Könnte das ein inocybe sein I hab gar keine Ahnung. Er stand bei Fichte Lärche und Tanne lg
Inocybe
- Cognacmeister
- Erledigt
Es gibt 5 Antworten in diesem Thema, welches 767 mal aufgerufen wurde. Der letzte Beitrag () ist von Cognacmeister.
-
-
Ja, Risspilz ist sehr gut möglich. Wonach roch er denn? War es der typische Risspilzgeruch? Die Stielbasis darfst übrigens nicht abschneiden, man muss wissen, ob sie gerandetknollig, verdickt oder nicht verdickt ist.
-
Ja, Risspilz ist sehr gut möglich. Wonach roch er denn? War es der typische Risspilzgeruch? Die Stielbasis darfst übrigens nicht abschneiden, man muss wissen, ob sie gerandetknollig, verdickt oder nicht verdickt ist.
Da Geruch is mild. Jo super des wusst I no net danke. Aber morgen ab unters mikrom
-
Ja, Risspilz ist sehr gut möglich. Wonach roch er denn? War es der typische Risspilzgeruch? Die Stielbasis darfst übrigens nicht abschneiden, man muss wissen, ob sie gerandetknollig, verdickt oder nicht verdickt ist.
Da Geruch is mild. Jo super des wusst I no net danke. Aber morgen ab unters mikrom
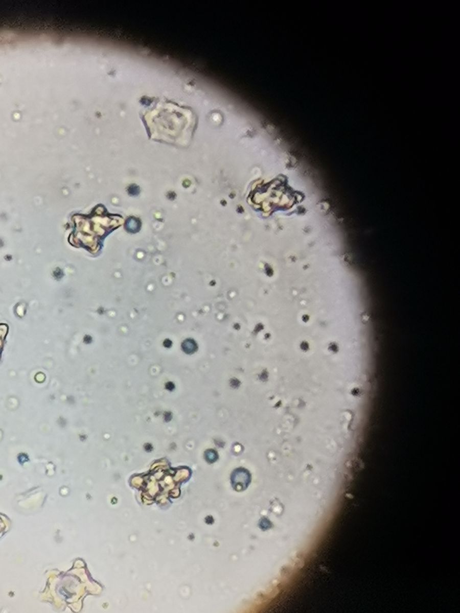
So lieber Oehrling ich sehe Sporen der Rest ist mir noch ein Rätsel.
-
Hallo CM,
diese eckig-knubbeligen Gebilde sind die Sporen des Risspilzes, wobei sich auch die eine oder andere Entoloma-Spore dazugemogelt hat.
Es handelt sich also um einen Eckigsporer, bei dem die Ecken bzw. Protuberanzen sehr stark ausgebildet sind. Zusammen mit dem makroskopischen Habitus würde ich in Richtung Inocybe napipes tippen. Aber gerade jetzt hätte man die Stielbasis sehen müssen, welche ziemlich stark verdickt und in der oberen Hälfte weiß überlaufen wäre.
Die Zystiden der Risspilze sind diese großen, kakaobohnenförmigen Ballone, die nicht selten eine Kristallschopfauflage haben (sieht aus wie ein Kronenkorken einer Bierflasche). Diese haben eine große Variation und können für die Pilzbestimmung herangezogen werden. Es gibt z. B. dünn- und dickwandige Zystiden, solche mit oder gänzlich ohne Kristallschopf, solche die in KOH3% gelb werden und solche die das nicht tun. Daher auch die Frage im Parallelthread, ob du die Lamelle in KOH3% mikroskopiert hast (was man bei Risspilzen immer tun sollte) oder nur in Wasser. Und ganz wichtig ist auch, wo die Zystiden sitzen: nur an der Lamellenschneide oder auch an den Lamellenflächen, nur an der Stielspitze oder auch in der Stielmitte oder gar in der unteren Stielhälfte.
Wichtig noch zu wissen: man kann sich lediglich anschauen, wie Risspilze mikroskopisch aussehen. Bestimmen können sie in Deutschland höchstens fünf, sechs Leute, die allein das erforderliche aktuelle Wissen haben.
FG
Oehrling
-
Alles anzeigen
Hallo CM,
diese eckig-knubbeligen Gebilde sind die Sporen des Risspilzes, wobei sich auch die eine oder andere Entoloma-Spore dazugemogelt hat.
Es handelt sich also um einen Eckigsporer, bei dem die Ecken bzw. Protuberanzen sehr stark ausgebildet sind. Zusammen mit dem makroskopischen Habitus würde ich in Richtung Inocybe napipes tippen. Aber gerade jetzt hätte man die Stielbasis sehen müssen, welche ziemlich stark verdickt und in der oberen Hälfte weiß überlaufen wäre.
Die Zystiden der Risspilze sind diese großen, kakaobohnenförmigen Ballone, die nicht selten eine Kristallschopfauflage haben (sieht aus wie ein Kronenkorken einer Bierflasche). Diese haben eine große Variation und können für die Pilzbestimmung herangezogen werden. Es gibt z. B. dünn- und dickwandige Zystiden, solche mit oder gänzlich ohne Kristallschopf, solche die in KOH3% gelb werden und solche die das nicht tun. Daher auch die Frage im Parallelthread, ob du die Lamelle in KOH3% mikroskopiert hast (was man bei Risspilzen immer tun sollte) oder nur in Wasser. Und ganz wichtig ist auch, wo die Zystiden sitzen: nur an der Lamellenschneide oder auch an den Lamellenflächen, nur an der Stielspitze oder auch in der Stielmitte oder gar in der unteren Stielhälfte.
Wichtig noch zu wissen: man kann sich lediglich anschauen, wie Risspilze mikroskopisch aussehen. Bestimmen können sie in Deutschland höchstens fünf, sechs Leute, die allein das erforderliche aktuelle Wissen haben.
FG
Oehrling
OK da sieht ma jetz wieder was man da alles wissen muss. Deine Vermutung wird sich bestätigen den es waren nur nadelbäume dort also die fichte und danke für diese info dei merk i mir fix vor.
