Hallo zusammen,
Mitte Dezember hat es mich an einem Samstag relativ spontan in den Gladbacher Volksgarten verschlagen. Obwohl unser Forumsmitglied Hans coprinusspezi da ja schon seit Jahrzehnten sehr eifrig kartiert und bereits mehr als 1700 Arten nachgewiesen hat, konnte ich bei meiner Tour einige für das Gebiet neue Pilze finden. Daneben gab es natürlich auch noch viele andere interessante Pilze, die ich hier zeigen möchte:
1. Datronia mollis
2. Coniophora puteana, interessanterweise an Buche
3. Sirobasidium brefeldianum an Linde. Die Art hatte ich vor einem Jahr schon im Mülheimer Stadtwald gefunden, dort ebenfalls an Linde. Mit den länglichen, zweizelligen Basidien, die in Ketten angeordnet sind, ist die Art mikroskopisch leicht anzusprechen. Witzigerweise hatte ich mir ein Stück Ast mit dem Pilz abgebrochen, das zu lang für meinen Sortimentskoffer war. Ich hab den Ast also lose in der Hand mit mir rumgetragen, bis mir irgendwann auffiel, daß ich den Pilz nicht mehr bei mir hatte. Also wieder zurück zu den verschiedenen Stationen, wo ich mir Dinge angeschaut hatte. Immer Fehlanzeige. Also war klar, daß ich den Stock in einem Stück mit Pappeln hab liegenlassen, wo es jede Menge umgestürzter Bäume gab und wo ich keine echte Orientierung hatte. Also hatte ich den Ast an der Stelle schon abgeschrieben. Im Laufe der Tour kam ich dann aber von der anderen Seite an das Pappelwäldchen und konnte eine Stelle wiedererkennne, an der ich vorher schon mal war. Von da konnte ich mich dann langsam vorarbeiten bis zu der Stelle, wo ich den Ast hatte liegenlassen. Die ganze Mühe hat sich also gelohnt, nicht nur, weil der Pilz mikroskopisch hübsch ist, sondern auch, weil er neu für den Volksgarten ist.
4. Hier hatte ich im Feld auf ein Helicobasidium gehofft. Leider war dann zu Hause unter dem Mikroskop nur ein Hyphengeflecht sichtbar, keine Basidien, keine Konidienträger. Also für mich unbestimmbar.
5. Hier hatte ich im Feld auch erstmal an einen Phragmobasidiomyceten gedacht. Mikroskopisch dann die Überraschung: Nur Bündel aus verdickten Hyphen, die entfernt an dicke Maden erinnern. Auch hier fehlt mir jegliche Idee, was es sein könnte.
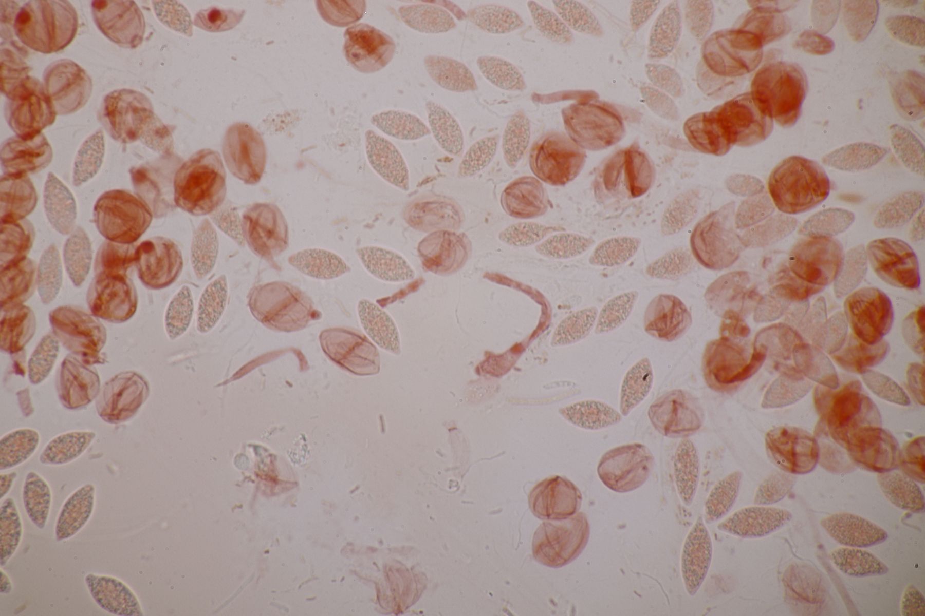
6. Noch ein Sirobasidium, ebenfalls neu für den Volksgarten: Die runden, vierfach septierten Basidien bringen uns hier zu Sirobasidium albidum.
7. Phaeotremella frondosa an Stereum hirsutum
8. Chaetosphaerella phaeostroma
9. Camarographium carpini an Carpinus betulus
10. Pleomassaria carpini an Carpinus betulus
11. Hysterographium fraxini an Fraxinus excelsior
Björn
