Beiträge von St3M3

    Hallo Marcel,


    es ist beständig mit chemischen Reaktionen zu rechnen im Leben ;)

    Im "Heimlabor" ließe sich für roh vs. gekocht mittels einer einfachen Papierchromatographie zumindest für bereits bekannten Stoffe eine qualitative Aussage treffen (den Bezug der Standards vorausgesetzt).

    Bezüglich des Apfels wird vermutet, dass Phenole die allergieauslösenden Proteine beeinflussen (ebenfalls sehr interessantes Thema).

    Derartige Studien werden im Allgemeinen an Tieren oder Zelllinien durchgeführt, womit die Ergebnisse zunächst nicht 1:1 auf den Menschen übertragbar sind. Dennoch ist deratiges Vorgehen valide, wissenschaftliche Praxis.

    Bezüglich T. equestre kam es in einer Studie aus Polen (2018), bei welcher 10 Freiwillige je 300g Pilz konsumierten, zu keinerlei Intoxikationserscheinungen.


    Leider sind derartige Thematiken ohne Flipchart, Zugang zu Fachliteratur und Labor nur begrenzt zu veranschaulichen.


    Gruß


    Steffen


    P.s: Sollte man Nebelkappen evtl. reiben? ;)

    [...]

    Hallo Marcel,


    eine LD50 Angabe von etwa 100 mg/kg findest du hier (Löfgren et al. 1954), ein Datenblatt z.B. hier.

    Dort ist, neben einigen positiv zu wertenden Effekten, folgendes angeführt: "[...] Cytotoxic. DNA, RNA and protein synthesis inhibitor [...] sowie [...] Adenosine deaminase inhibitor [...]".

    Die Funktion der Adenosindesaminase kann u.a. hier nachgelesen werden.


    Darüberhinaus ist das Nebularin nicht alleiniger Kandidat, welcher zur Fragwürdigkeit hinsichtlich Verzehr der Nebelkappe beiträgt.

    So finden sich weiterhin Lektine, Proteaseinhibitoren, Sesquiterpenoide und noch ein paar andere Substanzen in der Nebelkappe.


    Gruß


    Steffen

    Hallo Craterelle,


    ;) also, kulturell gebildeter Geschmack und geschmackliche Vorlieben sind 2 verschiedene Dinge.

    Könnte jetzt mehr dazu schreiben, hat hier IMHO aber keinen Platz.

    ;)

    Hallo Jorge,


    "Die Nebelkappe aus der Sicht Bourdieus" könnte durchaus auflockernd wirken.


    Gruß


    Steffen

    [...]

    Für diesbezüglich sensible Leute wie mich würde ich mir wünschen, bei Aussagen ähnlich wie "der ist giftig, den darf man nicht essen" dann auch belastbare (Primär-) Quellen anzuführen, oder eben eindeutig zu sagen, es ist unklar, ob der Pilz giftig ist.

    [...]

    Hallo Günter,


    in diesem Fall muss es dann heißen, "es ist unklar ob der giftig ist, den darf man daher nicht zum Verzehr freigeben".
    Den Konsum verbieten allerdings, kann dir niemand. Da gilt dann: "Jeder ist seines Glückes Schmied!"


    Primärquellen lassen sich auch zu dieser Thematik finden, so z.B. :

    Biesele JJ, Slautterback MC & Margolis M (1955): Unsubstituted purine and its riboside as toxic antimetabolites in mouse tissue cultures. Cancer 8: 87–95. , bei welcher die Autoren eine Toxizität in Mauszellkulturen nachwiesen.


    Tkacz K., Cioroch M., Skladanowski A.C., Makarewicz W. (2002) The Cytotoxic Effect of Purine Riboside on COS-7 Cells. In: Zoref-Shani E., Sperling O. (eds) Purine and Pyrimidine Metabolism in Man X. Advances in Experimental Medicine and Biology, vol 486. Springer, Boston, MA. Hier wurde ebenfalls eine Toxizität unter bestimmten Umständen an einer bestimmten Zelllinie nachgewiesen.

    Andere Studien fanden eine selektive, antibiotische Wirkung gegen pathogene und nicht-pathogene Bakterien, bestimmte Pilze und eine cytotoxische Wirkung auf Pflanzen:


    Ehrenberg L, Hedström H, Löfgren N & Takman B (1946): Antibiotic effect of agarics on Tubercle bacilli. Svensk Kemisk Tidskrift 58: 269–270.


    Kim Y-S, Lee I-K, Seok S-J & Yun B-S (2008): Chemical constituents of the fruiting bodies of Clitocybe nebularis and their antifungal activity. Mycobiology 36: 110–113.


    Löfgren N & Lüning B (1953): On the structure of nebularine. Acta Chemica Scandinavica 7: 15.


    Brown, Eric & Konuk, Muhsin. (1994). Plant cytotoxicity of nebularine (purine riboside). Phytochemistry. 37. 1589-1592. 10.1016/S0031-9422(00)89572-2.



