Unbekannter Pluteus

Es gibt 3 Antworten in diesem Thema, welches 677 mal aufgerufen wurde. Der letzte Beitrag () ist von Ahemi.

  • Servus beinand,


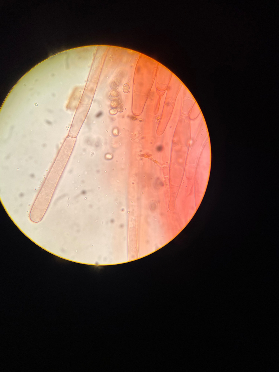
    wir haben heute in einem Moorkiefernwald an einer stehenden Birke in ca. 1,5 m Höhe diese zwei Fruchtkörper eines Dachpilzes gefunden. Ungewöhnliche Farbe und die Huthaut ist deutlich radialfaserig, aber eher wildlederartig-samtig, nicht glatt, speckig. Unterm Mikroskop nur liegende Hyphen, einige leicht hochstehend, keine Pileozystiden erkennbar.

    Cheilos dickwandig, bis 90x20

    Basidien 4-sporig, mit granuliertem Inhalt

    Sporen subglobos bis oval 6-7,5 x 5-6.


    Jemand eine Idee?

    Danke fürs anschauen

    Herzliche Grüße

    Andreas


    Die Bilder;


    HDS 400-fach

    HDS 1000-fach:

    Sporen und Cheilos:


  • Servus Andreas,

    wenn da auf dem Hut unter dem rosa Sporenstaub leicht graugrünliche Töne zu sehen sind (wie ich meine) und wenn die dickwandigen Zystiden an den Enden Haken haben (ist nicht eindeutig zu sehen), würde ich Pluteus salicinus in den Ring werfen.

    Gruß Helmut

  • Vielen Dank für Eure Vorschläge, Helmut und Harald.

    Wenn ich morgen wieder zuhause bin, schau ich mir die beiden mal an.

    Und ja, die Cheilos haben Haken, Schnallen konnte ich aber keine finden.

    Herzliche Grüße

    Andreas