Agaricus arvensis
- Cognacmeister
 - Erledigt
 
Es gibt 3 Antworten in diesem Thema, welches 494 mal aufgerufen wurde. Der letzte Beitrag () ist von Oehrling.
- 
			
 - 
			
Cognacmeister
Hat den Titel des Themas von „Agaricus arvensis hjhh“ zu „Agaricus arvensis“ geändert. - 
			
Hi,
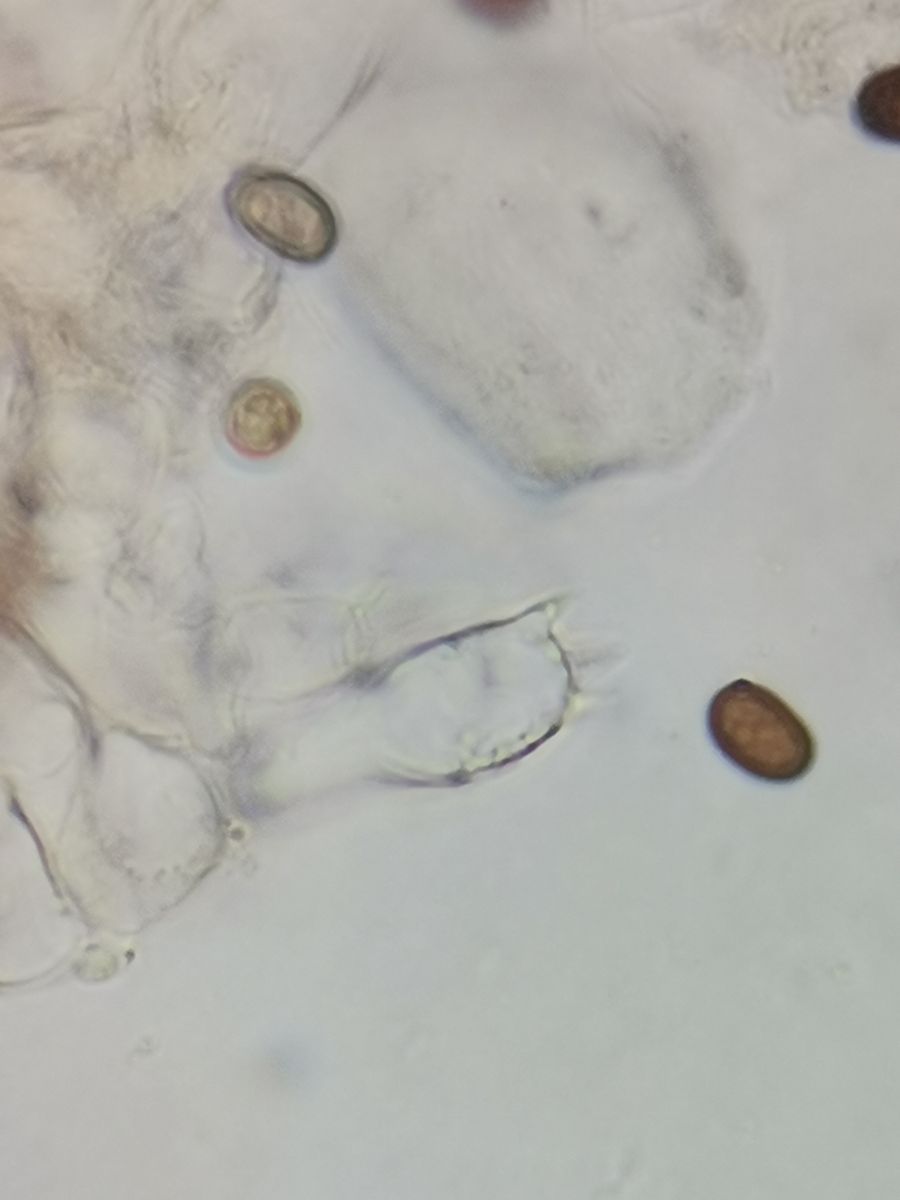
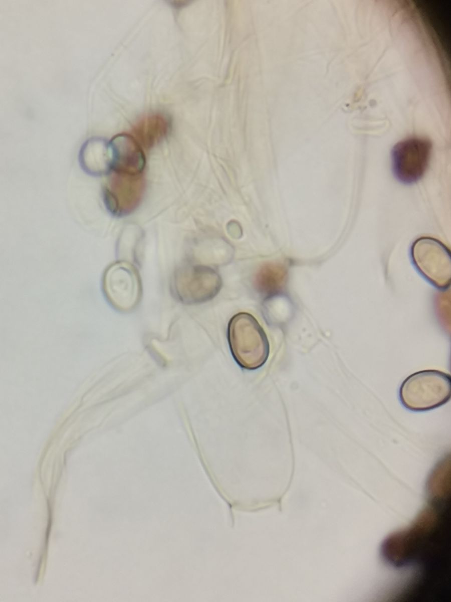
du zeigst viele Basidien und Sporen. Keine einzige Zystide dabei.
l.g.
Stefan
 - 
			Alles anzeigen
Hi,
du zeigst viele Basidien und Sporen. Keine einzige Zystide dabei.
l.g.
Stefan
Jo das ist jetzt klasse hol ich dann nach
 - 
			
Diese Teile mit den Teufelshörnchen oben dran, das sind die Basidien. An den Hörnchenspitzen reifen die Sporen heran und werden dann irgendwann abgeschleudert. Zystiden sind dagegen grundsätzlich unbehörnt.
 
