N'abend miteinander,
ich habe mal wieder einen Stäubling, bei dem ich zu nichts komme. Der stammt von der selben Stelle, wie jener hier (Ein Stäubling). Ich bin aber eher der Meinung, dass es was anderes ist. Da stehen sowieso etliche verschiedene Arten durcheinander. Hut und Stiel eng mit Stacheln besetzt.
17.10.
Standortbild - es geht um das stachelige Exemplar - zur Vermeidung von Zweifeln, ob es denn nun wirklich dasselbe Exemplar ist
20.10.
28.11. nicht nur dass die Stacheln weg sind, auch die Außenhülle am Stiel ist komplett weg, darunter papierartig glänzend, und die obere Hülle ist ganz weg, wie bei L. excipuliforme.
Subgleba von Gleba farblich deutlich abgesetzt, aber ohne Diaphragma, die Hyphen sehen unterm Mikroskop identisch aus.
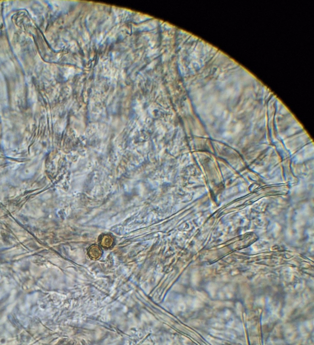
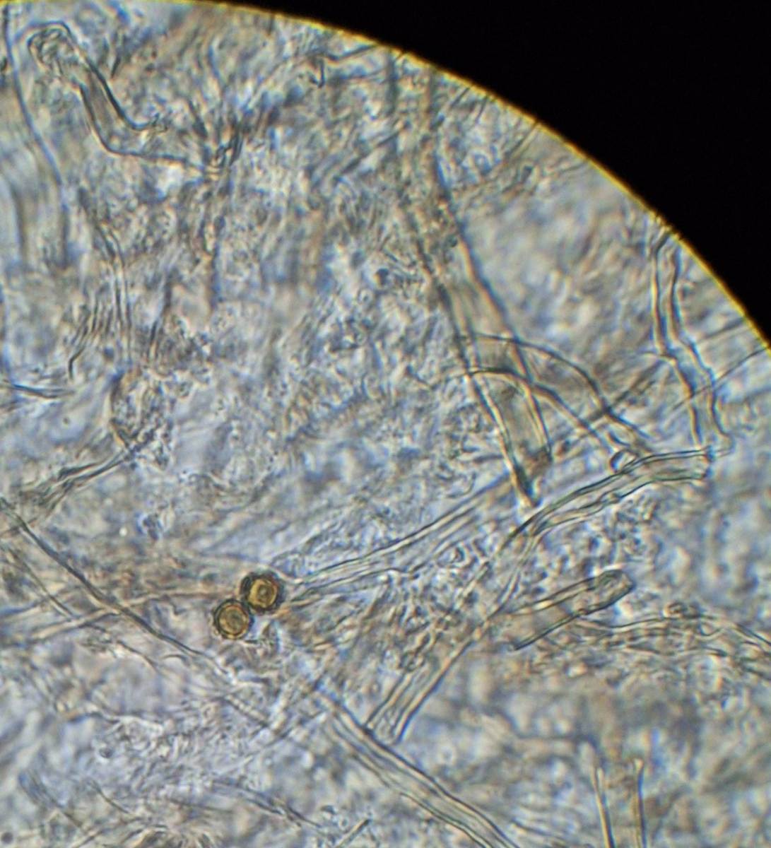
Die Hyphen im fertilen Teil sind gelb, bis max. 5 µm dick, mäßig dickwandig ~0,5 µm, selten verzweigt, ohne Septen, dünner auslaufend, Poren selten. Sporen gelb, stachelig, fast immer ohne Sterigma, vereinzelt freie Sterigmata, teilweise mit Tropfen, 3,5-5 µm
Subgleba
Stiel am Wurzelansatz, der leider abgebrochen ist, hier sind die Hyphen farblos
Danke für's Anschauen. Und vielleicht hat ja jemand eine Idee zur Benamsung.
LG, Bernd
