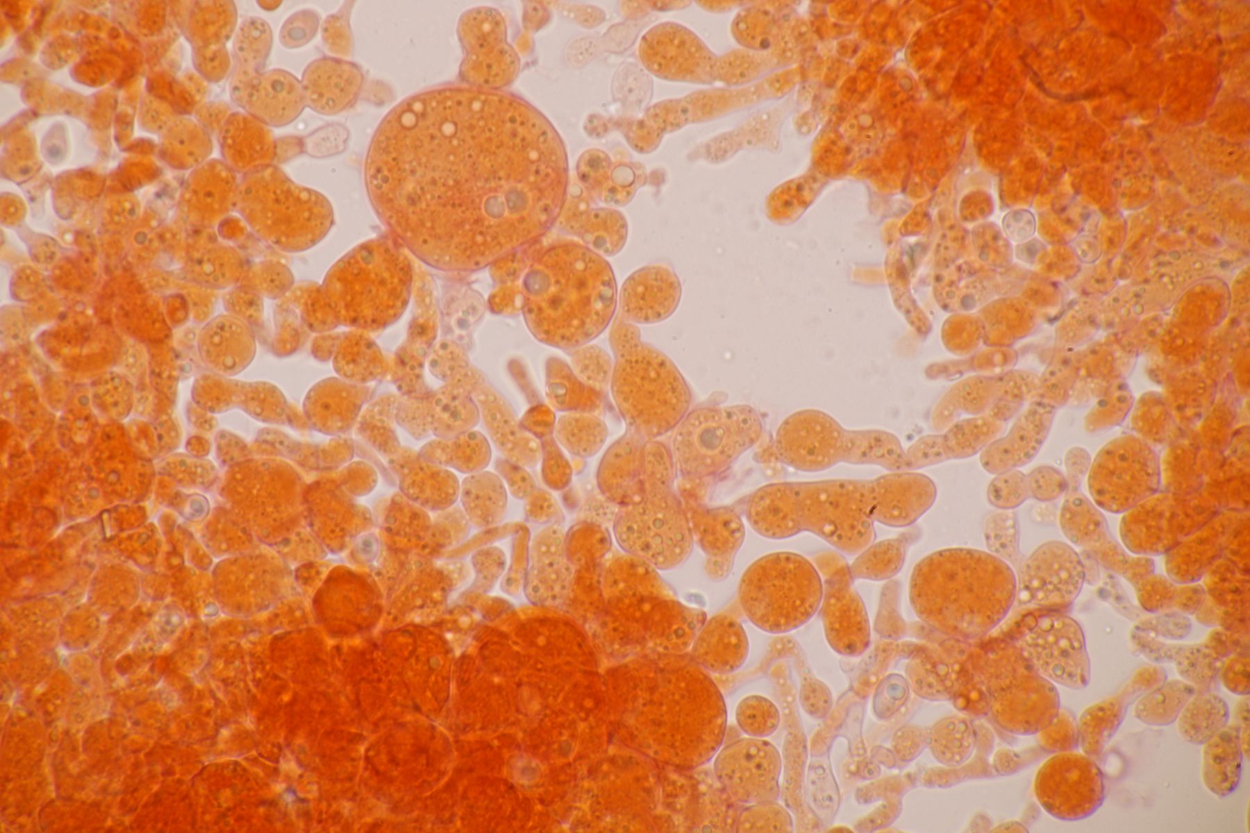
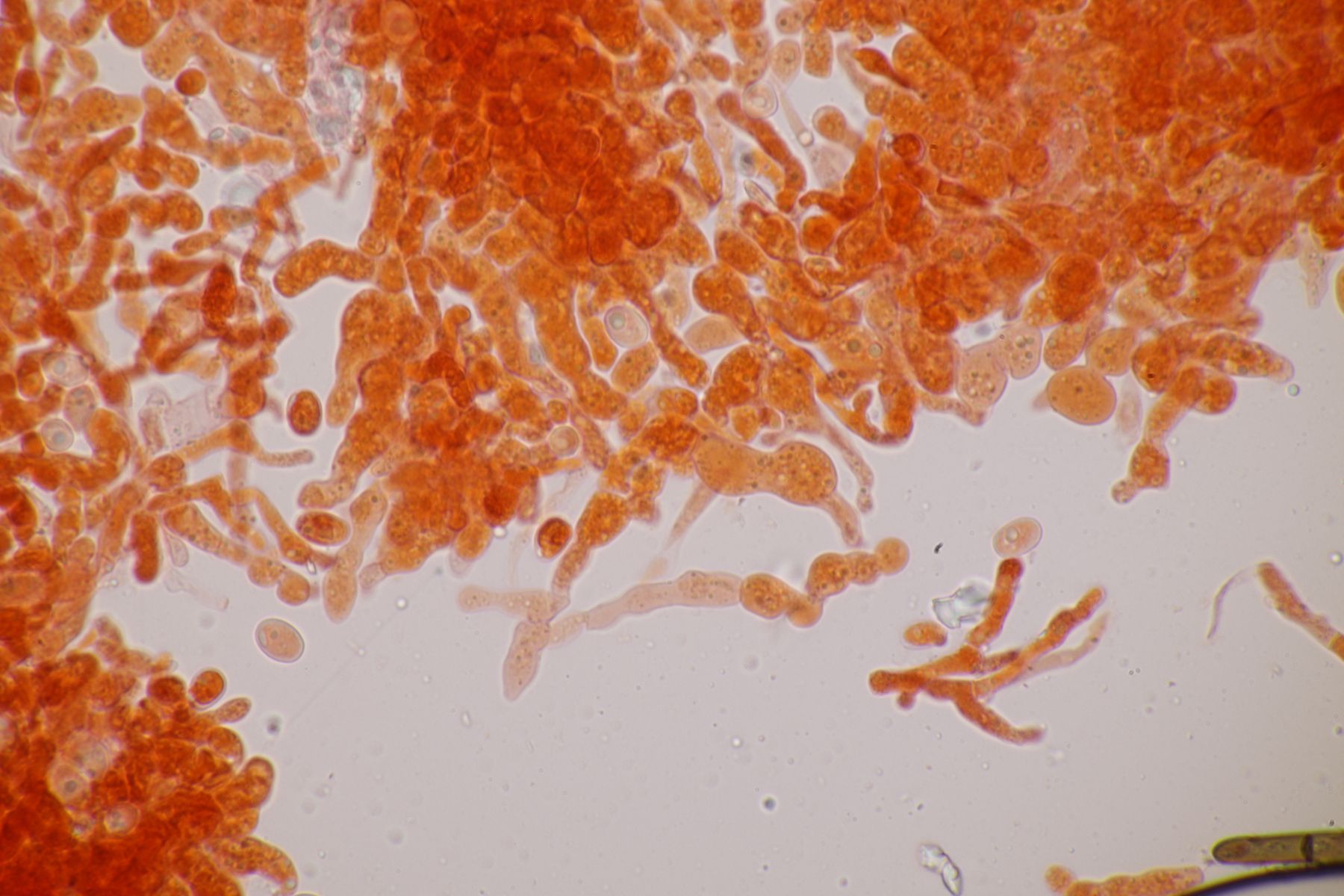
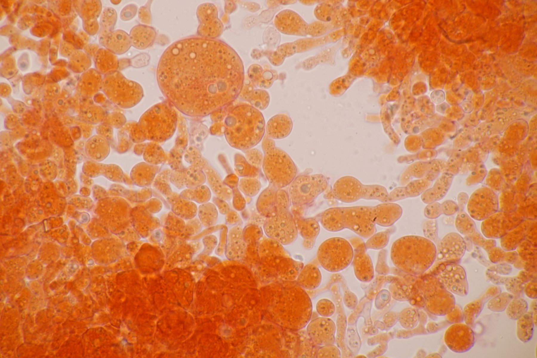