    Diese Studie zeigt, dass Nebularin als Template für Adenosin fungieren kann:


    Rahman, M. S., and M. Z. Humayun (1997), Nebularine (9-2′-deoxy-β-d-ribofuranosylpurine) has the template characteristics of adenine in vivo and in vitro, Mutation Research/Fundamental and Molecular Mechanisms of Mutagenesis, 377(2), 263-268


    Ein Review zur Bioaktivität dieser Substanzklassen:

    Chauhan, M., and R. Kumar (2015), A comprehensive review on bioactive fused heterocycles as purine-utilizing enzymes inhibitors, Medicinal Chemistry Research, 24(6), 2259-2282.


    Wenn man web of science oder google scholar bemüht, finden sich etliche Studien zu dieser Thematik. Biochemiekenntnisse sind dazu allerdings unabdingbar.



    Gruß


    Steffen

    FSME kann direkt übertragen werden, Borrelien sitzen im Darm und brauchen länger. Diesen "Effekt" neutralisiert man jedoch wenn man die Zecke drückt, quetscht oder anderweitig stresst.

    Hallo zusammen,


    vielen Dank für die Hinweise.

    Ich habe das Exemplar unter "Amanita excelsa var. excelsa f. subcandida" abgelegt.

    Der Hut wurde auf dem Dörrex noch silbriger. Geruch allerdings absolut nicht vorhanden.


    Gruß und Dank


    Steffen

    Vielen Dank für die Rückmeldungen.

    A. excelsa hatte ich auch als Verdacht, jedoch ist mir ein derart helles Exemplar bis dato noch nie begegnet.

    Mit Phenol erfolgt ein Umschlag nach Weinrot, jedoch nicht wie in der Literatur (Henning Kreisel) angeben sofort, sondern nach etwa 5 Minuten. Mit H2SO4 keine Reaktion.

    Hallo zusammen,


    gestern im Buchenwald auf 400 m NN einsam und tief im Moos sitzend fand ich diesen Kollegen.

    Geruch unauffällig, keine Velumreste auf dem Hut, Huthaut lässt sich komplett abziehen, Manschette gerieft.

    Stielknolle eher schlank und rübenförmig.


    Bei Auffinden waren Hut und Stiel nahezu komplett weiß.


    Sporen: weiß, amyloid, 5-6 x 7-8 µm, kein Keimporus.


    Von gestern zu heute entwickelte sich die Hutfarbe zu silbrig glänzend.


    Auf sämtlichen Bildern ist durchaus, nach meiner Wahrnehmung beständig ein rosa Unterton zu erkennen, den ich am Objekt "live "so nicht feststelle.


    In welche Richtung lohnt sich eine weitere Recherche?


    Gruß und Dank


    Steffen

    SWR-Pilzsammler im Hunsrück mit 19 Kilo Pilzen


    Der gute Mann hatte zweifelsohne "etwas" zuviel im Korb.

    Aber Zitat Forstamtsleiter: [...] Teilweise werden die Pilze komplett aus der Erde gerissen. Die Bäume haben dadurch weniger Nährstoffe, weil die Myzelien, quasi die Pilzwurzeln, mit den Bäumen in einer Symbiose leben [...]

    Was soll weiterhin [...] massiven Pilzklau [...] implizieren? Der Pilzsammler als potentieller Dieb und Nährstoffvernichter der Bäume?

    Wird dort in Konsequenz der Argumentation noch mit Pferden gerückt oder nutzt man doch schon den Harvester?

    Ich gestatte mir auch noch ein paar Bilder anzufügen, hatte ich mich doch etwas länger mit der Bestimmung rumgeschlagen, da das Rot an den Fraßstellen am Hut und in der Stielbasis mich anfänglich hinsichtlich Abgrenzung zu C. kluzakii gefoppt hatte.

    Wie weiter oben bereits beschrieben, war hier auch kaum bis keine Bitterkeit zu schmecken, jedoch nach kurzem Anbraten sehr deutlich zu vernehmen.

    Standort: Zwischen Gebäuden unter Eiche und Efeu.

    Hallo zusammen,


    mit einer evtl. etwas naiven Frage zum Fragenkatalog:


    Bezieht sich die Angabe spezifischer Charakteristika generell nur auf makroskopische Merkmale oder kann auch mit mikroskopischen argumentiert werden?


    Viele Grüße


    Steffen

    Hallo zusammen,


    ich möchte für dieses Anliegen keinen extra Thread eröffnen und erlaube mir mich hier anzuhängen.

    Ich vermute hinter meinem Fund ebenfalls einen Rötling. Dieser Wuchs in einer Gruppe, eher büschelig auf einem kleinen Pfad zwischen Gärten neben einer Buchenhecke und Obstbäumen. Leider gibts kein Foto im Habitat.


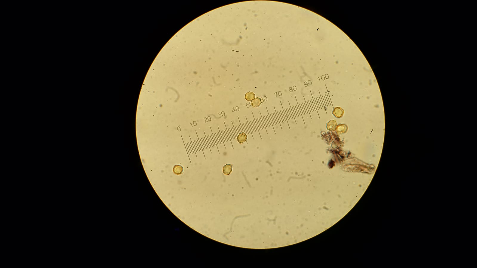
    Sporenpulver rötlich/braun.

    Huthaut ließ sich fast bis Mitte abziehen.

    Geruch: nichts, auch nach einem Tag nichts.


    Sporen in Melzers (etwa 8µm)


    Lamellenschneide in Kongo (Cheilozystiden?)



    Wo würdet ihr diesen Kandidaten verorten?


    Vielen Dank und viele Grüße,


    Steffen