Hallo zusammen
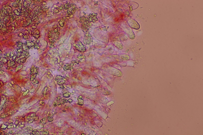
Vor ca. 2 Monaten fand ich auf einem Stück Laubholz(?) dieses 0.6 mm grosse, orange Kissen, das von weitem aussah wie Bactridium flavum. Unter dem Mik zeigten sich dann aber Basidien.
Ich habe aber bis heute keine Ahnung, was das sein könnte. Hat vielleicht jemand eine Idee?
Basidiosporen (bohnenförmig): (6.8) 7.3 - 10 × (3.7) 3.9 - 4.7 (5) µm
Konidien(?): (5.9) 6.2 - 7.4 (7.6) × (2.3) 2.5 - 3.7 (4) µm
Basidien: 4-sporig, 20 - 28.07 (28.1) × 6.7 - 8.2 µm (die Masse sind unsicher, da die Zellen bei stärkerer Quetschung kollabierten)
Mit vielen Kristallen
Evtl. Zystiden?
Vielen Dank fürs Anschauen.
Liebe Grüsse
Marco