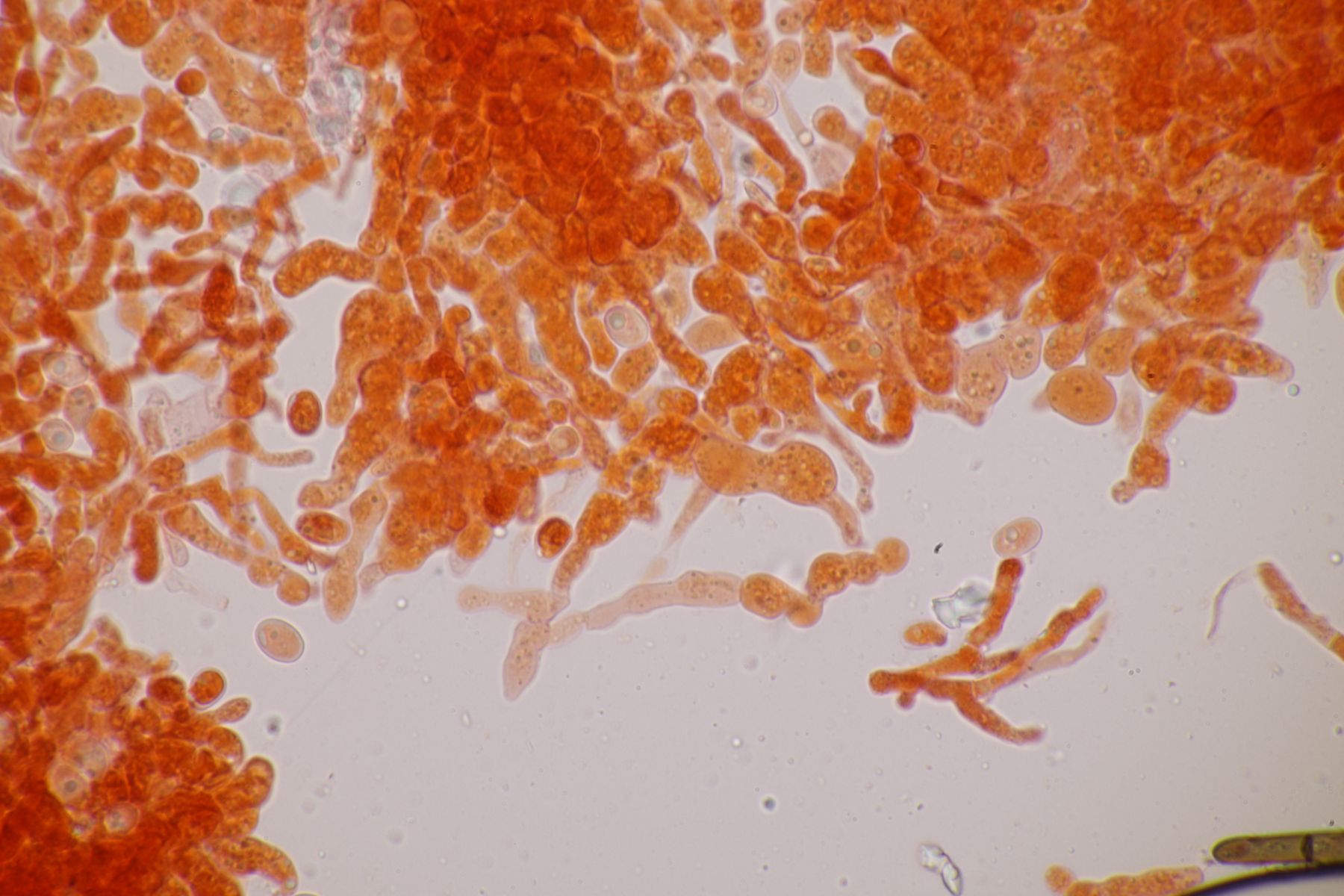
Nodulisporium cecidiogenes Jørg. Koch 1994

Es gibt 1 Antwort in diesem Thema, welches 1.291 mal aufgerufen wurde. Der letzte Beitrag () ist von boccaccio.