Hallo zusammen,
anbei ein paar Pyrenomyceten aus dem Duisburger Stadtwald, die ich am letzten Sonntag dort finden konnte. Interessant auch, daß ich beim Betrachten von Stöckchen von einer älteren Frau von hinten angesprochen wurde: "Was suchen sie denn da, junger Mann?" Ich erklärte, daß ich Pilze suche, aber eben keine Speisepilze, sondern Kleinkram und zeigte ihr dann einen Ast mit Melogramma campylosporum. Sie fragte, ob das mit den Pilzen nicht gefährlich sei. Ich verneinte und sie erzählte dann, daß sie mal im Restaurant Pfifferlinge gegessen habe und sich daran vergiftete und beinahe verstorben wäre. Anschließend ließ sie es sich aber nicht nehmen, nach dem Speisewert von M. campylosporum zu fragen. Ich verwies auf Kleinheit und Konsistenz und daß sich damit die Frage nach der Eßbarkeit wohl erledigt habe. Anschließend erwähnte sie noch Cryptostroma corticale, vor dem in den Medien vor 2 Jahren intensiv gewarnt wurde. Als sie sich wieder auf den Weg machte, fragte sie noch, was ich beruflich mache (Physiker), zog los, drehte nach 10 Metern um, kam zurück und fragte, ob ich ihr sagen könne, ob das Leitungswasser hier in der Gegend gefahrlos genießbar sei....
1. Amphisphaeria millepunctata ex Carpinus betulus
2. Melanconis stilbostoma ex Betula pendula
3. Pleomassaria carpini ex Carpinus betulus
4. Camarosporidiella elongata ex Robinia pseudoacacia
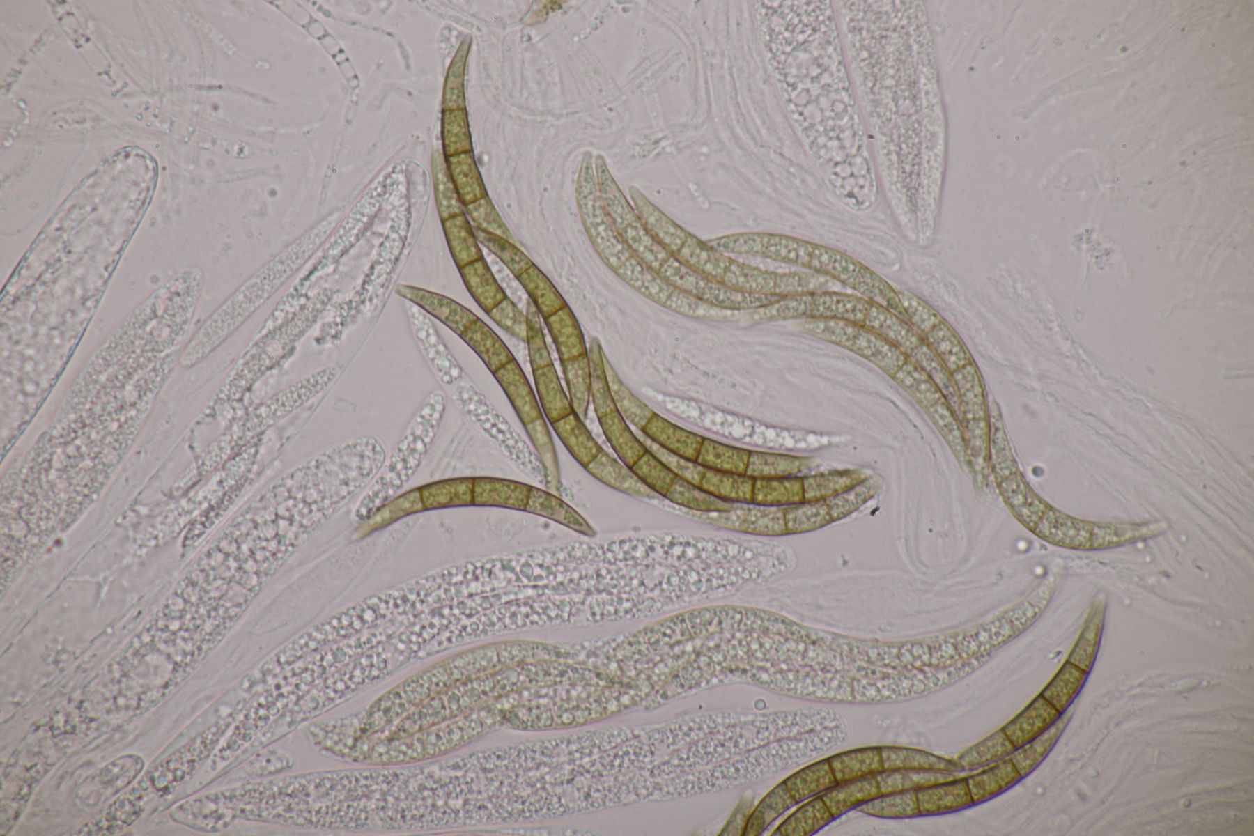
5. Melogramma campylosporum ex Carpinus betulus
Björn
