Servus beinand,
diesen Rötling habe ich am Sonntag, vergesellschaftet mit Psathyrella maculata, auf einem schon recht morschen Baumstumpf gefunden. Dem Augenschein nach eher Nadelholz, wogegen aber die Psathyrella spricht. Die Gattung hat sich auch erst mit dem Sporenabwurf offenbart, da die Lamellen auch bei Sporenreife keine rosa Färbung zeigten. Die Fruchtkörper haben bis fünf Zentimeter Hutdurchmesser, der Geruch ist etwas mehlig. Den Standort Totholz würde ich nicht überbewerten, möglicherweise ist es ein Saprobiont, der sich den morschen Stumpf ausgesucht hat.
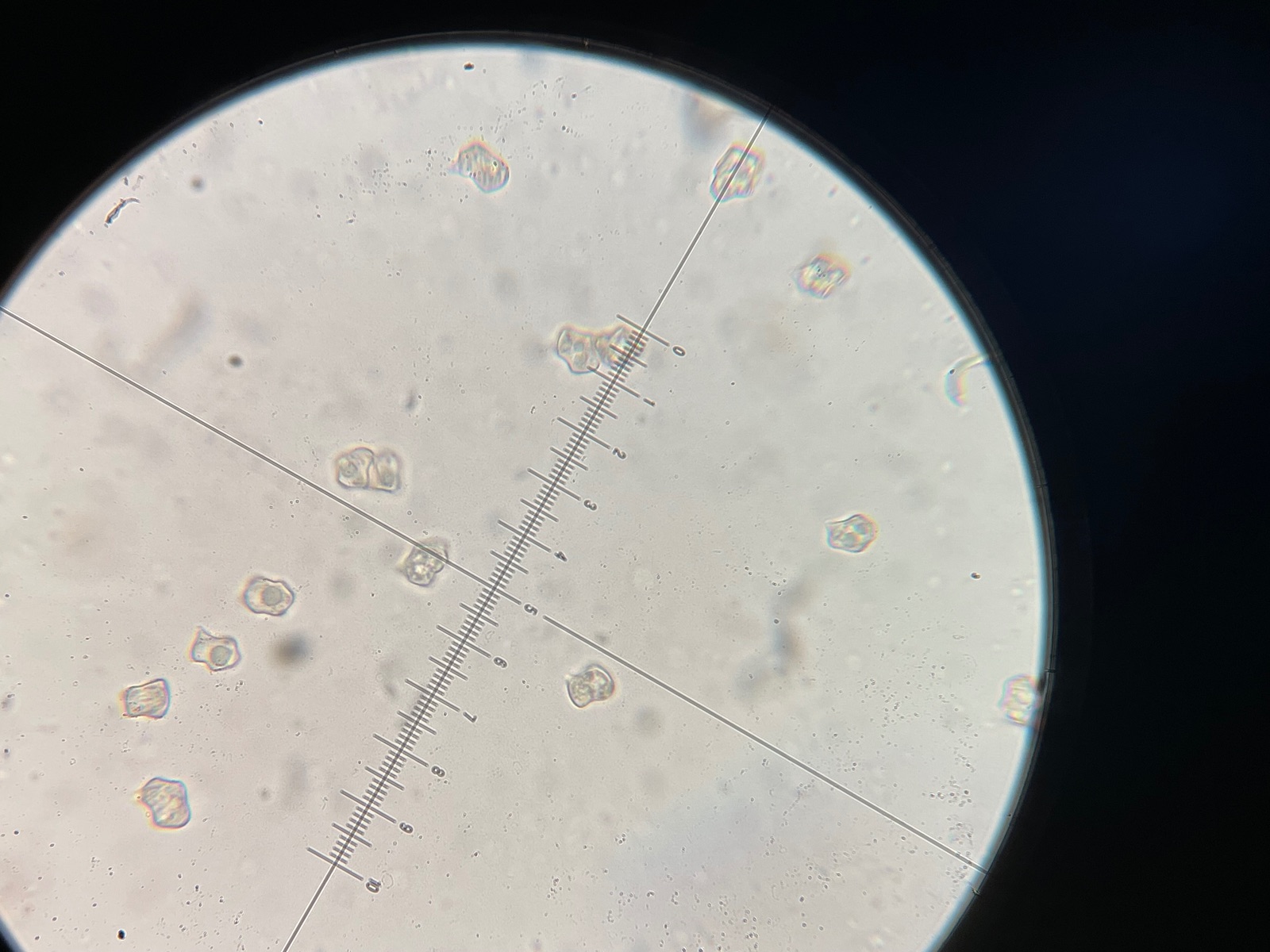
Rosabrauner Sporenabwurf
Sporen 8,5 (7-10) x 6,5 (5,5-7,5) Qm = 1,31
20 Sporen gemessen.
Basidien 4-sporig, Basalschnallen vorhanden
Cheilozystiden schmal flaschenförmig, Enden leicht inkrustiert (?), Schneiden steril
HDS X1000
Schnallen vorhanden
Lamellentrama dimitisch, ebenfalls mit Schnallen
Der Fund wurde schon von einigen Leuten des Münchner Pilzvereins angeschaut, bislang ohne Ergebnis.
Hat jemand eine Idee dazu?
Danke schonmal und Grüße
Andreas
