13.05.2017:
Kleine Frühjahrs-Tour (Wiese und Wald)
Liebe Pilz-Freunde,
es war nicht so besonders feucht in diesen Tagen, trotzdem wagten ich und
Matthias einen Blick auf eine Wiese.
Anschließend waren wir noch in einem Waldstück mit Sumpf.
Es waren wieder einige schöne Sachen dabei von klein bis groß.
Um alle Bilder zu sehen, ohne sie einzeln anklicken zu
müssen könnt Ihr wie folgt vorgehen: Hier im Forum einloggen, ein Bild anklicken
und den Haken in der Checkbox "Diese Einstellung merken" und "Speichern"
klicken.
Wir schreiben den Bericht wieder zusammen.
Wie immer: Meine Texte sind schwarz, Matthias' Texte sind
grün. 
Meine Bilder sind mit einem schwarzen
☻,
Matthias' Bilder sind mit einem grünen☻gekennzeichnet.
Fundnummer: 2017-05-13-0914
Los ging es mit dem Kohlentrichterling (Clitocybe
sinopica):

☻

☻
Fundnummer:
2017-05-13-0924
Das war bislang die schönste und üppigste Gruppe der Art, die mir bislang
untergekommen ist. Entsprechend ausführlich wurde sie fotografiert.
Rosastieliger Wasserkopf (Cortinarius vernus):

☻

☻

☻

☻

☻

☻

☻

☻

☻

☻

☻

☻

☻
Fundnummer:
2017-05-13-0930
Das Helle Kiefernnadel-Polsterbecherchen (Cyclaneusma
minus) verweigerte zuhause dass es heraus kommt, wahrscheinlich hatte
ich es zu lange in der Probendose:

☻

☻
Fundnummer: 2017-05-13-0940
Ein hübscher Kahlköpfiger Scheibchen-Tintling (Parasola
lactea):

☻

☻

☻

☻
Fundnummer:
2017-05-13-0946
Eigentlich recht häufig, aber wir haben sie nicht sofort erkannt, da wir die
Wirtspflanze im ersten Moment nicht sicher für ein Veilchen gehalten hätten. Es
hat sich bei der Recherche aber dann schnell aufgeklärt.
Der
Veilchen-Rost (Puccinia violae):

☻

☻

☻

☻

☻

☻

☻

☻

☻
Fundnummer:
2017-05-13-1009
In unserer Region eine seltene
Art, umso erfreulicher, wieder einen neuen Standort davon entdeckt zu haben. Ein
paar Tage später kam dann sogar noch ein weiterer hinzu.
Die
Hochgerippte Becherlorchel (Helvella acetabulum):

☻

☻
Fundnummer:
2017-05-13-1055
Matthias mikroskopierte den Fund und stellte schon mal den Komplex "Schmalblättriger
Faserling (Psathyrella spadiceogrisea agg)" fest.
Diesmal ging der Pilz direkt an Andreas zur weiteren Untersuchung (Wir hatten
keine Zeit dafür).
Andreas' Ergebnis: Der
Casca-artige Faserling (Psathyrella cascaoides):

☻

☻
Fundnummer:
2017-05-13-1110
Lecker
lecker - der Maipilz (Calocybe gambosa):

☻
Fundnummer: 2017-05-13-1126
Das war ne Lepti mit relativ kurzen, oft
auffallend bauchigen Cheilos. Passt aber voll ins momentane Lepti-Konzept, die
Kaulos sind außerdem sehr "vorbildlich" ausgeprägt, wie bei Robich gezeichnet.
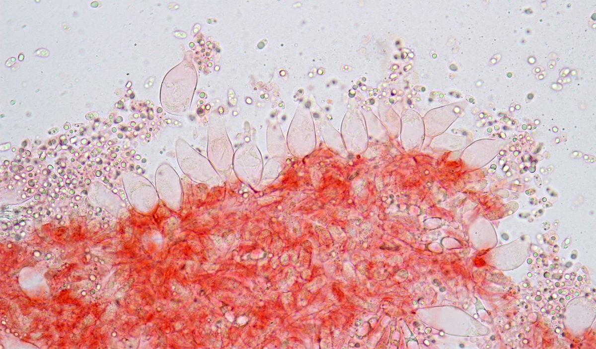
Grauer Nitrathelmling (Mycena leptocephala):

☻

☻
Die besagten Cheilozystiden:

☻

☻

☻
Fundnummer: 2017-05-13-1223
Immer wieder schön, obwohl ziemlich häufig. Diesmal in einer so fotogenen
Aufstellung, dass wir nicht widerstehen konnten.
Geschmückter Helming (Mycena amicta):

☻

☻

☻

☻
Fundnummer:
2017-05-13-1302
Die ersten Exemplare des Jahres ließen sich bereits blicken. Meist waren sie
aber noch sehr klein.
Der
Sumpfhaubenpilz (Mitrula paludosa):

☻

☻
Fundnummer: 2017-05-13-1315
Eine an
entsprechenden Standorten eigentlich häufige Art, die aber kaum jemand beachtet
oder kennt. Zu finden in nassen, schlammigen Bereichen an Laubholz, das direkt
am oder zeitweise sogar im Wasser liegt. Makroskopisch als weißlicher Belag
erkennbar, der im ersten Moment an einen Rindenpilz erinnern könnte. Bei genauer
Betrachtung kann man dann einzelne Pünktchen erkennen. Insgesamt im Aussehen
sehr ähnlich zur allerdings ungleich größeren Aegerita candida, der
Nebenfruchtform von Bulbillomyces farinosus, von der auch der Gattungsname
Pseudaegerita abgeleitet ist.
Grünlicher Pseudo-Bulbillenpilz (Pseudaegerita viridis)
- (Hinweis: Deutscher Name ist ausgedacht):

☻

☻

☻
Das war's für
heute....
Und wieder freuen wir uns auf Eure Kommentare.
Beste Grüße
Dieter & Matthias