Beiträge von boccaccio
-
-
Hallo Karl,
ja das war auf der gleichen Fläche. Ich hatte ja gehofft, daß sich da jetzt bei der feuchten Witterung auch noch ein paar Saftlinge dazugesellen, aber das war (bisher) Fehlanzeige.
Björn
-
Hallo zusammen,
da der Sonntag hier relativ regnerisch war, hat es nur zu einer kleinen Runde durch den Landschaftspark über Mittag gereicht. Aber auch da lassen sich ja bekanntlich Pilze finden:
1. Septoria oenotherae ex Oenothera biennis agg.
2. Puccinia polygoni ex Fallopia sp.
3. Crucibulum laeve
4. Bovista plumbea
5. Bovista pusilla
6. Phragmidium potentillae ex Potentilla argentea
Im Botanischen Garten in Hamborn ging es dann weiter:
7. Pucciniastrum epilobii ex Fuchsia x hybridum cult.
8. Melampsora sp. ex Hypericum androsaemum
9. Phragmidium mexicanum ex Potentilla indica
10. Thedgonia ligustrina ex Ligustrum vulgare
11. Coleroa robertiani ex Geranium robertianum
12. Splanchnomena platani
Björn
-
Hallo zusammen,
letzten Samstag ging es trotz Schauerwetter am Vormittag auf eine kleine Runde ins Rotbachtal an der Stadtgrenze Bottrop/Oberhausen. Trotz feuchter Witterung war pilztechnisch sehr wenig los. Es gab aber dann trotzdem auch ein paar Highlights, die alles wieder rausgerissen haben.
1. Volvariella bombycina
Huthaut
Lamelle
Volva
Sporen
2. Von Cortinarien habe ich ja keine Ahnung, aber den hier würde ich gerne als Cortinarius bolaris ansprechen wollen.
Huthaut
Basidien
Sporen
3. Ramularia urticae ex Urtica dioica
4. Delicatula integrella
5. Eine Lorchel. Das sollte irgendwas um Helvella elastica sein, aber ich muß gestehen, daß ich mit dem Skrede-Schlüssel so gar nicht warm werde...
Björn
-
Hallo zusammen,
in dem Zusammenhang sei auch kurz auf diese brandaktuelle Arbeit zu den Schwarztäublingen verwiesen: Enlightening the black and white: species delimitation and UNITE species hypothesis testing in the Russula albonigra species complex | IMA Fungus | Full Text
Björn
-
Hallo zusammen,
vergleich den Fund doch mal mit Hymenoscyphus monticola.
Björn
-
Hallo Thorben,
der Duisburger Stadtwald ist zwar kein echter Auwald, aber es gibt entlang der Wegränder immer mal feuchte Gräben. Da lag dann auch das Holzstückchen mit meinem Fund drin.
Björn
-
Hallo zusammen,
vielen Dank für den Hinweis auf Phaeohelotium imberbe. Ich hab gerade auch mal versucht, die von Andreas erwähnte Reaktion mit Lugol zu beobachten, bin aber mit meinen Wurstfingern daran gescheitert, brauchbare Schnitte durch die Apothecien herzustellen...
Björn
-
Hallo Raphael,
wieder mal eine sehr schön dokumentierte Tour! Da ärgert es mich fast ein wenig, daß ich während meiner Postdoc-Zeit in Genf, in der ich auch regelmäßig im Wallis zum Wandern war, noch kein Auge für Pilze hatte...
Björn
-
Hallo zusammen,
heute habe ich im Duisburger Stadtwald an Totholz einen weißen Ascomyceten gefunden, der bei Berührung und im Alter leicht rötet.
Sporen (noch im Ascus) messen (9.0-10.5) µm x (3.8-4.8) µm, Q=1.9-2.5 und haben an den beiden Enden wenige, sehr kleine Tröpfchen. Asci reagieren mit Lugol blau, die Paraphysen haben viele kleine Tröpfchen. Ob Haken vorhanden sind oder nicht, konnte ich leider nicht feststellen.
Problem: Ohne Gattungsidee komme ich da nicht weiter. Kann jemand weiterhelfen?Björn
-
Hallo zusammen,
mit dem gedrängten Wuchs und den etwas unförmig wirkenden Fruchtkörpern sehe ich hier eher Xylaria polymorpha als Xylaria longipes.
