaceae in Nordic Countries [Norway, English]
The link for the file is broken on that site.
I.s the black sclerotium typical/distinctive for the species? (seeing its epithet is sclerotiorium)
Thanks
-
Thank u Stefan for confirming 🤗
-
Do you confirm Coprinellus radians from the spore shape and size (and general morphology) ove xanthothrix?
7.8 [9.1; 9.8] 11 × 5.2 [5.9; 6.3] 6.9 µm
Q = 1.3 [1.5; 1.6] 1.8; N = 21; C = 95%
Me = 9.4 x 6.1 µm; Qe = 1.6
-
Can you help me on this one ? I have a dejavu I already posted it somewhere but I was off d=from fungi for 3 weeks due to health. The mushroom is small, (2cm long) completely white. Spores ovate, appiculate, tiny and about 4um long, hyaline and do not stain well. Clamp junctions observed in the pileipellis.
-
Dear Cristoph,
I don't know you but your story touched me, both regarding your stress/overload (I'm in a similar position) and that of your mother. I hope you can find the strength and morale to fight a bit more and get out of the dark tunnel - friends and fungi are awaiting you in the sunlight.
All the best
-
So this is clearly flava because the lower layer of lime in the 'crust' is yellow? That what is meant by inner lime right?
-
I have found this slime mold high on a trunk of a Tamarix africana about 1m above ground level (strange place for slime moudds) and I am quite sure it is Fuligo septica sl but then I am not sure about the variety. It has a pale yellow / cream outer lime surface followed by a bright lemon-yellow one below. The capillary looks white. I am undecided between var. Septica or var. Flava?
y a
-
Dear friends. I think i found the problem. It was the oil. I bought oil for microscopy (professional) and i am getting the correct x1000 magnification (x980 to be precise) everytime. I will only buy when i see the label of the reagent from now on!
-
I try to record on video what i am doing, but how can i share on this forum? It only allows jpgs etc not vids (mp4). I am also very concerned, also for my msc. Methodologuy
-
To prepare 10% ammonium hydroxide solution, should 1 + 9 parts: Conc NH4OH solution & water be mixed or about 1 + 3 parts since conc. ammonia solution is 25-30% concentrated (not 100%). ?
Thanks (i believe the second one! ;-))
-
Alles anzeigen
Hi everybody,
@Steve, good news!
But you still have a problem with your optics, probably the condensor is not adjusted. The lines of the eyepiece reticle have a blue shade towards the center, do you see that? And the lines of the reticle are still distorted to the corner, maybe you placed it the wrong way round (resulting in a wrong optical layer for the reticle).
If you spend so much money for buying the best tools, you should also spend some more time to learn better how to use them.
Also you should also spend a few Euro for oil with a guaranteed optimum refractory index, this might improve the results further.
The newer Zeiss and Olympus lenses should have a correction factor very close to 1,000.
... and sell the useless 63x dry and buy a 40x oil instead

Wolfgang
I think the problem is the camera method because I put my Canon G5X over the eyepiece and zoom a bit to fill the field. When I look with my eyes, I do not see the pincushion distortion. For the colour aberration, I see them but maybe I am not very touchy here, but in real life situation, they are not really significant or a big deal at that high magnification. Sometimes I turn the almost moncromatic photos to greyscale.
Saying that, I do not know much about use of the condenser. I usually raise it until I have good contast. Too high I lose the contrast and result in getting a soft image, too down then I have too high contrast and blackened image. Usually, I test with my eye until I have rather good contrast and the blur washes away the background artefacts and dirt. I admit my setup is below average too
- but for now that what I can afford. I miss a trinocular. -
Hello Uwe
yes, that's exactly how I do it. Oil drops directly on the stage micrometer. The idea of putting a drop of liquid and a cover slip on top of it has never even occurred to me. The literature available to me says nothing about this.
best regards,
Andreas
Hmmm.... for me that was the problem, so double check or can you confirm for us that u have no magnification error like what I reported ?
-
[...]
... and sell the useless 63x dry and buy a 40x oil instead

[...]
PNF 40x/1,3 Oil: I love it!
Like this ?
Yes not very good optics the 630, I use it mostly for measurements (gives a bit more accurate results). I am not very fond of messing with oil, but maybe I should change mentality...
Do you mean like this?
Carl Zeiss Microscopy, LLC - Objective Assistant - Objective C Plan-Apochromat 40x/1.3 Oil DIC M27
OMG!!! so expensive!!!!
