Eine Peziza vielleicht limnaea
- Trino
- Erledigt
Es gibt 7 Antworten in diesem Thema, welches 1.454 mal aufgerufen wurde. Der letzte Beitrag () ist von Trino.
-
-
Servus Mario,
Die Sporenform passt nicht zu P.limnaea. Was wares denn für ein Fundort? so wie es aussieht ein Kiefernwald +/- trocken ?
Ich denke die Sporengröße, Sporenform und die Sporenornamentation deuten auf Peziza michelii.
Ist aber nur eine Idee! Kannst ja mal vergleichen
Grüße
Felli
-
Hallo Felli,
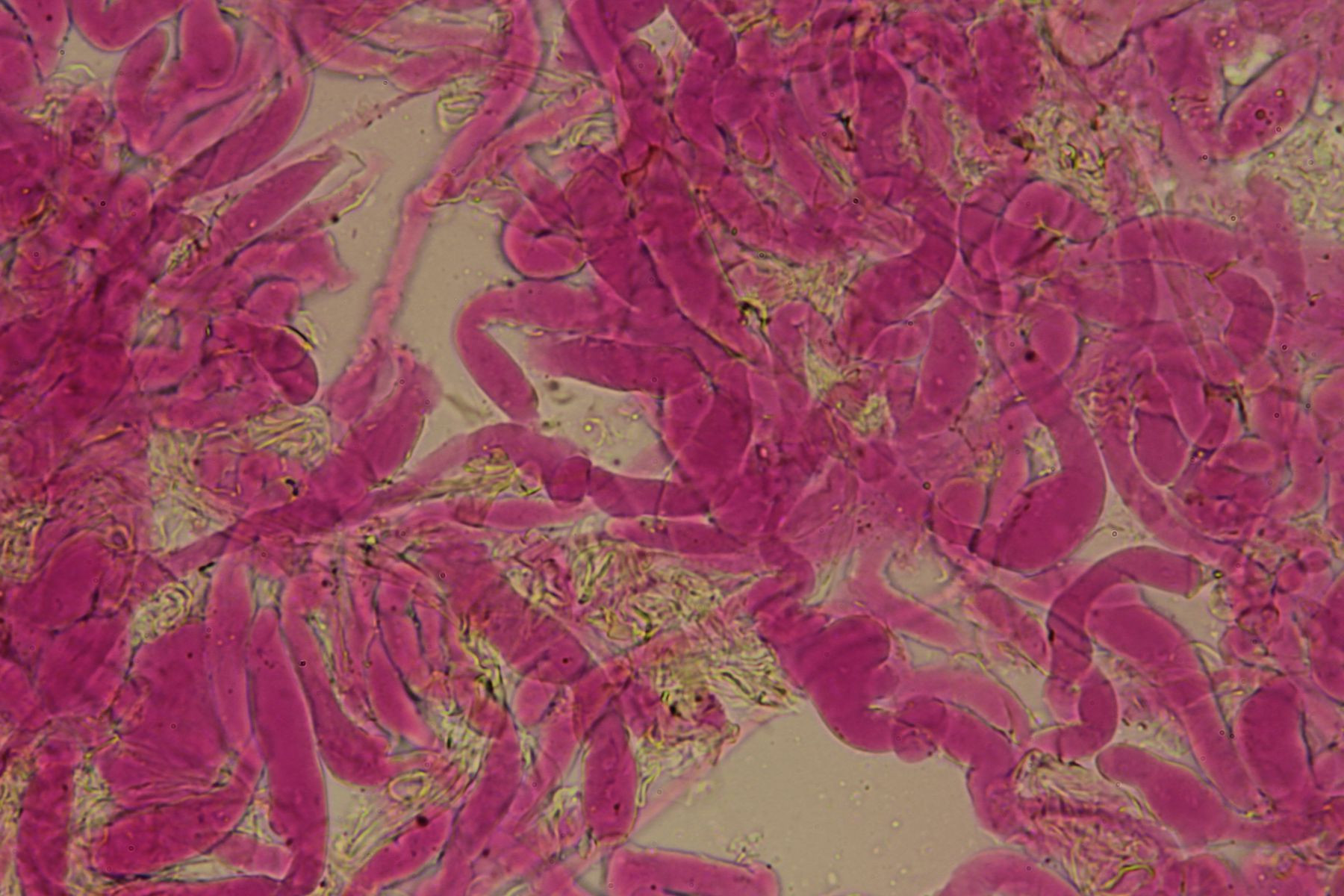
danke schon mal für dein Hinweis, es spriecht schon vieles für Peziza michelii, aber auch nicht alles nach gelbe Flüssigkeit hatte ich in Feld auch schon geschaut aber nichts gesehen, das muss auch nichts heissen was mir wirklich nicht gefällt ist das Excipulum, sollte doch eigentlich aus runde Zellen bestehen, ich habe hier vorwiegend eine Hyphenstrucktur mit zwischendurch große rundliche Zellen.
