Hallo zusammen
Hier ein paar Sachen von einem kürzlichen Abendspaziergang im nahegelegenen Flaumeichen-Kiefern-Wald.
Der ist normalerweise trocken und absolut pilzfrei, aber es regnet so schön viel.
1:
Agaricusse übersehe ich meistens, aber der hier sah interessant aus: Agaricus bresadolanus.
Wichtig sind die dicken Mycelstränge an der Basis.
Verfärben tut er nicht oder nur minimal.
Sporen wie immer wenigsagend bei Agaricus.
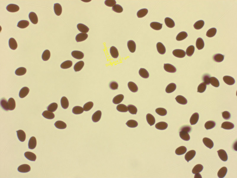
2:
Das hier hat mir grosse Freude bereitet: Cystolepiota pulverulenta, die jetzt angeblich Cystolepiota petasiformis heisst.
Sporen inamyloid
Diese Flocken auf dem Hut sind anfangs weiss und werden dann braun. Sie bestehen aus länglichen, teils unregelmässigen Elementen.
3:
Eine winzige Lepiota, die ich jetzt mal Lepiota setulosa nenne. Ob das stimmt oder doch einfach Lepiota echinella ist, bleibt abzuwarten.
Sporen elliptisch und recht klein
Zystiden lageniform
HDS-Haare mit Unterschicht aus kürzeren Elementen, Haare bis über 200 µm lang.
4:
Das hier hätte man früher leichtfertig Melanoleuca brevipes genannt, aber das ist ein nomen confusum.
Ich komme auf Melanoleuca paedida.
Sporen eher gross
Cheilozystiden urticiform, meistens ohne Kristalle.
Keine echten Kaulozystiden, nur Büscheln von keuligen Zellen.
5:
Noch eine ganz prächtige Melanoleuca, die ich als Melanoleuca rasilis bestimmt habe.
DIe Sporen sind ähnlich wie bei Nr. 4
Cheilozystiden sehr spärlich
Auch hier wieder keine echten Kaulozystiden, nur keulige Elemente.
4 und 5 sind mikroskopisch praktisch identisch, vielleicht ist es sogar die gleiche Art.
Würde mich aber bei dem makroskopisch sehr verschiedenen Erscheinungsbild überraschen.
LG Raphael