Björn
-
Hallo zusammen,
gestern habe ich eine längere Wanderung gemacht. Startpunkt war Essen-Kettwig, dann ging es zunächst die Ruhr entlang, anschließend den Ruhrhang hinauf und schließlich durch den Stadtwald nach Hause. Unterwegs fanden sich dann eine Reihe von interessanten Pilzen.
1. Pucciniastrum agrimoniae ex Agrimonia eupatoria
2. Phloeospora ulmi ex Ulmus sp.
3. Puccinia malvacearum ex Malva alcea
4. Puccinia cnici ex Cirsium vulgare
5. Tranzschelia discolor ex Prunus domestica
6. Xylaria longipes
7. Erysiphe robiniae ex Robinia pseudoacacia
8. Botrytis cinerea ex Rubus fruticosus agg.
Björn
-
Hallo zusammen,
am Samstag war ich im Diersfordter Wald unterwegs. Dort gibt es ein Moorstück, in dem ich Andromeda polifolia mitsamt zugehörigem Exobasidium zu finden hoffte. Leider konnte ich weder Wirt noch Parasit finden. Dafür aber einige andere interessante Pilze:
1. Fistulina hepatica
2. Puccinia sp. ex Elymus repens
3. Sphacelotheca hydropiperis ex Persicaria sp.
4. Abends in Essen dann auf einem Haferfeld Puccinia coronata
5. Puccinia graminis ex Avena sativa
6. Melampsora sp. ex Hypericum calycinum
7. Uromyces flectens ex Trifolium repens
Björn
-
Hallo Bernd,
die Nr. 4 sieht für mich eher nach Armillaria aus. Nr. 6 sollte Rickenella swartzii sein.
Björn
-
Hallo Martin,
vergleiche deinen Fund doch mal mit Craterocolla cerasi.
Björn
-
-
Hallo Thorben,
die Hyphen waren meiner Meinung nach nicht dickwandig. Sekundärsporen habe ich keine beobachten können. Was mir halt aufgefallen ist, ist die extreme Variabilität der Sporen in meinem Abwurf. Von daher kann ich mir durchaus vorstellen, daß das alles eine Art ist, die einfach sehr variabel sein kann (zum Teil eben sogar in einem Fruchtkörper). Aber letztlich wird man da wohl nur mit Genetik weiterkommen.
Björn
-
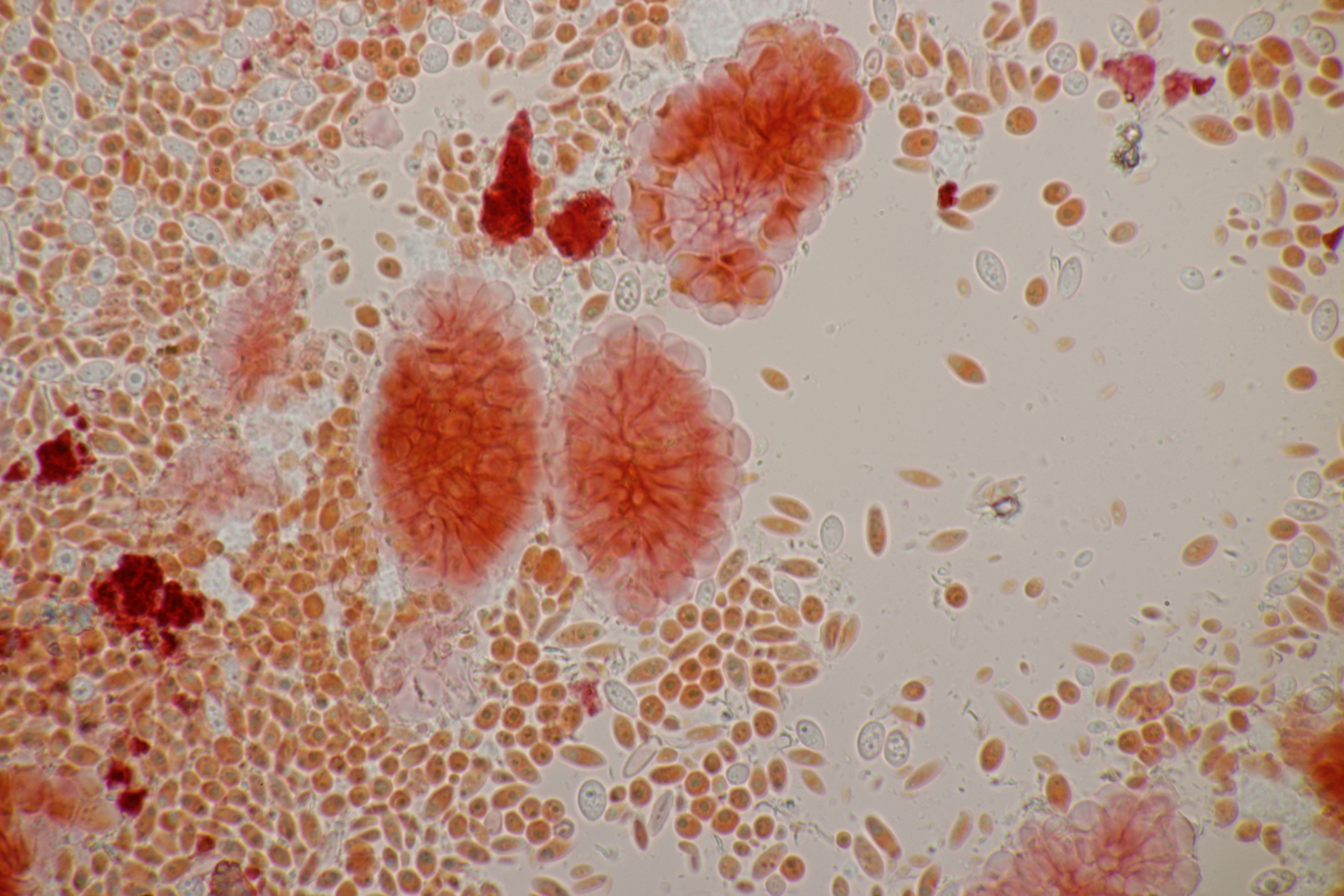
Hallo Thorben,
