Hallo zusammen,
an Silvester war ich vormittags in Horrem. Dort gibt es das NSG Parrig, das einen sehr ausgedehnten Auwald an der Erft darstellt und das pilzlich einiges zu bieten hat:
1. Sarcoscypha coccinea mit glatten Haaren und Sporen ohne Dellen
2. Xylaria hypoxylon
3. Claviceps purpurea ex Brachypodium sylvaticum
4. Auricularia auricula-judae
5. Pterula gracilis
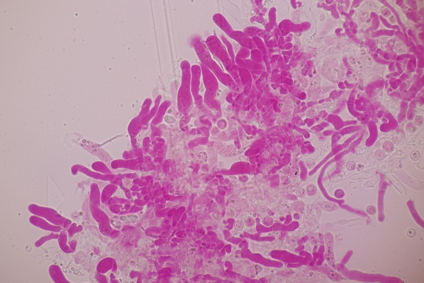
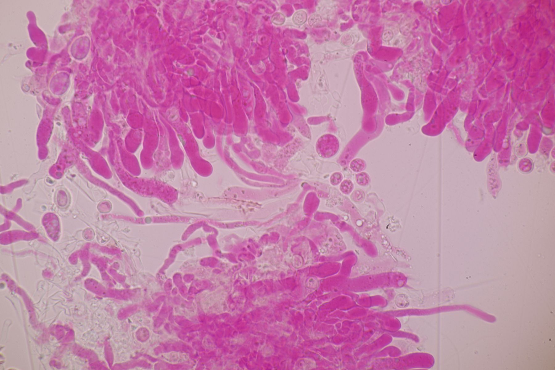
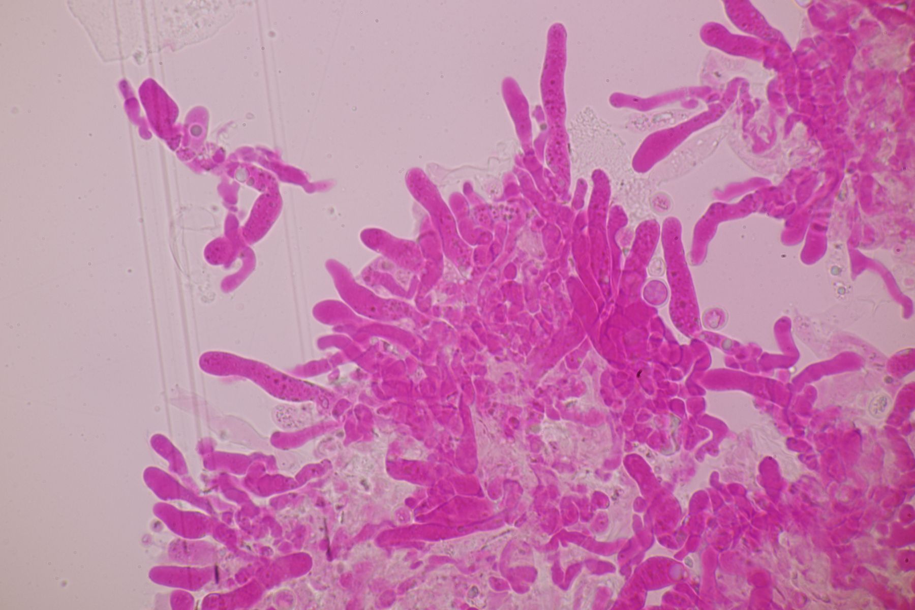
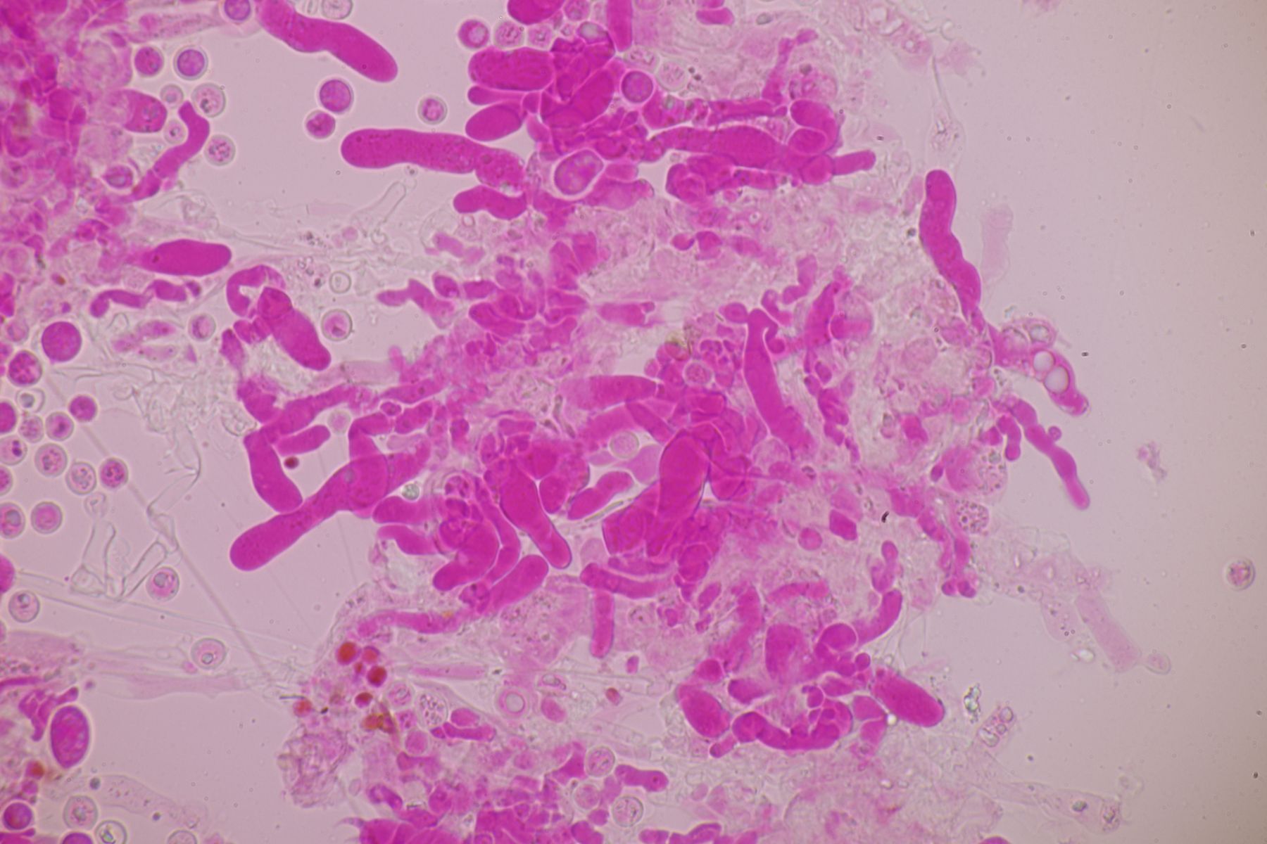
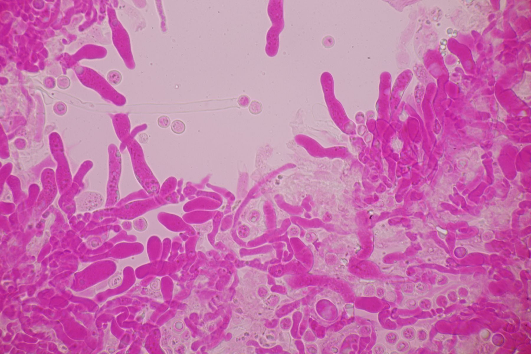
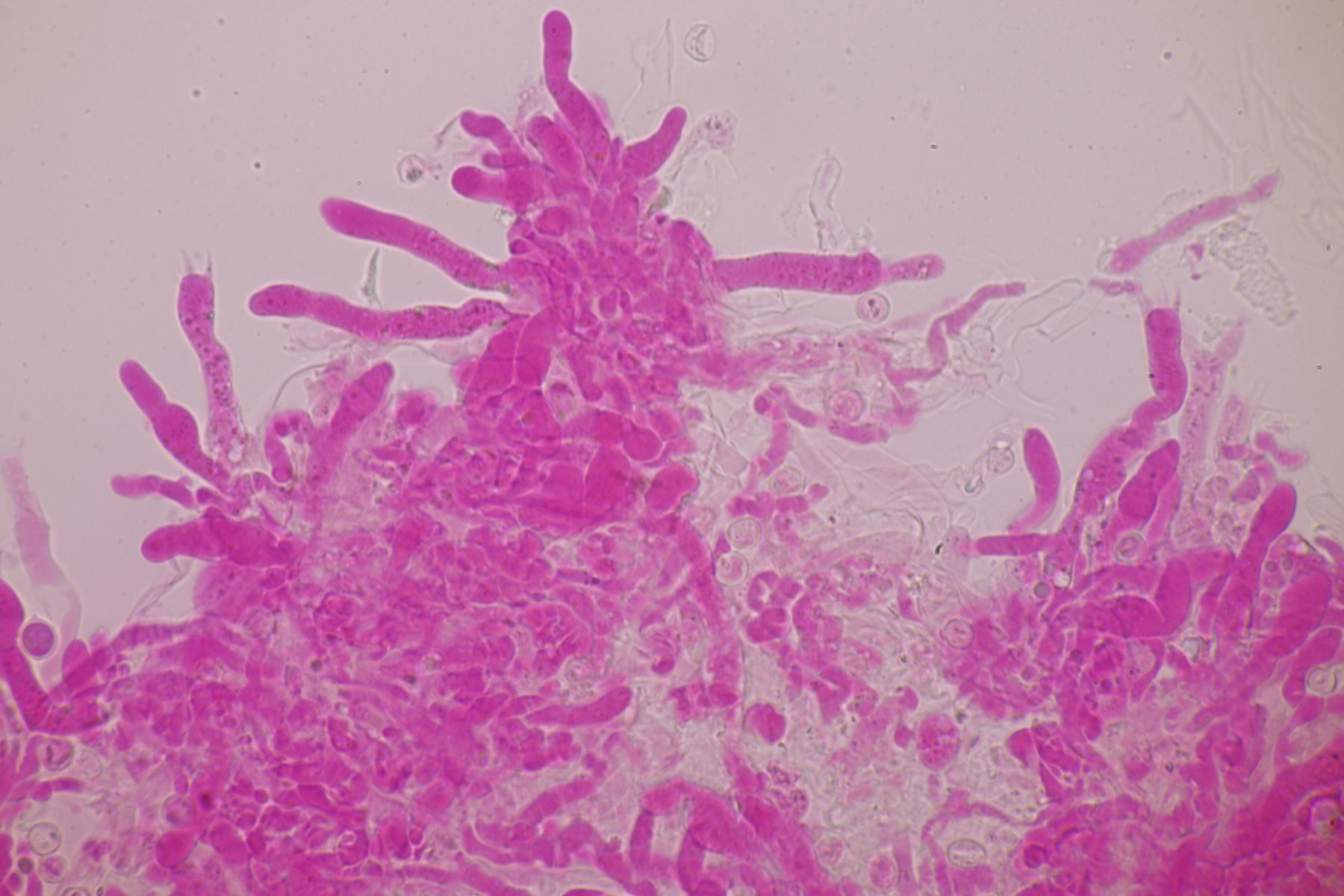
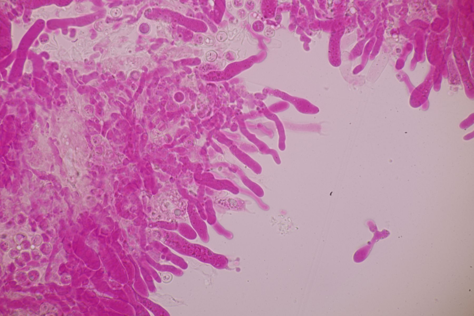
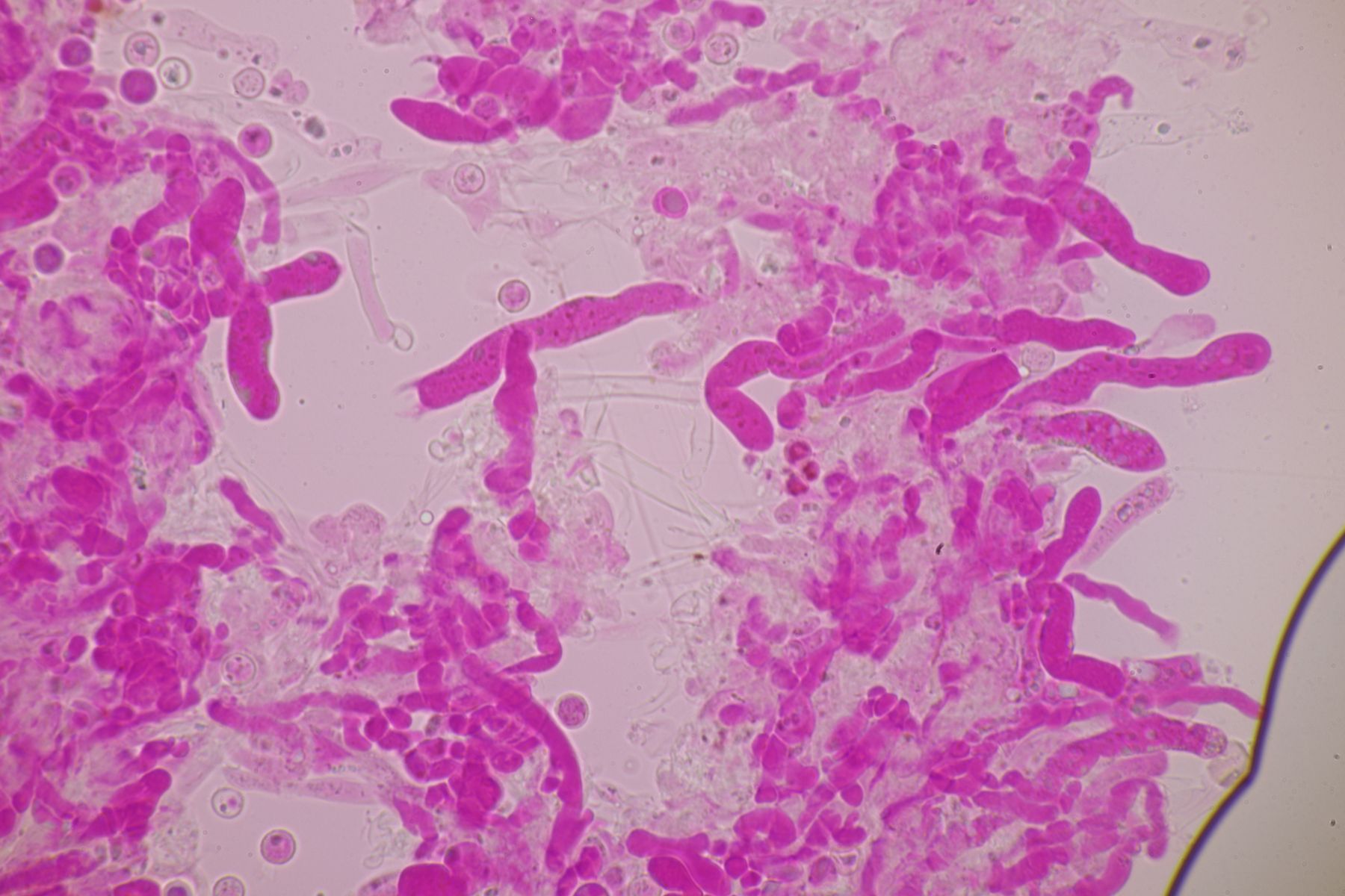
6. Granulobasidium vellereum mit Befall durch Filobasidiella lutea. Der Befall bildet keine eigenen Fruchtkörper, sondern lebt im Hymenium seines Wirts. Er fällt im Feld durch die orange-braune Verfärbung des Wirts auf, mikroskopisch zeigen sich dann typische Basidien
Basidien von Filobasidiella lutea
7. Calycina lactea
8. Eine große, orangefarbene Kohlenbeere. Erst dachte ich an Hypoxylon ticinense oder Hypoxylon subticinense. Ein Blick durchs Mikroskop brachte dann Sporengrößen, die für H. ticinense zu groß waren. Bei Facebook wurde ich dann aber gefragt, ob ich mir mit meiner Bestimmung sicher sei. Ein Blick auf die frz. Kohlenbeeren-Webseite brachte dann schnell Klarheit: Mit der sigmoides Keimspalte und Sporen von 12 x 6 µm ist das Hypoxylon crocopeplum. Die Art galt früher als tropische Art, ist dann aber auch in Frankreich gefunden worden - und jetzt eben auch für Deutschland nachgewiesen.
Björn