Hier 2 Bilder in Phloxin.
Leider fehlt mir ein Vernünftiges Schlüssel für Peziza.
Edit:
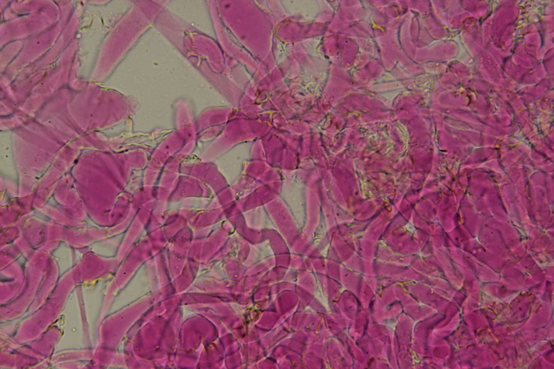
Hier noch ein paar bessere Bilder zum Sporen Ornament
Passt das denn zu michelii?
-
Servus,
gelbe Flüssigkeit hatte ich in Feld auch schon geschaut aber nichts gesehe
P.michelii hat eine farblose Flüssigkeit und davon nicht allzu viel
Das Fleisch ansich sollte etwas gelblich sein.ist das Excipulum, sollte doch eigentlich aus runde Zellen bestehen, ich habe hier vorwiegend eine Hyphenstrucktur mit zwischendurch große rundliche Zellen.
Was hast du da fotografiert?

Kannst du einen kompletten Querschnitt durch den Fruchtkörper machen ?
So wie du es hier abgelichtet hast ergibt das für mich überhaupt keinen Sinn.
Auch P. limnae hätte im Übrigen eine anderes Excipulum/ Medula( Fleischstruktur).
Leider fehlt mir ein Vernünftiges Schlüssel für Peziza.
Der Hohmeyer-Schlüssel ist immer noch sehr gut für Einsteiger.
https://www.zobodat.at/pdf/Z-Mykologie_52_1986_0161-0188.pdf
Was das Sporenornament angeht kommt das durchaus noch hin.
Das heißt aber nicht, dass es P. michelii ist ! Diese Entscheidung kann ich nur dir überlassen.
Grüße
Felli
-
Hallo Felli,
mit Ascomyceten kenne ich mich zu wenig aus um genau beeurteilen zu können ob die Elemente die ich unter am Mikro hatte Teil des Fruchtkörper sind oder nicht, möglicherweise ist mir da irgendwas anderes dazwischen gerütsch, passiert mir schon mal.
Hier sind noch ein paar Bilder das m.M. nach zu den Bereichen unter den Asciis gehören sollten.
Hier noch eein bisschen mehr komisches Zeug
Ich werde noch mal einen schlüsseln versuch unternehmen mit den Hohmeyer-Schlüssel, mal sehen ob ich da irgendwo lande.
Danke dir noch mal für die Hilfe.
Liebe Grüße
Mario
-
Hallo Mario
Mir scheint dein FK ist noch nicht reif genug, auf dem Bild 2 sehe ich eine Asci aber noch im unreifen Stadium. Am besten mit einem etwas feuchten Tuch und geschlossen Behälter in den Kühlschrank stellen. BG Andy
-
Hallo Mario
Mir scheint dein FK ist noch nicht reif genug, auf dem Bild 2 sehe ich eine Asci aber noch im unreifen Stadium. Am besten mit einem etwas feuchten Tuch und geschlossen Behälter in den Kühlschrank stellen. BG Andy
Hallo Andy leider ist der FK schon trochen, also wird nichts mehr mit Kühlschrank.
Güße Mario
-
Also so Langsam kriege ich das mit den Ascos hin, ich denke P. michelii wird schon richtig sein. Hier noch mal ein paar mikro diesmal denke ich das die schon etwas besser sind.
hier nochmal vergrössert
Und hier noch mal
Das hier ist nah an die Aussenschicht.
Hier noch mal ein Bereich mit 3 verschiedenen Vergrösserungstufen.
Ich werde es mit Peziza michelii abspeichern, eins weiß ich auf jedenfall ich brauche mehr übung mit Ascos.
Danke Felli noch mal für deine Hilfe und Geduld.
Liebe Grüße
Mario