wie man auf den Bildern ja schon sehen kann, waren die Sporen sehr variabel und spannen den Bereich (9,7-18,0) µm x (6,6-8,8) µm auf. Der Mittelwert lag so bei 14 x 8 µm.
Björn
-
Hallo zusammen,
weiter geht es mit Teil 2 der Funde von der Halde Lipper Höhe.
1. Kabatia periclymeni ex Lonicera xylosteum
2. Golovinomyces monardae ex Mentha spicata agg.
3. Puccinia millefolii ex Achillea millefolium
4. Ramularia cupulariae ex Inula conyzae
5. Fomitopsis hippophaeicola an Sanddorn
Björn
-
Hallo zusammen,
am letzten Sonntag war mal wieder eine APR-Exkursion angesetzt. Leider dachte ich, daß wir auf die Halde Lipper Höhe gehen würden, während wir tatsächlich im Asbachtal unterwegs waren. Da war ich dann ziemlich alleine auf der Halde unterwegs. Gelohnt hat es sich aber trotzdem, denn es gab etliche schöne Funde.
1. Pseudoboletus parasiticus
Röhren
Stiel
Huthaut
Sporen
2. Russula claroflava
3. Russula velenovskyi
4. Sebacina incrustans
5. Uromyces silphii ex Juncus tenuis agg.
6. Leccinum scabrum
7. Lactarius helvus
8. Boletus edulis
Björn
-
Hallo Christo-B,
das ist Tapinella atrotomentosa.
Björn
-
Hallo Sandra,
Stellaria aquatica wächst eigentlich überall und das Microbotryum da drauf ist nicht selten. Ansonsten gibt es aber auch noch genug andere Pflanzen, die von anderen Microbotryum-Arten mit ähnlichen Sporen heimgesucht werden: Saponaria officinalis, Silene latifolia...
Björn
-
Hallo Beli,
da habe ich mich verschrieben. Es sollte heißen: "Und fühlt sich im Buchenwald am wohlsten."
Björn
-
Hallo zusammen,
Ramaria stricta möchte ich bei Nr. 1 ausschließen. Die hat einen anderen Wuchs und fühlt sich außerdem im Buchenwald am Boden. Von der Fruchtkörperform her erinnert mich das ganze an Pterula, die ich aber selber noch nie gefunden habe.
Björn
-
Hallo Bernd,
Nr. 3 dürfte ein Rötling aus der Untergattung Leptonia sein.
Björn
