Hallo zusammen,
ich hatte ja vor einiger Zeit schon vom ersten Anlauf Richtung Mosel berichtet. Zwei Tage später habe ich erneut mein Glück versucht. Diesmal war der Zug als pünktlich angezeigt, am Bahnhof war dann aber kein Zug und auch keine Ansage, was mit dem Zug los ist. Das Internet wußte dann: Wegen verspäteter Bereitstellung hat der Zug 40 Minuten Verspätung. Also gefrustet wieder nach Hause, erstmal in Ruhe Tee trinken und dann ging es vor Ort in den Wald, denn auch dort wachsen hübsche Pilze:
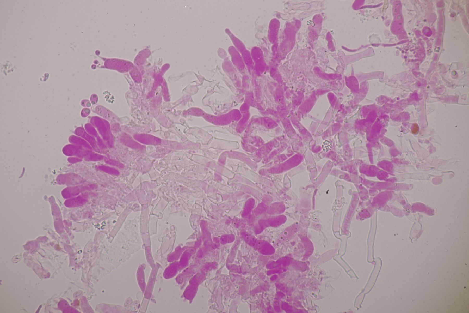
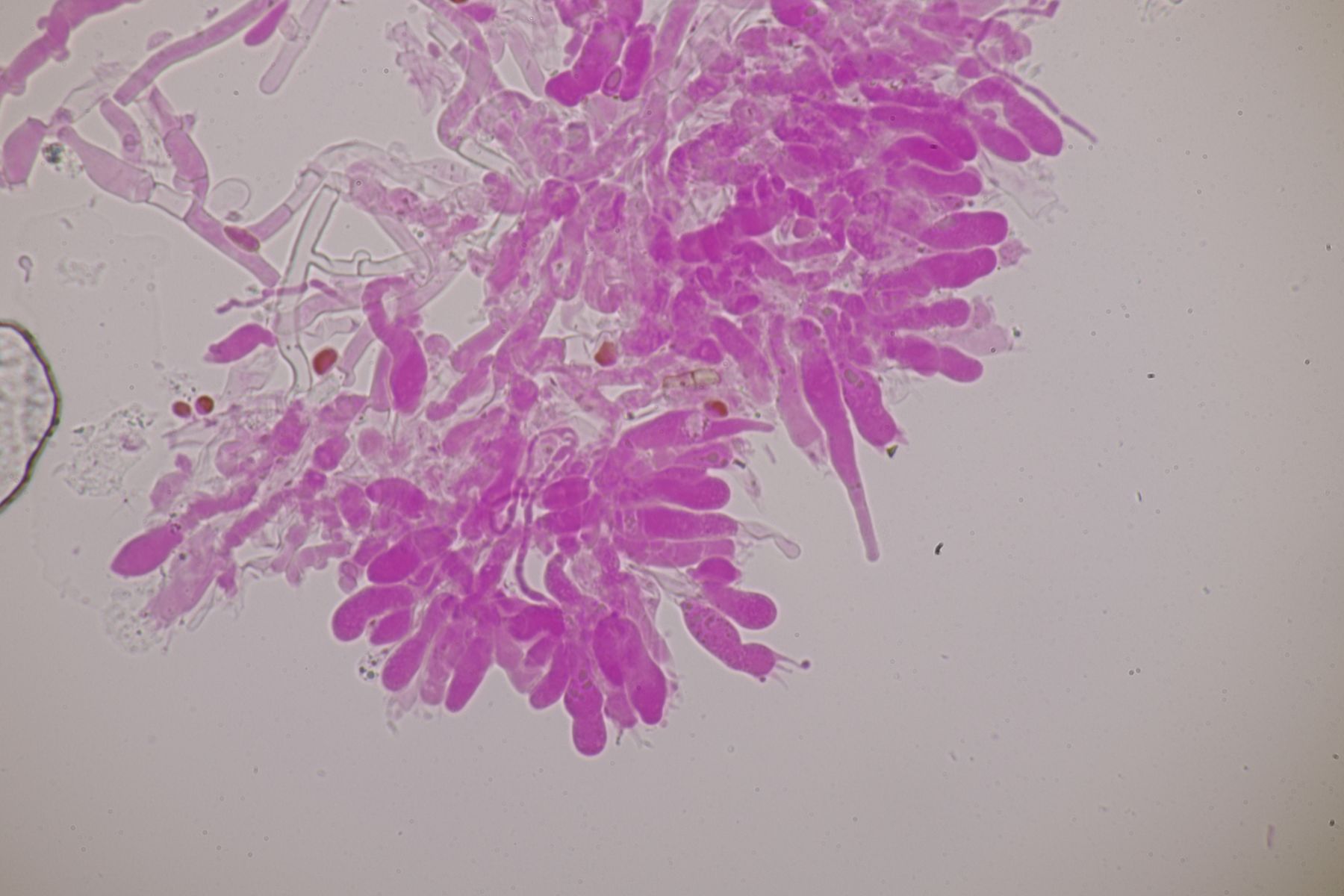
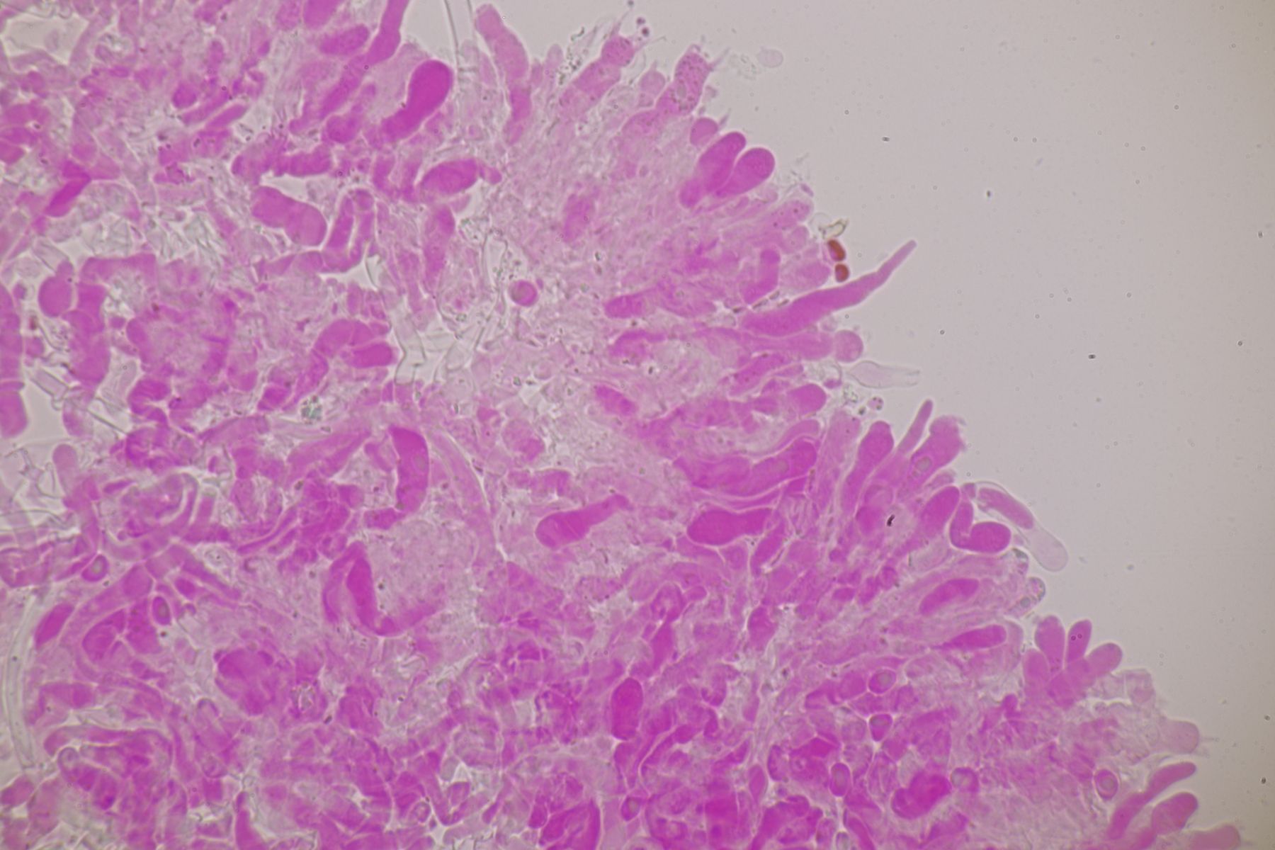
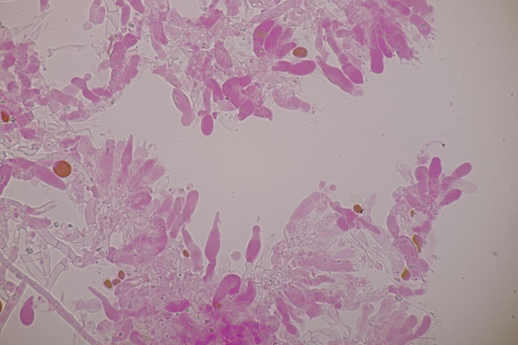
1. Die Anamorphe von Ascocoryne albida
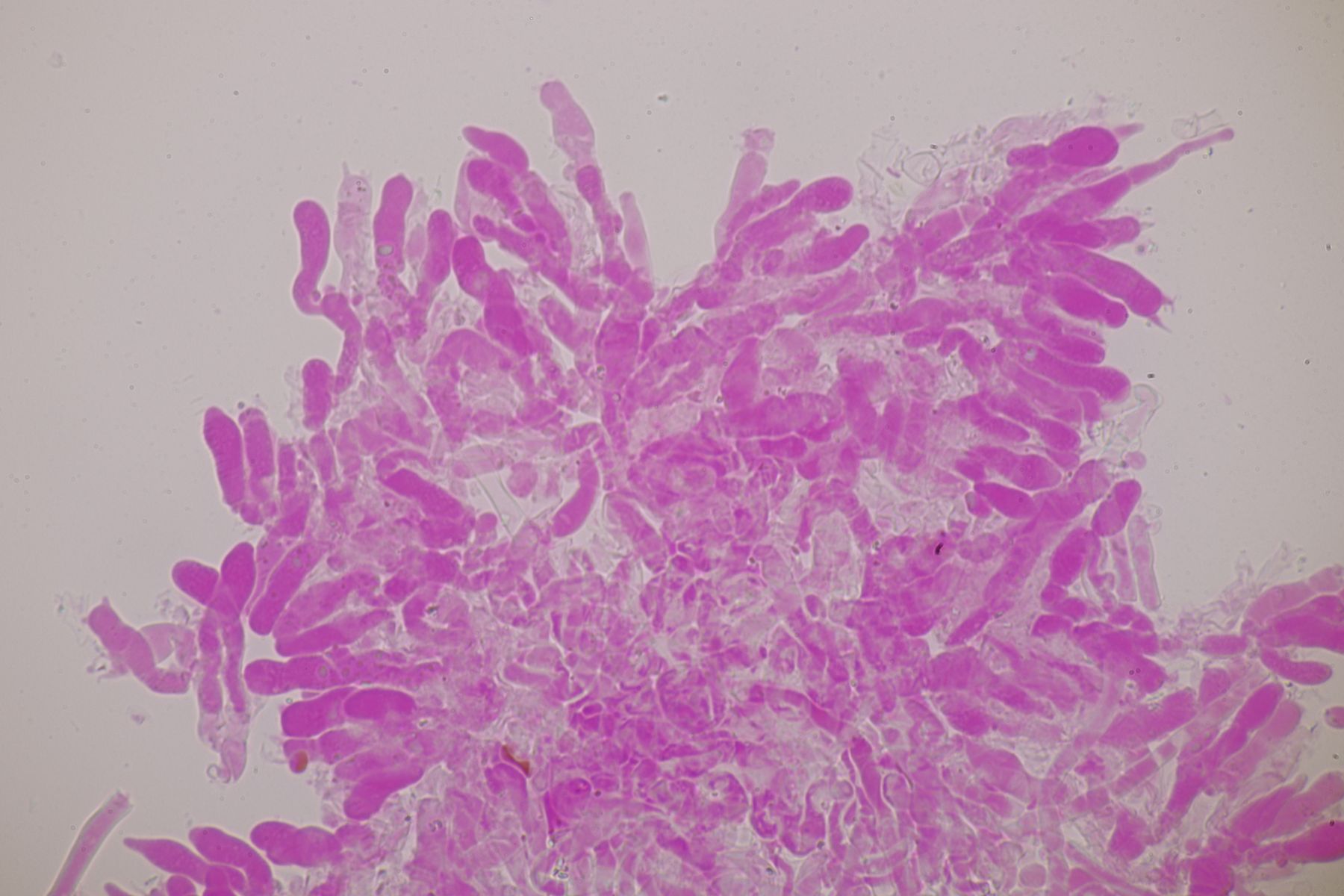
2. Byssocorticium atrovirens mit Sporen von 3-4 µm und Schnallen an den Basidien
3. Eine Phlebia an Buche. Schnallen sind vorhanden, Zystiden habe ich nicht beobachtet. Die Sporen messen 4.2+-0.2 µm x 1.8+-0.1 µm, Q=2.3+-0.2. Damit kommen aus meiner Sicht Phlebia lilascens und Phlebia livida in die engere Wahl, wobei letztere etwas größere Sporen haben sollte. Was sagen die Expert:innen?
4. Mysteriöser Glibber. Im Feld dachte ich an einen Phragmobasidiomyceten, aber mikroskopisch war es dann eine Anamorphe. Das Substrat war wahrscheinlich Salix. Ich werde demnächst mal die Anamorphe von Ascocoryne sarcoides mikroskopieren, vielleicht sieht das dann ähnlich aus.
5. Puccinia longicornis ex Bambus sp.
6. Lyomyces sambuci
7. Trametes gibbosa
8. Xylaria carpophila
9. Und so kurz vor Weihnachten durfte natürlich ein Weihnachtsbaum in Form von Clavulina rugosa nicht fehlen.
Björn
